相关产品推荐更多 >
万千商家帮你免费找货
0 人在求购买到急需产品
- 详细信息
- 文献和实验
- 技术资料
- 免疫原:
Synthetic Peptide
- 亚型:
IgG1
- 形态:
Liquid
- 保存条件:
Store as concentrated solution. Centrifuge briefly prior to opening vial. For short-term storage (1-2 weeks), store at 4ºC. For long-term storage, aliquot and store at -20ºC or below. Avoid multiple freeze-thaw cycles.
- 克隆性:
Monoclonal
- 标记物:
Unconjugated
- 适应物种:
Human, Rat
- 保质期:
12 months from the shipping date of the product.
- 抗原来源:
Human
- 目录编号:
GTX33998
- 级别:
Primary Antibodies
- 库存:
Available
- 供应商:
GeneTex
- 宿主:
Mouse
- 应用范围:
WB, IHC-P
- 浓度:
1 mg/ml (Please refer to the vial label for the specific concentration.)
- 靶点:
Grp78
- 抗体英文名:
Grp78 antibody [8G3]
- 抗体名:
Grp78 抗体 [8G3]
- 规格:
100 μl
WB analysis of (1) HeLa, (2) rat liver tissue lysates using GTX33998 Grp78 antibody [8G3].
Dilution : 1:2000
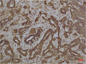
IHC-P analysis of human colon carcicnoma tissue using GTX33998 Grp78 antibody [8G3].
Dilution : 1:200
IHC-P analysis of human breast carcicnoma tissue using GTX33998 Grp78 antibody [8G3].
Dilution : 1:200
风险提示:丁香通仅作为第三方平台,为商家信息发布提供平台空间。用户咨询产品时请注意保护个人信息及财产安全,合理判断,谨慎选购商品,商家和用户对交易行为负责。对于医疗器械类产品,请先查证核实企业经营资质和医疗器械产品注册证情况。
文献和实验=0 [求助]有抗人的GRP78的抗体吗?最好是兔抗 用于做IP http://www.dxy.cn/bbs/post/view?bid=65&id=5314820&sty=1&tpg=39&age=0 [求助]急问各位大侠过滤参数的问题 http://www.dxy.cn/bbs/post/view?bid=65&id=5314816&sty=1&tpg=39&age=0 [求助]内参 http://www.dxy.cn/bbs/post/view?bid=65&id=5314250
技术资料暂无技术资料 索取技术资料






![TRPC7 antibody [S64A-36]](https://img1.dxycdn.com/2022/0328/600/6432299920414400453-14.jpg!wh200)

![Noxa antibody [114C307.1]](https://img1.dxycdn.com/2022/0329/898/8982129165904020453-14.jpg!wh200)


