相关产品推荐更多 >
万千商家帮你免费找货
0 人在求购买到急需产品
- 详细信息
- 文献和实验
- 技术资料
- 免疫原:
Recombinant human MYADM protein
- 亚型:
IgG1, Kappa
- 形态:
Liquid
- 保存条件:
Store as concentrated solution. Centrifuge briefly prior to opening vial. For short-term storage (1-2 weeks), store at 4℃. For long-term storage, aliquot and store at -20℃ or below. Avoid multiple freeze-thaw cycles.
- 克隆性:
Monoclonal
- 标记物:
Unconjugated
- 适应物种:
Human, Monkey
- 保质期:
12 months from the shipping date of the product.
- 抗原来源:
Human
- 目录编号:
GTX34880
- 级别:
Primary Antibodies
- 库存:
Available
- 供应商:
GeneTex
- 宿主:
Mouse
- 应用范围:
ICC/IF, IHC-P, FACS
- 浓度:
0.2 mg/ml(Please refer to the vial label for the specific concentration.)
- 靶点:
Myeloid marker
- 抗体英文名:
Myeloid marker antibody [MYADM/972]
- 抗体名:
Myeloid marker 抗体 [MYADM/972]
- 规格:
100 μg
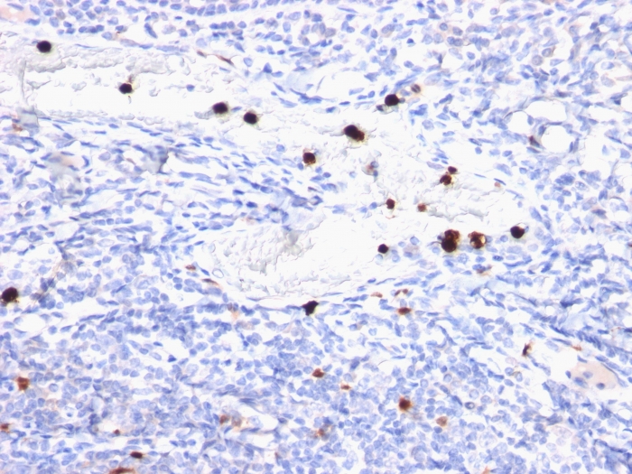
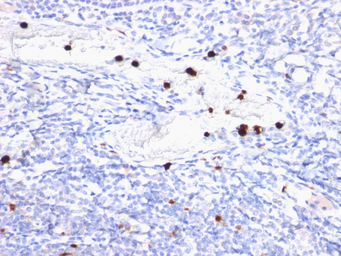
IHC-P analysis of human tonsil tissue using GTX34880 Myeloid marker antibody [MYADM/972].
风险提示:丁香通仅作为第三方平台,为商家信息发布提供平台空间。用户咨询产品时请注意保护个人信息及财产安全,合理判断,谨慎选购商品,商家和用户对交易行为负责。对于医疗器械类产品,请先查证核实企业经营资质和医疗器械产品注册证情况。
文献和实验WT-1 Overexpression in Acute Myeloid Leukemia and Myelodysplastic Syndromes
of this gene in the hematopoietic system is still quite completely obscure, it represents a reliable marker for the detection of the presence of leukemic cells. WT1 quantitative assessment may therefore represent a useful tool for the diagnosis and follow
Classification of AML Using a Monoclonal Antibody Microarray
A cluster of differentiation (CD) antibody microarray called the DotScan microarray has been developed that enables an extensive immunophenotype to be obtained for a suspension of leukocytes in a single analysis. For a leukemia
Antibody Staining of Imaginal Discs
Antibody Staining of Imaginal Discs From DIS- Thom Kaufman's lab 1. Dissect tissues in Tri-PBS, gather in a 1.5 ml tube of Tri-PBS on ice(at least 10 animals can be processed in one tube). Tear larvae
技术资料暂无技术资料 索取技术资料







![KSHV ORF73 antibody [HHV8/3606]](https://img1.dxycdn.com/2022/0328/080/1690922620399700453-14.jpg!wh200)



