相关产品推荐更多 >
万千商家帮你免费找货
0 人在求购买到急需产品
- 详细信息
- 技术资料
- 供应商:
上海联迈生物工程有限公司
- 库存:
大量
- 靶点:
详见说明书
- 级别:
1
- 目录编号:
LM-0125R-FITC
- 克隆性:
多克隆
- 抗原来源:
Rabbit
- 保质期:
1年
- 抗体英文名:
Anti-HER2/FITC
- 抗体名:
Anti-HER2/FITC
- 标记物:
FITC标记
- 宿主:
Human
- 适应物种:
Human
- 免疫原:
详见说明书
- 亚型:
IGg
- 形态:
粉末、液体、冻干粉
- 应用范围:
ICC=1:50-200 IF=1:50-200
- 浓度:
1mg/ml
- 保存条件:
-20 °C
- 规格:
100ul
FITC标记的HER2抗体
| 英文名称 | Anti-HER2/FITC |
| 中文名称 | FITC标记的HER2抗体 |
| 别 名 | erbB-2 isoform 2; HER2 receptor; Erbb2 protein; CerbB2; c erb B2; C erbB 2; C-erbB2; CD340; Erb B2; erbb2; HER 2; Her-2; HER 2/neu; HER2; Her2/neu; Herstatin; MLN 19; MLN19; NEU; NEU Proto Oncogene; Neuro Glioblastoma Derived Oncogene Homolog; NGL; p185 ErbB2; p185erbB2; Receptor Protein Tyrosine Kinase ErbB2 Precursor; Receptor tyrosine protein kinase erbB 2; TKR1; Tyrosine kinase type cell surface receptor HER2; v erb b2 erythroblastic leukemia viral oncogene homolog 2 neuro/glioblastoma derived oncogene homolog (avian); ERBB2_HUMAN; Receptor tyrosine-protein kinase erbB-2; Metastatic lymph node gene 19 protein; Proto-oncogene Neu; Proto-oncogene c-ErbB-2. |
| 规格价格 | 100ul/2980元 购买 大包装/询价 |
| 说 明 书 | 100ul |
| 研究领域 | 肿瘤 细胞生物 免疫学 生长因子和激素 |
| 抗体来源 | Rabbit |
| 克隆类型 | Polyclonal |
| 交叉反应 | Human, |
| 产品应用 | ICC=1:50-200 IF=1:50-200 not yet tested in other applications. optimal dilutions/concentrations should be determined by the end user. |
| 分 子 量 | 185kDa |
| 细胞定位 | 细胞膜 |
| 性 状 | Lyophilized or Liquid |
| 浓 度 | 1mg/ml |
| 免 疫 原 | KLH conjugated synthetic peptide derived from human HER2 |
| 亚 型 | IgG |
| 纯化方法 | affinity purified by Protein A |
| 储 存 液 | 0.01M TBS(pH7.4) with 1% BSA, 0.03% Proclin300 and 50% Glycerol. |
| 保存条件 | Store at -20 °C for one year. Avoid repeated freeze/thaw cycles. The lyophilized antibody is stable at room temperature for at least one month and for greater than a year when kept at -20°C. When reconstituted in sterile pH 7.4 0.01M PBS or diluent of antibody the antibody is stable for at least two weeks at 2-4 °C. |
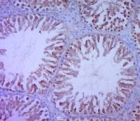
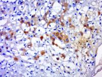
| 产品介绍 | background: This gene encodes a member of the epidermal growth factor (EGF) receptor family of receptor tyrosine kinases. This protein has no ligand binding domain of its own and therefore cannot bind growth factors. However, it does bind tightly to other ligand-bound EGF receptor family members to form a heterodimer, stabilizing ligand binding and enhancing kinase-mediated activation of downstream signalling pathways, such as those involving mitogen-activated protein kinase and phosphatidylinositol-3 kinase. Allelic variations at amino acid positions 654 and 655 of isoform a (positions 624 and 625 of isoform b) have been reported, with the most common allele, Ile654/Ile655, shown here. Amplification and/or overexpression of this gene has been reported in numerous cancers, including breast and ovarian tumors. Alternative splicing results in several additional transcript variants, some encoding different isoforms and others that have not been fully characterized. [provided by RefSeq, Jul 2008]. Function: Protein tyrosine kinase that is part of several cell surface receptor complexes, but that apparently needs a coreceptor for ligand binding. Essential component of a neuregulin-receptor complex, although neuregulins do not interact with it alone. GP30 is a potential ligand for this receptor. Regulates outgrowth and stabilization of peripheral microtubules (MTs). Upon ERBB2 activation, the MEMO1-RHOA-DIAPH1 signaling pathway elicits the phosphorylation and thus the inhibition of GSK3B at cell membrane. This prevents the phosphorylation of APC and CLASP2, allowing its association with the cell membrane. In turn, membrane-bound APC allows the localization of MACF1 to the cell membrane, which is required for microtubule capture and stabilization. In the nucleus is involved in transcriptional regulation. Associates with the 5'-TCAAATTC-3' sequence in the PTGS2/COX-2 promoter and activates its transcription. Implicated in transcriptional activation of CDKN1A; the function involves STAT3 and SRC. Involved in the transcription of rRNA genes by RNA Pol I and enhances protein synthesis and cell growth. Subunit: Heterodimer with each of ,the other ERBB receptors. The constitutively activated oncogenic variant forms a homodimer. Interacts with