相关产品推荐更多 >
万千商家帮你免费找货
0 人在求购买到急需产品
- 详细信息
- 文献和实验
- 技术资料
- 免疫原:
peptide
- 形态:
liquid
- 保存条件:
Store at -20˚C
- 克隆性:
Monoclonal
- 适应物种:
Hu,Ms,Rt, zebrafish
- 保质期:
12 months
- 抗原来源:
Mouse
- 供应商:
南京赛戈巍生物科技有限公司
- 宿主:
Mouse
- 应用范围:
WB, ICC, IHC
- 靶点:
Uniprot:P68032
- 抗体英文名:
Alpha-cardiac actin Antibody
- 规格:
50ul/100ul
ACTC_HUMAN antibody
ACTC1 antibody
Actin alpha cardiac muscle 1 antibody
Actin antibody
alpha cardiac muscle 1 antibody
Alpha-cardiac actin antibody
ASD5 antibody
CMD1R antibody
CMH11 antibody
LVNC4 antibody
计算分子量:42 kDa
配方:1*TBS (pH7.4), 1%BSA, 40%Glycerol. Preservative: 0.05% Sodium Azide.
应用详情:WB: 1:5,000
IHC: 1:200
ICC: 1:100
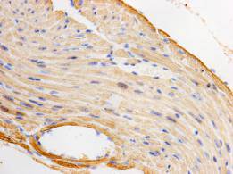
图片:

Western blot analysis on mouse heart lysates using anti-Alpha-cardiac actin Mouse mAb
,

Immunohistochemical analysis of paraffin- embedded mouse heart tissue using anti-Alpha -cardiac actin Mouse mAb
,

Immunofluorescent staining of Hela cells using anti-Alpha-cardiac actin Mouse mAb
风险提示:丁香通仅作为第三方平台,为商家信息发布提供平台空间。用户咨询产品时请注意保护个人信息及财产安全,合理判断,谨慎选购商品,商家和用户对交易行为负责。对于医疗器械类产品,请先查证核实企业经营资质和医疗器械产品注册证情况。
文献和实验. For primary antibody use anti-GST at 1:1000 and anti-actin at 1:1000. For secondary use HRP conjugated IgG at 1:10,000. Actin Capture Assay Reagants Binding Buffer: 1X PBS pH 7.2 (Lane Recipe) + 10% Glycerol + 1mMMgCl2 + 0.2mM ATP + 0.1% BSA
Evaluation of the Cardiac Isoform of 2-Macroglobulin as a Factor Inducing Cardiac Hypertrophy
of cardiac hypertrophy. It was accompanied by enlargement of cardiac myocytes and induction of -myosin heavy chain (MHC) and MLC-2 gene expression. Multiple injections of 182-kDa protein-specific polyclonal antibody into the circulation of aorta-constricted
Confocal Microscopy of Cardiac Myocytes
Detailed methods are provided for the preparation and confocal imaging of cardiac myocyte development and differentiation. Examples include protocols for the analysis of cultured myocytes as well as vibratome sections of hearts from embryonic
技术资料暂无技术资料 索取技术资料





![SK2 Antibody[48406]](https://img1.dxycdn.com/p/s14/2025/0923/496/0462304380155040791.jpg!wh200)
![AFG3-like protein 2 Polyclonal Antibody[42407]](https://img1.dxycdn.com/p/s14/2025/0922/568/0046652811090600791.jpg!wh200)
![TPH1 Antibody[35965]](https://img1.dxycdn.com/p/s14/2025/0922/359/6146153295428599691.jpg!wh200)


