相关产品推荐更多 >
万千商家帮你免费找货
0 人在求购买到急需产品
- 详细信息
- 文献和实验
- 技术资料
- 免疫原:
Recombinant full-length human CD40 protein
- 亚型:
IgG1
- 形态:
Liquid
- 保存条件:
Store as concentrated solution. Centrifuge briefly prior to opening vial. For short-term storage (1-2 weeks), store at 4ºC. For long-term storage, aliquot and store at -20ºC or below. Avoid multiple freeze-thaw cycles.
- 克隆性:
Monoclonal
- 标记物:
Unconjugated
- 适应物种:
Human
- 保质期:
12 months from the shipping date of the product.
- 抗原来源:
Human
- 目录编号:
GTX34506
- 级别:
Primary Antibodies
- 库存:
Available
- 供应商:
GeneTex
- 宿主:
Mouse
- 应用范围:
ICC/IF, IHC-P, FACS
- 浓度:
0.2 mg/ml (Please refer to the vial label for the specific concentration.)
- 靶点:
CD40
- 抗体英文名:
CD40 antibody [C40/1605]
- 抗体名:
CD40 抗体 [C40/1605]
- 规格:
100 μg
FACS analysis of U2OS cells using GTX34506 CD40 antibody [C40/1605].
Blue : Primary antibody
Red : Isotype control
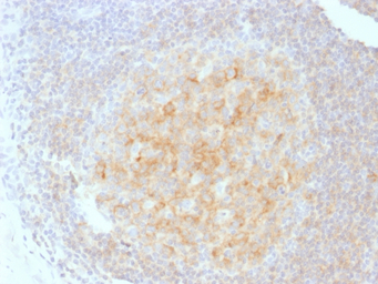
IHC-P analysis of human tonsil tissue using GTX34506 CD40 antibody [C40/1605].
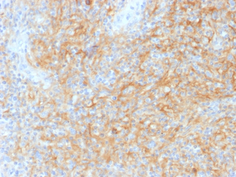
IHC-P analysis of human spleen tissue using GTX34506 CD40 antibody [C40/1605].
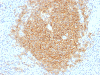
IHC-P analysis of human Hodgkin’s lymphoma tissue using GTX34506 CD40 antibody [C40/1605].
风险提示:丁香通仅作为第三方平台,为商家信息发布提供平台空间。用户咨询产品时请注意保护个人信息及财产安全,合理判断,谨慎选购商品,商家和用户对交易行为负责。对于医疗器械类产品,请先查证核实企业经营资质和医疗器械产品注册证情况。
文献和实验CD40 分子 CD40 常用单克隆抗体或代号: G28- 5,EA- 5 主要表达细胞: B,M,FDC,并指细胞,上皮 [B] 分子质量(kDa)和结构: gp50(TNFR- SF) 功 能: B细胞生长、分化和记忆细胞产生,配体为CD40L,T- B相互作用 CD40 Plays a central role in regulating cell-mediated
【进展|热点】Science:胰腺腺癌治疗新思路-CD40分子激活抗肿瘤细胞
the combination of an agonist CD40 antibody with gemcitabine chemotherapy in a small cohort of patients with surgically incurable PDA and observed tumor regressions in some patients. We reproduced this treatment effect in a genetically engineered mouse model
Immunoglobulin Class Switching: In Vitro Induction and Analysis
of the gene segments coding for the constant region of the Ig heavy chain, although the Ig heavy chain variable region is retained. This process changes the effector functions of the corresponding antibody (Ab). Much of our current understanding
技术资料暂无技术资料 索取技术资料





![Claudin 3 antibody [HL1527]](https://img1.dxycdn.com/2022/0615/764/6531109346202064553-14.jpg!wh200)


![Human Parechovirus 1+3 VP0 antibody [HL2443]](https://custom.dxycdn.com/trademd/upload/pic/2013/11/12/A1383891150.jpg!small.t.1)