PRKCABP and PLXNB1. It is a type I membrane protein. Ligand-binding increases phosphorylation on tyrosine residues Belongs to the Tyr protein kinase family. EGF receptor subfamily. Subcellular Location: Isoform 1: Cell membrane; Single-pass type I membrane protein. Cytoplasm, perinuclear region. Nucleus. Isoform 2: Cytoplasm. Nucleus. Isoform 3: Cytoplasm. Nucleus. Tissue Specificity: Expressed in a variety of tumor tissues including primary breast tumors and tumors from small bowel, esophagus, kidney and mouth. Post-translational modifications: Autophosphorylated. Ligand-binding increases phosphorylation on tyrosine residues. Autophosphorylation occurs in trans, i.e. one subunit of the dimeric receptor phosphorylates tyrosine residues on the other subunit. Signaling via SEMA4C promotes phosphorylation at Tyr-1248. DISEASE: Defects in ERBB2 are a cause of hereditary diffuse gastric cancer (HDGC) [MIM:137215]. A cancer predisposition syndrome with increased susceptibility to diffuse gastric cancer. Diffuse gastric cancer is a malignant disease characterized by poorly differentiated infiltrating lesions resulting in thickening of the stomach. Malignant tumors start in the stomach, can spread to the esophagus or the small intestine, and can extend through the stomach wall to nearby lymph nodes and organs. It also can metastasize to other parts of the body. Defects in ERBB2 are involved in the development of glioma (GLM) [MIM:137800]. Gliomas are central nervous system neoplasms derived from glial cells and comprise astrocytomas, glioblastoma multiforme, oligodendrogliomas, and ependymomas. Defects in ERBB2 are a cause of susceptibility to ovarian cancer (OC) [MIM:167000]. Ovarian cancer common malignancy originating from ovarian tissue. Although many histologic types of ovarian neoplasms have been described, epithelial ovarian carcinoma is the most common form. Ovarian cancers are often asymptomatic and the recognized signs and symptoms, even of late-stage disease, are vague. Consequently, most patients are diagnosed with advanced disease. Defects in ERBB2 may be a cause of lung cancer (LNCR) [MIM:211980]. LNCR is a common malignancy affecting tissues of the lung. The most common form of lung cancer is non-small cell lung cancer (NSCLC) that can be divided into 3 major histologic subtypes: squamous cell carcinoma, adenocarcinoma, and large cell lung cancer. NSCLC is often diagnosed at an advanced stage and has a poor prognosis. Defects in ERBB2 are a cause of gastric cancer (GASC) [MIM:613659]. A malignant disease which starts in the stomach, can spread to the esophagus or the small intestine, and can extend through the stomach wall to nearby lymph nodes and organs. It also can metastasize to other parts of the body. The term gastric cancer or gastric carcinoma refers to adenocarcinoma of the stomach that accounts for most of all gastric malignant tumors. Two main histologic types are recognized, diffuse type and intestinal type carcinomas. Diffuse tumors are poorly differentiated infiltrating lesions resulting in thickening of the stomach. In contrast, intestinal tumors are usually exophytic, often ulcerating, and associated with intestinal metaplasia of the stomach, most often observed in sporadic disease. Note=Chromosomal aberrations involving ERBB2 may be a cause gastric cancer. Deletions within 17q12 region producing fusion transcripts with CDK12, leading to CDK12-ERBB2 fusion leading to trunctated CDK12 protein not in-frame with ERBB2. Similarity: Belongs to the protein kinase superfamily. Tyr protein kinase family. EGF receptor subfamily. Contains 1 protein kinase domain. Database links: Entrez Gene: 2064 Human Entrez Gene: 13866 Mouse Entrez Gene: 24337 Rat Omim: 164870 Human SwissProt: P04626 Human SwissProt: P70424 Mouse SwissProt: P06494 Rat Unigene: 446352 Human Unigene: 290822 Mouse Unigene: 93966 Rat Important Note: This product as supplied is intended for research use only, not for use in human, therapeutic or diagnostic applications. 细胞膜受体(Membrane Receptors) c-erbB-2癌基因,在很多癌组织中呈C-erbB-2过度表达。cerbB尤其临床常用于乳腺癌术后C-erbB-2蛋白、雌激素受体(ER)和孕激素受体(PR)表达情况,旨在进一步探讨癌基因蛋白,细胞增殖活性和激素受体与乳腺癌组织学分级及术后生存期的关系,为乳腺癌的病理诊断、预后判断及治疗提供依据。 |
风险提示:丁香通仅作为第三方平台,为商家信息发布提供平台空间。用户咨询产品时请注意保护个人信息及财产安全,合理判断,谨慎选购商品,商家和用户对交易行为负责。对于医疗器械类产品,请先查证核实企业经营资质和医疗器械产品注册证情况。
技术资料暂无技术资料 索取技术资料
FITC标记的HER2抗体
¥2980









