相关产品推荐更多 >
万千商家帮你免费找货
0 人在求购买到急需产品
- 详细信息
- 文献和实验
- 技术资料
- 免疫原:
Synthetic peptide of human HLA-A/F/H
- 形态:
liquid
- 保存条件:
Store at -20˚C
- 克隆性:
Polyclonal
- 适应物种:
Human
- 保质期:
12 months
- 抗原来源:
Rabbit
- 供应商:
南京赛戈巍生物科技有限公司
- 宿主:
Rabbit
- 应用范围:
IHC
- 靶点:
Uniprot:P01893
- 抗体英文名:
HLA-A/F/H Antibody
- 规格:
50ul/100ul
配方:Rabbit IgG in pH7.4 PBS, 0.05% NaN3, 40% Glycerol.
应用详情:
IHC dilution:1: 25-100
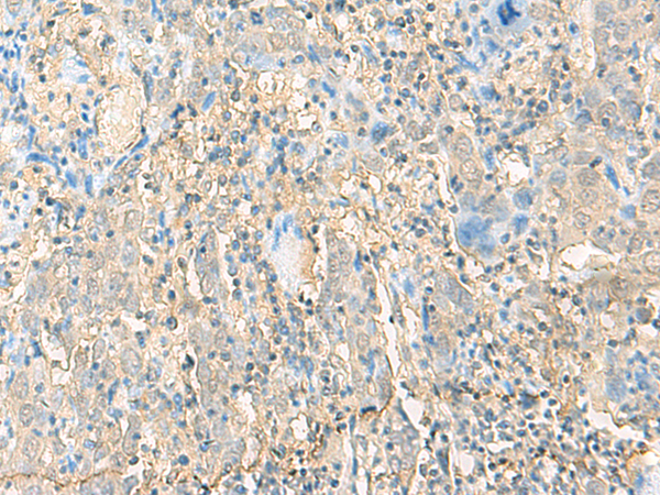
图片:

The image is immunohistochemistry of paraffin-embedded Human tonsil tissue using 47632(HLA-A/F/H Antibody) at dilution 1/20.(Original magnification: 200)
,

The image is immunohistochemistry of paraffin-embedded Human cervical cancer tissue using 47632(HLA-A/F/H Antibody) at dilution 1/20.(Original magnification: 200)
风险提示:丁香通仅作为第三方平台,为商家信息发布提供平台空间。用户咨询产品时请注意保护个人信息及财产安全,合理判断,谨慎选购商品,商家和用户对交易行为负责。对于医疗器械类产品,请先查证核实企业经营资质和医疗器械产品注册证情况。
文献和实验Generation of Antibody Molecules Through Antibody Engineering
been overcome to a large extent using genetic-engineering techniques to produce chimeric mouse/human and completely human antibodies. Such an approach is particularly suitable because of the domain structure of the antibody molecule ( 2 ), where functional
ELISA Procedure for Measuring Serum Antibody Titer
E F G H 5. Cover the plate and incubate for three hours at room temperature or overnight at 2-6°C
Notes on Making Rat x Y3 Monoclonal Antibody Producing Hybridomas
by feeding the others (and collecting supernatants for testing) - again remember that most hybridomas will be ADHERENT, so will need vigorous pipetting to get them into suspension for splitting. h) Split wells into 25ml flasks to make 2 x 2 freezes
技术资料暂无技术资料 索取技术资料





![CCNF Antibody[35703]](https://img1.dxycdn.com/p/s14/2025/0922/359/6146153295428599691.jpg!wh200)
![SLBP Rabbit Polyclonal Antibody[54647]](https://img1.dxycdn.com/p/s14/2025/0922/498/0460884283108299691.jpg!wh200)
![Histone H3(di methyl K9) Antibody[49065]](https://img1.dxycdn.com/p/s14/2025/0923/496/0462304380155040791.jpg!wh200)

![p53 (Acetyl-K120) Polyclonal Antibody[HW186]](https://img1.dxycdn.com/p/s14/2025/0922/568/0046652811090600791.jpg!wh200)

