相关产品推荐更多 >
万千商家帮你免费找货
0 人在求购买到急需产品
- 详细信息
- 文献和实验
- 技术资料
- 免疫原:
Nuclei from pokeweed mitogen-stimulated peripheral blood lymphocytes.
- 亚型:
IgM
- 形态:
Liquid
- 保存条件:
Store as concentrated solution. Centrifuge briefly prior to opening vial. For short-term storage (1-2 weeks), store at 4ºC. For long-term storage, aliquot and store at -20ºC or below. Avoid multiple freeze-thaw cycles.
- 克隆性:
Monoclonal
- 标记物:
Unconjugated
- 适应物种:
Human, Mink
- 保质期:
12 months from the shipping date of the product.
- 目录编号:
GTX34584
- 级别:
Primary Antibodies
- 库存:
Available
- 供应商:
GeneTex
- 宿主:
Mouse
- 应用范围:
ICC/IF, IHC-P, IHC-Fr, FACS
- 浓度:
0.2 mg/ml (Please refer to the vial label for the specific concentration.)
- 靶点:
CDw75
- 抗体英文名:
CDw75 antibody [LN-1]
- 抗体名:
CDw75 抗体 [LN-1]
- 规格:
100 μg
ICC/IF analysis of MeOH-fixed HeLa cells using GTX34584 Cdw75 antibody [LN-1].
Green : Primary antibody
Red : nucleus
FACS analysis of human lymphocytes using GTX34584 Cdw75 antibody [LN-1].
Red : Primary antibody
Green : Isotype control
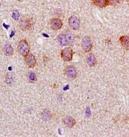
IHC-P analysis of normal human spleen tissue using GTX34584 Cdw75 antibody [LN-1].
风险提示:丁香通仅作为第三方平台,为商家信息发布提供平台空间。用户咨询产品时请注意保护个人信息及财产安全,合理判断,谨慎选购商品,商家和用户对交易行为负责。对于医疗器械类产品,请先查证核实企业经营资质和医疗器械产品注册证情况。
文献和实验BJ Bast et al., J Cell Biol 1992 (PMID:1730763)
B Aasted et al., Vet Immunol Immunopathol 2007 (PMID:17681385)
技术资料暂无技术资料 索取技术资料


![CDw75 antibody [LN-1]](https://img1.dxycdn.com/2022/0328/708/3359224565610700453-14.jpg)


![Nkx3.1 antibody [ARC58355]](https://custom.dxycdn.com/trademd/upload/pic/2013/11/12/A1383891150.jpg!small.t.1)


![GSK3 beta antibody [1F7]](https://img1.dxycdn.com/2022/0328/530/1751480012540800453-14.jpg!wh200)
![SHC1 antibody [N3C2], Internal](https://img1.dxycdn.com/2022/0328/434/4270602382379200453-14.jpg!wh200)
