相关产品推荐更多 >
万千商家帮你免费找货
0 人在求购买到急需产品
- 详细信息
- 技术资料
- 抗体名:
CK5+CK6 Rabbit Polyclonal Antibody抗体
- 抗体英文名:
CK5+CK6 Rabbit Polyclonal Antibody
- 靶点:
KRT5
- 浓度:
1mg/ml
- 应用范围:
FC, IF, IHC-Fr, IHC-P, WB
- 宿主:
Rabbit
- 适应物种:
Human, Mouse
- 保质期:
6-12个月
- 抗原来源:
详询
- 目录编号:
orb500804
- 级别:
科研级
- 库存:
88
- 供应商:
biorbyt
- 标记物:
Unconjugated
- 克隆性:
Polyclonal
- 形态:
Liquid
- 亚型:
IgG
- 免疫原:
KLH conjugated synthetic peptide derived from human CK5+CK6 (161-220/590aa)
- 规格:
50 ul
产品描述:CK5+CK6 Rabbit Polyclonal Antibody
别名:CK5+6; Cytokeratin 5+6; Cytokeratin 5; Keratin, type II cytoskeletal 5; CK-5; Keratin-5; K5; 58 kDa cytokeratin; KRT5; CK 5; DDD; EBS 2; EBS2; K5; Keratin 5(epidermolysis bullosa simplex Dowling-Meara/Kobner/Weber-Cockayne types); Keratin 5; Keratin Type II Cytoskeletal 5; Keratin5; KRT 5; KRT 5A; KRT5.KRT6A; CK6A; CK6B; CK6C; CK6D; CK 6E; K6A; K6C; K6D; KRT6C; Cytokeratin 6a; Cytokeratin 6B; Cytokeratin 6C; Cytokeratin 6D; Cytokeratin 6E; Cytokeratin6; k6a keratin; K6B; K6b keratin; K6c keratin; K6d keratin; K6e keratin; k6hf; Keratin 6 isoform K6e; Keratin 6C; Keratin 6E; Keratin K6h; Keratin type II cytoskeletal 6A; Keratin type II cytoskeletal 6B; Keratin type II cytoskeletal 6C; Keratin type II cytoskeletal 6D; Keratin type II cytoskeletal 6E; KRT6; KRT6A; KRT6B; KRT6C; KRT6D; KRT6E; MGC102925.
免疫原:KLH conjugated synthetic peptide derived from human CK5+CK6 (161-220/590aa)
预测反应性:Mouse
分子量:62/60 kDa
应用稀释比例:WB=1:500-2000, IHC-P=1:100-500, IHC-F=1:100-500, IF=1:100-500, Flow-Cyt=1μg/Test
防腐剂: 0.02% Proclin300, Constituents: 1% rAlbumin, 0.01M PBS, pH 7.4.
纯化:Affinity purified by Protein A
保存说明:Maintain refrigerated at 2-8°C for up to 2 weeks. For long term storage store at -20°C in small aliquots to prevent freeze-thaw cycles.
UniProt ID:P13647
Note:For research use only.





别名:CK5+6; Cytokeratin 5+6; Cytokeratin 5; Keratin, type II cytoskeletal 5; CK-5; Keratin-5; K5; 58 kDa cytokeratin; KRT5; CK 5; DDD; EBS 2; EBS2; K5; Keratin 5(epidermolysis bullosa simplex Dowling-Meara/Kobner/Weber-Cockayne types); Keratin 5; Keratin Type II Cytoskeletal 5; Keratin5; KRT 5; KRT 5A; KRT5.KRT6A; CK6A; CK6B; CK6C; CK6D; CK 6E; K6A; K6C; K6D; KRT6C; Cytokeratin 6a; Cytokeratin 6B; Cytokeratin 6C; Cytokeratin 6D; Cytokeratin 6E; Cytokeratin6; k6a keratin; K6B; K6b keratin; K6c keratin; K6d keratin; K6e keratin; k6hf; Keratin 6 isoform K6e; Keratin 6C; Keratin 6E; Keratin K6h; Keratin type II cytoskeletal 6A; Keratin type II cytoskeletal 6B; Keratin type II cytoskeletal 6C; Keratin type II cytoskeletal 6D; Keratin type II cytoskeletal 6E; KRT6; KRT6A; KRT6B; KRT6C; KRT6D; KRT6E; MGC102925.
免疫原:KLH conjugated synthetic peptide derived from human CK5+CK6 (161-220/590aa)
预测反应性:Mouse
分子量:62/60 kDa
应用稀释比例:WB=1:500-2000, IHC-P=1:100-500, IHC-F=1:100-500, IF=1:100-500, Flow-Cyt=1μg/Test
防腐剂: 0.02% Proclin300, Constituents: 1% rAlbumin, 0.01M PBS, pH 7.4.
纯化:Affinity purified by Protein A
保存说明:Maintain refrigerated at 2-8°C for up to 2 weeks. For long term storage store at -20°C in small aliquots to prevent freeze-thaw cycles.
UniProt ID:P13647
Note:For research use only.

Blank control (blue line): Hela (fixed with 70% ethanol (Overmight at 4°C) and then permeabilized with 90% ice-cold methanol for 30 min at -20°C). Primary Antibody (green line): Rabbit Anti-CK5+CK6 antibody (orb500804), dilution: 1 µg/10^6 cells, Isotype Control Antibody (orange line): Rabbit IgG. Secondary Antibody (white blue line): Goat anti-rabbit IgG-PE, dilution: 1 µg/Test.

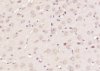
Fixative-fixed, paraffin embedded (mouse brain), Antigen retrieval by boiling in sodium citrate buffer (pH6.0) for 15 min, Block endogenous peroxidase by 3% hydrogen peroxide for 20 minutes, Blocking buffer (normal goat serum) at 37°C for 30 min, Antibody incubation with (CK5+CK6) Polyclonal Antibody, Unconjugated (orb500804) at 1:200 overnight at 4°C, followed by operating according to SP Kit (Rabbit) instructionsand DAB staining.

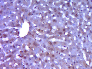
Fixative-fixed, paraffin embedded (Mouse liver), Antigen retrieval by boiling in sodium citrate buffer (pH6.0) for 15 min, Block endogenous peroxidase by 3% hydrogen peroxide for 20 minutes, Blocking buffer (normal goat serum) at 37°C for 30 min, Antibody incubation with (CK5+CK6) Polyclonal Antibody, Unconjugated (orb500804) at 1:400 overnight at 4°C, followed by operating according to SP Kit (Rabbit) instructionsand DAB staining.

Sample: Esophagus (Mouse) Lysate at 40 ug, Primary: Anti-CK5+CK6 (orb500804) at 1/300 dilution, Secondary: IRDye800CW Goat Anti-Rabbit IgG at 1/20000 dilution, Predicted band size: 62/60 kD, Observed band size: 62/60 kD.

Sample: HepG2 (Human) Cell Lysate at 30 ug, Primary: Anti-CK5+CK6 (orb500804) at 1/300 dilution, Secondary: IRDye800CW Goat Anti-Rabbit IgG at 1/20000 dilution, Predicted band size: 62/60 kD, Observed band size: 62/60 kD.
风险提示:丁香通仅作为第三方平台,为商家信息发布提供平台空间。用户咨询产品时请注意保护个人信息及财产安全,合理判断,谨慎选购商品,商家和用户对交易行为负责。对于医疗器械类产品,请先查证核实企业经营资质和医疗器械产品注册证情况。
技术资料暂无技术资料 索取技术资料
CK5+CK6 Rabbit Polyclonal Antibody抗体,orb500804,biorbyt
¥3120










