相关产品推荐更多 >
万千商家帮你免费找货
0 人在求购买到急需产品
- 详细信息
- 文献和实验
- 技术资料
- 免疫原:
Human recombinant CD6 protein
- 亚型:
IgG1
- 形态:
Liquid
- 保存条件:
Store as concentrated solution. Centrifuge briefly prior to opening vial. For short-term storage (1-2 weeks), store at 4ºC. For long-term storage, aliquot and store at -20ºC or below. Avoid multiple freeze-thaw cycles.
- 克隆性:
Monoclonal
- 标记物:
Unconjugated
- 适应物种:
Human
- 保质期:
12 months from the shipping date of the product.
- 抗原来源:
Human
- 目录编号:
GTX34537
- 级别:
Primary Antibodies
- 库存:
Available
- 供应商:
GeneTex
- 宿主:
Mouse
- 应用范围:
ICC/IF, IHC-P
- 浓度:
0.2 mg/ml (Please refer to the vial label for the specific concentration.)
- 靶点:
CD6
- 抗体英文名:
CD6 antibody [SPM547]
- 抗体名:
CD6 抗体 [SPM547]
- 规格:
100 μg
ICC/IF analysis of MOLT-4 cells using GTX34537 CD6 antibody [SPM547].
Green : Primary antibody
Red : nucleus
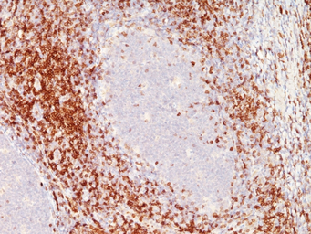
IHC-P analysis of tonsil tissue using GTX34537 CD6 antibody [SPM547].
风险提示:丁香通仅作为第三方平台,为商家信息发布提供平台空间。用户咨询产品时请注意保护个人信息及财产安全,合理判断,谨慎选购商品,商家和用户对交易行为负责。对于医疗器械类产品,请先查证核实企业经营资质和医疗器械产品注册证情况。
文献和实验祝贺〖雅裕睿安〗成为Signalway Antibody(SAB)独家
祝贺〖上海雅裕 〗成为 Signalway Antibody 品牌 (SAB) 的独家总代理。 促销【 ABCD 】细则如下: 【 A 】 买两支 SAB 抗体免费获得 8G 优盘 活动时间:即日起,至 2011 年
【丁香园/丁香通 第一期品牌抗体库发布】想找品牌抗体?汇聚Abnova、Abcam、CST、santacruze一线品牌抗体库数据,一站让你查到底!
://www.biomart.cn/antibody/cd6 2、根据抗体特有属性进行筛选,使得搜索结果更准确。 第一版抗体库发布之后还有很多不完善的地方,期待大家一起来找茬。 如果你发现有任何bug,或者任何查找不到的抗体,欢迎跟帖发布,或者@丁香通采购助手 ,寻求帮助。 (我们将抽取热心网友10位,每人奖励10个丁当) 点此开始查找品牌抗体 http://www.biomart
免疫荧光组织(细胞)化学技术系列七:现状与展望(附参考文献)
缤纷的荧光。2、参考文献(1)Akivoshi Kawamura, JR. Fluorescent antibody techniques and their application. University of Tokyo Press. 1969.(2)王伯沄. 免疫荧光组织化学和荧光组织化学技术. 第四军医大学科技资料增刊, 1974; 2: 5-30.(3)Huang SN. Application of immunofluorescent staining on paraffin
技术资料暂无技术资料 索取技术资料





![Synaptojanin 1 antibody [5H1]](https://img1.dxycdn.com/2022/0328/178/8652486132107500453-14.jpg!wh200)
![Phosphothreonine antibody [RM102]](https://img1.dxycdn.com/2022/0328/891/4108906079743500453-14.jpg!wh200)
![Calcitonin antibody [13B9]](https://img1.dxycdn.com/2022/0328/446/2608615226790300453-14.jpg!wh200)



