相关产品推荐更多 >
万千商家帮你免费找货
0 人在求购买到急需产品
- 详细信息
- 文献和实验
- 技术资料
- 免疫原:
Recombinant human full-length CD31 protein
- 亚型:
IgG1
- 形态:
Liquid
- 保存条件:
Store as concentrated solution. Centrifuge briefly prior to opening vial. For short-term storage (1-2 weeks), store at 4ºC. For long-term storage, aliquot and store at -20ºC or below. Avoid multiple freeze-thaw cycles.
- 克隆性:
Monoclonal
- 标记物:
Unconjugated
- 适应物种:
Human, Rat, Rabbit, Monkey
- 保质期:
12 months from the shipping date of the product.
- 抗原来源:
Human
- 目录编号:
GTX34489
- 级别:
Primary Antibodies
- 库存:
Available
- 供应商:
GeneTex
- 宿主:
Mouse
- 应用范围:
WB, IHC-P, FACS
- 浓度:
0.2 mg/ml (Please refer to the vial label for the specific concentration.)
- 靶点:
CD31
- 抗体英文名:
CD31 antibody [C31.7]
- 抗体名:
CD31 抗体 [C31.7]
- 规格:
100 μg
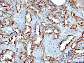
IHC-P analysis of human angiosarcoma tissue using GTX34489 CD31 antibody [C31.7].
FACS analysis of Jurkat cells using GTX34489 CD31 antibody [C31.7].
Black : Blank
Green : Isotype Control
Red : Primary antibody
WB analysis of THP-1 lysate using GTX34489 CD31 antibody [C31.7].
FACS analysis of Jurkat cells using GTX34489 CD31 antibody [C31.7].
Black : Blank
Grey : Isotype Control
Green : Primary antibody
WB analysis of Jurkat cell lysate using GTX34489 CD31 antibody [C31.7].
FACS analysis of PFA-fixed Jurat cells using GTX34489 CD31 antibody [C31.7].
Blue : Primary antibody
Red : Isotype control
风险提示:丁香通仅作为第三方平台,为商家信息发布提供平台空间。用户咨询产品时请注意保护个人信息及财产安全,合理判断,谨慎选购商品,商家和用户对交易行为负责。对于医疗器械类产品,请先查证核实企业经营资质和医疗器械产品注册证情况。
文献和实验Liu Y et al., Front Bioeng Biotechnol 2023 (PMID:36733971)
Fluorescent Immunohistochemistry and In Situ Hybridization Analysis of Pancreas
is always required for different tissues and antigens. Using a low-power antigen retrieval technique, with appropriate dilution of antibodies, we successfully immunostained key antigens in the pancreas such as insulin, PDX-1, glucagon, cytokeratin, and CD31
) 3. BSA 4. DMEM 5. FCS 6. Antibiotic 7. Heparin 8. F12medium 9. Isoflourane 10. Ethonol 11. Dynabeads 12. anti-CD31antibody(BDPharmingen,catalognumber:550274) 13. M199 14. gelatin 二、设备 1. 离心机 2. 无菌培养橱
CD38 分子 CD38 常用单克隆抗体或代号: Leu17,T10,OKT10 主要表达细胞: Ta,Thy,Ba,PC [B] 分子质量(kDa)和结构: gp45 功 能: 白细胞活化,ADP环化酶,与CD31互为受体,细胞粘附 CD38 Novel enzyme capable of catalyzing multiple reactions; two enzyme products
技术资料暂无技术资料 索取技术资料







![IL3 Receptor alpha antibody [8E11C5]](https://img1.dxycdn.com/2022/0328/163/3178166890143500453-14.jpg!wh200)



