相关产品推荐更多 >
万千商家帮你免费找货
0 人在求购买到急需产品
- 详细信息
- 文献和实验
- 技术资料
- 免疫原:
Recombinant human full-length TNFRSF8 protein
- 亚型:
IgG
- 形态:
Liquid
- 保存条件:
Store as concentrated solution. Centrifuge briefly prior to opening vial. For short-term storage (1-2 weeks), store at 4ºC. For long-term storage, aliquot and store at -20ºC or below. Avoid multiple freeze-thaw cycles.
- 克隆性:
Monoclonal
- 标记物:
Unconjugated
- 适应物种:
Human
- 保质期:
12 months from the shipping date of the product.
- 抗原来源:
Human
- 目录编号:
GTX34488
- 级别:
Primary Antibodies
- 库存:
Available
- 供应商:
GeneTex
- 宿主:
Rabbit
- 应用范围:
IHC-P
- 浓度:
0.2 mg/ml (Please refer to the vial label for the specific concentration.)
- 靶点:
CD30
- 抗体英文名:
CD30 antibody [Ki-1/1747R]
- 抗体名:
CD30 抗体 [Ki-1/1747R]
- 规格:
100 μg
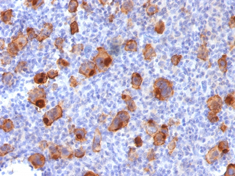
IHC-P analysis of human Hodgkin's lymphoma tissue using GTX34488 CD30 antibody [Ki-1/1747R].
风险提示:丁香通仅作为第三方平台,为商家信息发布提供平台空间。用户咨询产品时请注意保护个人信息及财产安全,合理判断,谨慎选购商品,商家和用户对交易行为负责。对于医疗器械类产品,请先查证核实企业经营资质和医疗器械产品注册证情况。
文献和实验Chimerization of a Monoclonal Antibody for Treating Hodgkin's Lymphoma
Ber-H2 which recognizes the human CD30 molecule with high specificity and affinity (2 ). CD30, a member of the nerve growth factor (NGF) tumor necrosis factor receptor (TNFR) superfamily (3 ), is strongly expressed on the pathognomonic Hodgkin (H
人可溶性CD30 分子 (sCD30)ELISA 试剂盒 ( 用于血清、血浆、细胞培养上清液和其它生物体液内 ) 原理 本实验采用双抗体夹心 ABC-ELISA 法。用抗人 sCD30 单抗包被于酶标板上,标准品和样品中的 sCD30与单抗结合,加入生物素化的抗人 sCD30 ,形成免疫复合物连接在板上,辣根过氧化物酶标记的 Streptavidin 与生物素结合,加入底物工作液显蓝色,最后
. A Comprehensive Review of HER2 in Cancer Biology and Therapeutics. Genes (Basel). 2024 Jul 11;15(7):903.[12] Sun X, et al. Ki-67: more than a proliferation marker. Chromosoma. 2018 Jun;127(2):175-186.[13 ]S?rlie T, et al. Gene expression patterns of breast
技术资料暂无技术资料 索取技术资料





![Myoglobin antibody [C1C3]](https://img1.dxycdn.com/2022/0328/939/8018330609137200453-14.jpg!wh200)



![ER81 antibody [1C8B6]](https://img1.dxycdn.com/2022/0328/838/2155735514357500453-14.jpg!wh200)

