相关产品推荐更多 >
万千商家帮你免费找货
0 人在求购买到急需产品
- 详细信息
- 文献和实验
- 技术资料
- 免疫原:
synthetic peptide derived from Beclin-1 at 110-190 aa.
- 亚型:
IgG1
- 形态:
Liquid
- 保存条件:
Store as concentrated solution. Centrifuge briefly prior to opening vial. For short-term storage (1-2 weeks), store at 4ºC. For long-term storage, aliquot and store at -20ºC or below. Avoid multiple freeze-thaw cycles.
- 克隆性:
Monoclonal
- 标记物:
Unconjugated
- 适应物种:
Human, Mouse, Rat
- 保质期:
12 months from the shipping date of the product.
- 抗原来源:
Human
- 目录编号:
GTX34055
- 级别:
Primary Antibodies
- 库存:
Available
- 供应商:
GeneTex
- 宿主:
Mouse
- 应用范围:
WB, IHC-P
- 浓度:
1 mg/ml (Please refer to the vial label for the specific concentration.)
- 靶点:
Beclin 1
- 抗体英文名:
Beclin 1 antibody [5C2]
- 抗体名:
Beclin 1 抗体 [5C2]
- 规格:
100 μl
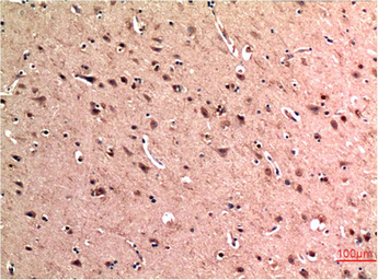
IHC-P analysis of human brain tissue using GTX34055 Beclin 1 antibody [5C2].
Dilution : 1:200
WB analysis of (1) 293T cell lysate, (2) C2C12 cell lysate, (3) rat brain tissue lysates using GTX34055 Beclin 1 antibody [5C2].
Dilution : 1:2000
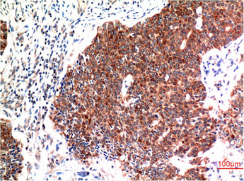
IHC-P analysis of human breast carcinoma tissue using GTX34055 Beclin 1 antibody [5C2].
Dilution : 1:200
风险提示:丁香通仅作为第三方平台,为商家信息发布提供平台空间。用户咨询产品时请注意保护个人信息及财产安全,合理判断,谨慎选购商品,商家和用户对交易行为负责。对于医疗器械类产品,请先查证核实企业经营资质和医疗器械产品注册证情况。
文献和实验补体成分 C2(C2a/C2b) 补体成分:C2 血清浓度(μg/ml):20 分子量(kDa):110 亚单位(链)及分子量(kDa):1条 激活产物:C2b;C2a 生物学活性:C2a 丝氨酸蛋白酶,组成CP中的C3、C5转化酶 ELISA KIT & ANTIBODY
Antibody-Based Detection of CAG Repeat Expansion Containing Genes
-revealed by the 1C2 antibody interaction—and a tendency of mutant proteins to aggregate in vitro and in vivo. To date nine polygln expansion disorders have been characterized, the list of which includes Huntington’s disease (HD) the most frequent
secondary antibody review -- data from 99 publications
cytometry used as a control to detect cell responses targeted antigen 7 Alexa Fluor 488 7 Cy3 8 goat IgG Alexa Fluor 488 1:2000 detect antibody binding in human embryonic kidney 293T cells Invitrogen 9 donkey
技术资料暂无技术资料 索取技术资料





![CD40L / CD154 antibody [5C8] (PE)](https://img1.dxycdn.com/2022/0328/977/5764066891576700453-14.jpg!wh200)





