相关产品推荐更多 >
万千商家帮你免费找货
0 人在求购买到急需产品
- 详细信息
- 文献和实验
- 技术资料
- 免疫原:
KLH-conjugated synthetic peptide encompassing a sequence within the N-term region of human Ah Receptor.
- 形态:
liquid
- 保存条件:
Store at -20˚C
- 克隆性:
Polyclonal
- 适应物种:
Human;Mouse;Rat
- 保质期:
12 months
- 抗原来源:
Rabbit
- 供应商:
南京赛戈巍生物科技有限公司
- 宿主:
Rabbit
- 应用范围:
WB IHC
- 靶点:
Uniprot:P35869
- 抗体英文名:
Ah Receptor (phospho-Ser36) Antibody
- 规格:
50ul/100ul
计算分子量:100KD
配方:Rabbit IgG in phosphate buffered saline (without Mg2+ and Ca2+), pH 7.4, 150mM NaCl, 0.02% sodium azide and 50% glycerol.
应用详情:Western blotting:1:500 - 1:1000
Immunohistochemistry:1:50 - 1:100
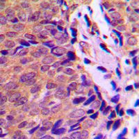
图片:

Western blot analysis of Ah Receptor (phospho-Ser36) expression in A431, HepG2, NIH3T3 whole cell lysates.
,

Immunohistochemical analysis of Ah Receptor (phospho-Ser36) staining in human breast cancer formalin fixed paraffin embedded tissue section. The section was then incubated with the antibody at room temperature and detected using an HRP conjugated compact polymer system. DAB was used as the chromogen. The section was then counterstained with haematoxylin and mounted with DPX.
风险提示:丁香通仅作为第三方平台,为商家信息发布提供平台空间。用户咨询产品时请注意保护个人信息及财产安全,合理判断,谨慎选购商品,商家和用户对交易行为负责。对于医疗器械类产品,请先查证核实企业经营资质和医疗器械产品注册证情况。
文献和实验. GRA of the aryl hydrocarbon receptor (AhR) relies on the in vitro ability of the cytosolic AhR protein complex to convert into its high affinity DNA binding form following its interaction with and activation by an AhR agonist and, as such, the GRA
Aspects of CNS Lupus: Mouse Models of Anti-NMDA Receptor Antibody Mediated Reactivity
This chapter describes methods utilized in establishing a mouse model of neuropsychiatric lupus encompassing both cognitive and emotional dysfunction, and a model of the influence of maternal antibody on the developing brain. The antibody
secondary antibody review -- data from 99 publications
cytometry used as a control to detect cell responses targeted antigen 7 Alexa Fluor 488 7 Cy3 8 goat IgG Alexa Fluor 488 1:2000 detect antibody binding in human embryonic kidney 293T cells Invitrogen 9 donkey
技术资料暂无技术资料 索取技术资料





![HIST1H2BN Antibody[47345]](https://img1.dxycdn.com/p/s14/2025/0923/496/0462304380155040791.jpg!wh200)
![GAPDH Rabbit Polyclonal Antibody[37985]](https://img1.dxycdn.com/p/s14/2025/0922/359/6146153295428599691.jpg!wh200)
![NBAS Rabbit Polyclonal Antibody[54879]](https://img1.dxycdn.com/p/s14/2025/0922/498/0460884283108299691.jpg!wh200)
![Amylin Polyclonal Conjugated Antibody[C40586]](https://img1.dxycdn.com/p/s14/2025/0923/278/4431488150116040791.jpg!wh200)

