相关产品推荐更多 >
万千商家帮你免费找货
0 人在求购买到急需产品
- 详细信息
- 文献和实验
- 技术资料
- 免疫原:
Recombinant human Rb1 protein
- 亚型:
IgG1
- 形态:
Liquid
- 保存条件:
Store as concentrated solution. Centrifuge briefly prior to opening vial. For short-term storage (1-2 weeks), store at 4ºC. For long-term storage, aliquot and store at -20ºC or below. Avoid multiple freeze-thaw cycles.
- 克隆性:
Monoclonal
- 标记物:
Unconjugated
- 适应物种:
Human, Mouse
- 保质期:
12 months from the shipping date of the product.
- 抗原来源:
Human
- 目录编号:
GTX34995
- 级别:
Primary Antibodies
- 库存:
Available
- 供应商:
GeneTex
- 宿主:
Mouse
- 应用范围:
IHC-P
- 浓度:
0.2 mg/ml (Please refer to the vial label for the specific concentration.)
- 靶点:
Recognizes a 105kDa phosphoprotein, identified as retinoblastoma (Rb) gene product. It shows no cross reaction with p107 or p130. It reacts with the hyper-phosphorylated as well as the un (under) phosphorylated form of the Rb protein.
- 抗体英文名:
Rb antibody [RB1/1754]
- 抗体名:
Rb 抗体 [RB1/1754]
- 规格:
100 μg
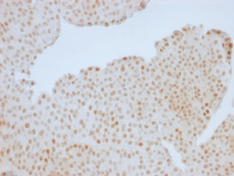
IHC-P analysis of human colon tissue using GTX34995 Rb antibody [RB1/1754].
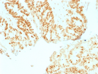
IHC-P analysis of human colon tissue using GTX34995 Rb antibody [RB1/1754].
风险提示:丁香通仅作为第三方平台,为商家信息发布提供平台空间。用户咨询产品时请注意保护个人信息及财产安全,合理判断,谨慎选购商品,商家和用户对交易行为负责。对于医疗器械类产品,请先查证核实企业经营资质和医疗器械产品注册证情况。
文献和实验Analysis of RB Action in DNA Damage Checkpoint Response
checkpoint response: (1) transcriptional repression of E2F-regulated genes (cyclin A reporter assay); (2) induction of cell cycle arrest (Brd-U incorporation assay); and (3) inhibition of DNA double-strand break accumulation (phosphorylated-histone H2A.X
HPV 并不是宫颈癌唯一的「元凶」?这种微生物化身「帮凶」,共同促进癌症发生
E7 类器官,并进行了 qRT-PCR 和免疫印迹分析。结果显示,在没有 HPV E6E7 表达的情况下,沙眼衣原体显著抑制 E2F1 和肿瘤抑制因子 p53(TP53),而共感染导致 TP53 明显减少,但 E2F1 和 RB1 转录本没有显著减少。 与沙眼衣原体感染相反,HPV E6E7 上调 TP53、E2F1 和 RB1 基因表达。无论是否感染 HPV,沙眼衣原体感染 hCEcto 细胞后,总 Rb、pRb(S807/811)、E2F1 和 p53 蛋白减少。然而,E6E7 表达增加 E2F
3 篇 Nature 连发,解决世纪难题,周期蛋白的毁灭调控蕴含癌症患者的新生
在 cyclin D 上,被泛素化标记的 cyclin D 将会被蛋白酶体降解。此外研究还发现,AMBRA1 缺失会导致 cyclin D 和 MYC 蛋白水平升高。cyclin D 与 CDK4/6 结合,使 RB1 蛋白磷酸化。磷酸化 RB1 释放 E2F 转录因子来驱动细胞周期进程所需基因的表达。在 AMBRA1 缺失的细胞中,cyclin D 也能与 CDK2 激酶形成复合物,使癌细胞能够抵抗 CDK4/6 抑制剂的治疗。高水平的 cyclin D 会促进细胞增殖,从而导致 DNA 损伤、复制应激
技术资料暂无技术资料 索取技术资料






![CD63 antibody [LAMP3/968]](https://img1.dxycdn.com/2022/0328/280/1259080025599600453-14.jpg!wh200)

![Factor VIII antibody [RFF-VIIIC/5]](https://img1.dxycdn.com/2022/0328/241/0493471879983400453-14.jpg!wh200)


