相关产品推荐更多 >
万千商家帮你免费找货
0 人在求购买到急需产品
- 详细信息
- 文献和实验
- 技术资料
- 免疫原:
peptide
- 形态:
liquid
- 保存条件:
Store at -20˚C
- 克隆性:
Monoclonal
- 适应物种:
Human;Mouse;Rat
- 保质期:
12 months
- 抗原来源:
Mouse
- 供应商:
南京赛戈巍生物科技有限公司
- 宿主:
Mouse
- 应用范围:
WB, ICC, IHC, FC
- 靶点:
Uniprot:O08810
- 抗体英文名:
Eftud2 Antibody
- 规格:
50ul/100ul
116 kDa U5 small nuclear ribonucleoprotein component antibody
EFTUD2 antibody
Elongation factor Tu GTP binding domain containing 2 antibody
Elongation factor Tu GTP-binding domain-containing protein 2 antibody
hSNU114 antibody
MFDGA antibody
MFDM antibody
SNRNP116 antibody
Snrp116 antibody
Snu114 antibody
SNU114 homolog antibody
U5 116KD antibody
U5 small nuclear ribonucleoprotein component antibody
U5 snRNP specific protein, 116 kD antibody
U5 snRNP specific protein, 116 kDa antibody
U5 snRNP-specific protein antibody
U5-116 kDa antibody
U5-116KD antibody
U5S1_HUMAN antibody
计算分子量:116 kDa
配方:1*TBS (pH7.4), 1%BSA, 40%Glycerol. Preservative: 0.05% Sodium Azide.
应用详情:WB: 1:1,000-1:2,000
IHC: 1:50-1:200
ICC: 1:50-1:200
FC: 1:50-1:100
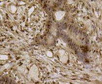
图片:

Western blot analysis on different cell lysates using anti-EFTUD2 Mouse mAb. Positive control:
Lane 1: Jurkat
Lane 2: NIH/3T3
,

Immunohistochemical analysis of paraffin- embedded human lung cancer tissue using anti-EFTUD2 Mouse mAb.
,

Immunohistochemical analysis of paraffin- embedded human colon cancer tissue using anti-EFTUD2 Mouse mAb.
,

Immunohistochemical analysis of paraffin- embedded mouse colon tissue using anti-EFTUD2 Mouse mAb.
,

Immunohistochemical analysis of paraffin- embedded mouse prostate tissue using anti-EFTUD2 Mouse mAb.
,

Immunocytochemical staining of SH-SY-5Y cells using anti-EFTUD2 Mouse mAb
,

Immunocytochemical staining of SW480 cells using anti-EFTUD2 Mouse mAb.
,

Flow cytometric analysis of MCF-7 cells with EFTUD2 antibody at 1/100 dilution (red) compared with an unlabelled control (cells without ncubation with primary antibody; black). Goat anti mouse IgG (FITC) was used as the secondary antibody.
风险提示:丁香通仅作为第三方平台,为商家信息发布提供平台空间。用户咨询产品时请注意保护个人信息及财产安全,合理判断,谨慎选购商品,商家和用户对交易行为负责。对于医疗器械类产品,请先查证核实企业经营资质和医疗器械产品注册证情况。
文献和实验Generation of Antibody Molecules Through Antibody Engineering
been overcome to a large extent using genetic-engineering techniques to produce chimeric mouse/human and completely human antibodies. Such an approach is particularly suitable because of the domain structure of the antibody molecule ( 2 ), where functional
The importance of antibody molecules was first recognized in the 1890s, when it was shown that immunity to tetanus and diphtheria was caused by antibodies against the bacterial exotoxins (1 ). Around the same time, it was shown that antisera
General comments: Antibodies, like most proteins, do not like to be freeze-thawed. Avoid repetitive freezing of your solution. The best way to store your antibody is to keep a high protein concentration (>1 mg/ml), add some protease
技术资料暂无技术资料 索取技术资料





![NAP1L3 Conjugated Antibody[C30851]](https://img1.dxycdn.com/p/s14/2025/0923/305/2150219664296040791.jpg!wh200)
![GRIN1 Rabbit Polyclonal Antibody[55137]](https://img1.dxycdn.com/p/s14/2025/0922/498/0460884283108299691.jpg!wh200)
![Histone H2A.X (Phospho-Ser139) Conjugated Antibody[C14241]](https://img1.dxycdn.com/p/s14/2025/0922/632/2321321568067599691.jpg!wh200)
![PAF65α Polyclonal Antibody[41320]](https://img1.dxycdn.com/p/s14/2025/0922/568/0046652811090600791.jpg!wh200)
