相关产品推荐更多 >
万千商家帮你免费找货
0 人在求购买到急需产品
- 详细信息
- 文献和实验
- 技术资料
- 免疫原:
Recombinant funsion protein containing a sequence corresponding to amino acids 1-206 of human BLVRB (NP_000704.1).
- 亚型:
IgG
- 形态:
Liquid
- 保存条件:
Store as concentrated solution. Centrifuge briefly prior to opening vial. For short-term storage (1-2 weeks), store at 4ºC. For long-term storage, aliquot and store at -20ºC or below. Avoid multiple freeze-thaw cycles.
- 克隆性:
Polyclonal
- 标记物:
Unconjugated
- 适应物种:
Human
- 保质期:
12 months from the shipping date of the product.
- 抗原来源:
Human
- 目录编号:
GTX65958
- 级别:
Primary Antibodies
- 库存:
Available
- 供应商:
GeneTex
- 宿主:
Rabbit
- 应用范围:
WB, IHC-P
- 浓度:
Batch dependent (Please refer to the vial label for the specific concentration.)
- 靶点:
Flavin reductase
- 抗体英文名:
Flavin reductase antibody
- 抗体名:
Flavin reductase 抗体
- 规格:
100 μl
WB analysis of various sample lysates using GTX65958 Flavin reductase antibody.
Dilution : 1:1000
Loading : 25μg per lane
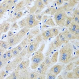
IHC-P analysis of human liver cancer tissue using GTX65958 Flavin reductase antibody.
Dilution : 1:100
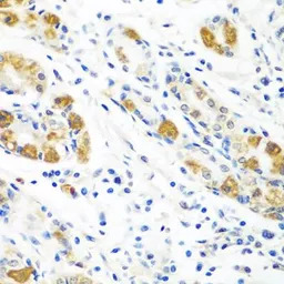
IHC-P analysis of human stomach tissue using GTX65958 Flavin reductase antibody.
Dilution : 1:100
风险提示:丁香通仅作为第三方平台,为商家信息发布提供平台空间。用户咨询产品时请注意保护个人信息及财产安全,合理判断,谨慎选购商品,商家和用户对交易行为负责。对于医疗器械类产品,请先查证核实企业经营资质和医疗器械产品注册证情况。
文献和实验Methods are described for the cellular localization of expression of flavin-containing monooxygenase (FMO) genes in various mouse tissues by in situ hybridization. These include the production of digoxigenin (DIG)-labeled antisense and sense
secondary antibody review -- data from 99 publications
cytometry used as a control to detect cell responses targeted antigen 7 Alexa Fluor 488 7 Cy3 8 goat IgG Alexa Fluor 488 1:2000 detect antibody binding in human embryonic kidney 293T cells Invitrogen 9 donkey
v468.Chapter 3 分泌型跨膜相关蛋白提纯及Wnt抑制活性
). 9. Secondary antibody to use with goat polyclonal reagent: donkeyanti-goat IgG-horseradish peroxidase (HRP) (sc-2056;Santa Cruz Biotechnology). 10. Secondary antibody to use with rabbit polyclonal reagent: donkey anti-rabbit IgG-HRP (#NA934V, GE
技术资料暂无技术资料 索取技术资料





![NSE antibody [AT17D10]](https://img1.dxycdn.com/2022/0328/839/7864098979070800453-14.jpg!wh200)

![CD63 antibody [MEM-259]](https://img1.dxycdn.com/2022/0328/339/6068651689820400453-14.jpg!wh200)



