相关产品推荐更多 >
万千商家帮你免费找货
0 人在求购买到急需产品
- 详细信息
- 文献和实验
- 技术资料
- 免疫原:
Synthetic peptide, corresponding to amino acids 80-130 of Human M-cadherin.
- 亚型:
IgG
- 形态:
Liquid
- 保存条件:
Store as concentrated solution. Centrifuge briefly prior to opening vial. For short-term storage (1-2 weeks), store at 4ºC. For long-term storage, aliquot and store at -20ºC or below. Avoid multiple freeze-thaw cycles.
- 克隆性:
Polyclonal
- 标记物:
Unconjugated
- 适应物种:
Human, Mouse, Rat
- 保质期:
12 months from the shipping date of the product.
- 抗原来源:
Human
- 目录编号:
GTX17434
- 级别:
Primary Antibodies
- 库存:
Available
- 供应商:
GeneTex
- 宿主:
Rabbit
- 应用范围:
WB, IHC-P
- 浓度:
1 mg/ml (Please refer to the vial label for the specific concentration.)
- 靶点:
M-cadherin (A108) pAb detects endogenous levels of M-cadherin protein.
- 抗体英文名:
M-Cadherin antibody
- 抗体名:
M-Cadherin 抗体
- 规格:
100 μl
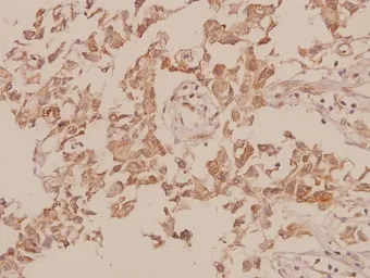
Immunohistochemistry (IHC) analyzes of M-cadherin (GTX17434) pAb in paraffin-embedded human breast carcinoma tissue at 1:50.
Western blot (WB) analysis of M-cadherin (GTX17434)) pAb at 1:500 dilution Lane1:HEK293T whole cell lysate Lane2:Mouse brain tissue lysate Lane3:Rat brain tissue lysate
风险提示:丁香通仅作为第三方平台,为商家信息发布提供平台空间。用户咨询产品时请注意保护个人信息及财产安全,合理判断,谨慎选购商品,商家和用户对交易行为负责。对于医疗器械类产品,请先查证核实企业经营资质和医疗器械产品注册证情况。
文献和实验网络 四、Cadherin家族 Takeichi最早发现一种介导细胞间相互聚集的粘附分子,在有Ca 2+ 存在时可以抵抗蛋白酶的水解作用,以后又发现两种作用和特性均与其类似的粘附分子,它们的氨基酸序列也有同源性,遂将其命名为Cadherin(Ca 2+
Cadherin-Mediated Cell-Cell Interactions
, heart, aorta somite, skeletal muscle, kidney Cadherin-14 Human M-Cadherin (cadherin-15) Human
说起基因组序列数据库,大多数人耳熟能详的是三巨头GenBankEBIDDBJ这些数据库在设计之初虽然考虑了基因组存储的需求,但在基因组分析和数据挖掘上的功能设计则比较欠缺。而 IMG/M 作为新一代基因组数据库的代表,不仅能够完整收录现有数据库的内容,还提供了更完善的数据上传、注释和分析服务,将测序数据储存到 IMG/M 数据库(即将 IMG/M 数据库的登录号填写到文章中)也是被许多顶尖期刊如 Nature Communication 所接受的。IMG/M 数据库接受上传纯培养测序基因
技术资料暂无技术资料 索取技术资料





![Chromogranin A antibody [SPM553]](https://img1.dxycdn.com/2022/0328/339/2335974021240700453-14.jpg!wh200)
![CD42b antibody [AK2] (Low endotoxin, azide free)](https://img1.dxycdn.com/2022/0329/939/5957343427056020453-14.jpg!wh200)


![p53 (phospho Ser46) antibody [#36]](https://img1.dxycdn.com/2022/0328/364/1372708775817700453-14.jpg!wh200)
