相关产品推荐更多 >
万千商家帮你免费找货
0 人在求购买到急需产品
- 详细信息
- 文献和实验
- 技术资料
- 免疫原:
Purified human neutrophils
- 亚型:
IgM
- 形态:
Liquid
- 保存条件:
Store as concentrated solution. Centrifuge briefly prior to opening vial. For short-term storage (1-2 weeks), store at 4ºC. For long-term storage, aliquot and store at -20ºC or below. Avoid multiple freeze-thaw cycles.
- 克隆性:
Monoclonal
- 标记物:
Unconjugated
- 适应物种:
Human, Mouse, Rat
- 保质期:
12 months from the shipping date of the product.
- 抗原来源:
Human
- 目录编号:
GTX34466
- 级别:
Primary Antibodies
- 库存:
Available
- 供应商:
GeneTex
- 宿主:
Mouse
- 应用范围:
IHC-P
- 浓度:
0.2 mg/ml (Please refer to the vial label for the specific concentration.)
- 靶点:
SSEA-1 / CD15
- 抗体英文名:
SSEA-1 / CD15 antibody [FUT4/815]
- 抗体名:
SSEA-1 / CD15 抗体 [FUT4/815]
- 规格:
100 μg
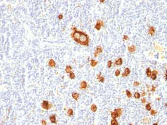
IHC-P analysis of human Hodgkin's lymphoma tissue using GTX34466 SSEA-1 / CD15 antibody [FUT4/815].
风险提示:丁香通仅作为第三方平台,为商家信息发布提供平台空间。用户咨询产品时请注意保护个人信息及财产安全,合理判断,谨慎选购商品,商家和用户对交易行为负责。对于医疗器械类产品,请先查证核实企业经营资质和医疗器械产品注册证情况。
文献和实验; FUT4 , 3-FAL selectin ligand (CD15); ICAM1 , intracellular adhesion molecule (CD54); ERBB2 , ERBB3 , erythroblastic leukemia viral oncogene homolog-2 and -3; ITGA6 , integrin- 6 (CD49f); ITGB4 , integrin- 4 (CD104); TNFRSF6 , Apo1-FAS antigen (CD95). (B
) 。 ( 3 ) 384 孔微量滴定板(Gentix,Christchurch,UK ) 。 ( 4 ) 96 孔深孔板:每孔容积 2 ml 的 96 孔微滴定板(Qiagen,Hilden,Germany) 。 ( 5 ) 96 针复制器(Nunc,Wiesbaden,Germany) 。 ( 6 ) 4 X SB 培养基:48 g/L 胰化蛋白胨,96 g/L 酵母提取物,0.8% ( V/V)甘油,120°C 高压灭菌 20 min。 ( 7 ) 20 X PP 缓冲液(磷酸钾盐缓冲
,2F12;CRIS-3 Leu LFA-1(gp180/95)的α链 与ICAM-1(CD54)和ICAM-2(CD102)结合 CD11b Mol,OKM1; (Mac-1,CR3,integrin αm G,M,NK gp165/95的α链 C3bi和FB受体,与ICAM-1结合,粘附,调理吞噬 CD11c LeuM5;(CR4,integrin αx) M,G,NK,Tsub gp150/95的α链 C3bi受体,调理吞噬
技术资料暂无技术资料 索取技术资料







![Centrin 1 antibody [GT147]](https://img1.dxycdn.com/2022/0329/915/4564907026206020453-14.jpg!wh200)



