相关产品推荐更多 >
万千商家帮你免费找货
0 人在求购买到急需产品
- 详细信息
- 文献和实验
- 技术资料
- 免疫原:
A synthetic peptide from the C-terminus of human TFF1 protein.
- 亚型:
IgG1
- 形态:
Liquid
- 保存条件:
Store as concentrated solution. Centrifuge briefly prior to opening vial. For short-term storage (1-2 weeks), store at 4ºC. For long-term storage, aliquot and store at -20ºC or below. Avoid multiple freeze-thaw cycles.
- 克隆性:
Monoclonal
- 标记物:
Unconjugated
- 适应物种:
Human, Monkey
- 保质期:
12 months from the shipping date of the product.
- 抗原来源:
Human
- 目录编号:
GTX35101
- 级别:
Primary Antibodies
- 库存:
Available
- 供应商:
GeneTex
- 宿主:
Mouse
- 应用范围:
IHC-P
- 浓度:
0.2 mg/ml (Please refer to the vial label for the specific concentration.)
- 靶点:
It recognizes a polypeptide of 6.5kDa, identified as pS2 estrogen-regulated protein. Its epitope is located in the c-terminus of human pS2 protein.
- 抗体英文名:
TFF1 antibody [TFF1/1091]
- 抗体名:
TFF1 抗体 [TFF1/1091]
- 规格:
100 μg
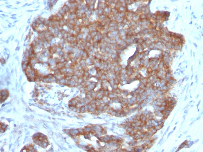
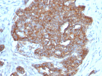
IHC-P analysis of human ovarian carcinoma tissue using GTX35101 TFF1 antibody [TFF1/1091].
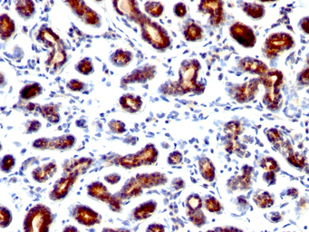
IHC-P analysis of human breast carcinoma tissue using GTX35101 TFF1 antibody [TFF1/1091].
风险提示:丁香通仅作为第三方平台,为商家信息发布提供平台空间。用户咨询产品时请注意保护个人信息及财产安全,合理判断,谨慎选购商品,商家和用户对交易行为负责。对于医疗器械类产品,请先查证核实企业经营资质和医疗器械产品注册证情况。
文献和实验a subset of genomic DNA sequences of type 5'-(NNN )3 -3', whereas the 6ZF library would recognize a subset of genomic sequences of type 5'-(NNN )6 -3'. Given the zinc-finger domains used, both libraries were more likely to recognize (RNN)x -type sequences
) Other buffers used in procedure (as negative controls) Capture antibody or protein (in PBS with no carrier protein)
Phage‐Based Expression Cloning to Identify Interacting Proteins
the interacting protein. This technique leads directly to the isolation of a cDNA encoding the interacting protein, bypassing the need for labor?intensive protein purification, microsequencing, or antibody production.
技术资料暂无技术资料 索取技术资料





![Calcitonin antibody [13g11]](https://img1.dxycdn.com/2022/0329/496/5851886584044020453-14.jpg!wh200)



![VCAM1 / CD106 antibody [VCAM1/843]](https://img1.dxycdn.com/2022/0328/415/2592139521441700453-14.jpg!wh200)

