相关产品推荐更多 >
万千商家帮你免费找货
0 人在求购买到急需产品
- 详细信息
- 文献和实验
- 技术资料
- 免疫原:
Recombinant hMART-1 protein
- 亚型:
IgG2b
- 形态:
Liquid
- 保存条件:
Store as concentrated solution. Centrifuge briefly prior to opening vial. For short-term storage (1-2 weeks), store at 4ºC. For long-term storage, aliquot and store at -20ºC or below. Avoid multiple freeze-thaw cycles.
- 克隆性:
Monoclonal
- 标记物:
Unconjugated
- 适应物种:
Human, Mouse, Rat
- 保质期:
12 months from the shipping date of the product.
- 抗原来源:
Human
- 目录编号:
GTX34826
- 级别:
Primary Antibodies
- 库存:
Available
- 供应商:
GeneTex
- 宿主:
Mouse
- 应用范围:
WB, ICC/IF, IHC-P, FACS
- 浓度:
0.2 mg/ml (Please refer to the vial label for the specific concentration.)
- 靶点:
Melan A
- 抗体英文名:
Melan A antibody [M2-9E3]
- 抗体名:
Melan A 抗体 [M2-9E3]
- 规格:
100 μg
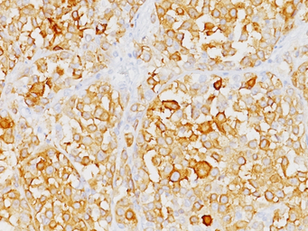
IHC-P analysis of human melanoma tissue using GTX34826 Melan A antibody [M2-9E3].
IHC-P analysis of human melanoma tissue using GTX34826 Melan A antibody [M2-9E3].
风险提示:丁香通仅作为第三方平台,为商家信息发布提供平台空间。用户咨询产品时请注意保护个人信息及财产安全,合理判断,谨慎选购商品,商家和用户对交易行为负责。对于医疗器械类产品,请先查证核实企业经营资质和医疗器械产品注册证情况。
文献和实验人雌三醇 ( E3 )ELISA 试剂盒 ( 用于血清、血浆、细胞培养上清液和其它生物体液内 ) 原理 本实验采用双抗体夹心 ABC-ELISA 法。用抗人 E3 单抗包被于酶标板上,标准品和样品中的 E3与单抗结合,加入生物素化的抗人 E3 ,形成免疫复合物连接在板上,辣根过氧化物酶标记的 Streptavidin 与生物素结合,加入底物工作液显蓝色,最后加终止液硫酸,在 450nm 处测
As a complement to the intracellular antibody capture method to isolate intracellular single domain antibody fragments (iDabs) from high diverse libraries, we describe here a simple mammalian two-hybrid (M2H) protocol using a “bait-prey
Studies of the Ubiquitin Proteasome System
phosphatase inhibitors and 50 µM MG132 (or lactacystin) Anti‐E3 or anti‐substrate antibody Nondenaturing Triton X‐100 wash buffer (see recipe ) Tris‐buffered saline (TBS
技术资料暂无技术资料 索取技术资料





![GFI1 antibody [5D7]](https://img1.dxycdn.com/2022/0328/553/9873877236127500453-14.jpg!wh200)


![TdT antibody [MSVA-453R] HistoMAX](https://custom.dxycdn.com/trademd/upload/pic/2013/11/12/A1383891150.jpg!small.t.1)


