相关产品推荐更多 >
万千商家帮你免费找货
0 人在求购买到急需产品
- 详细信息
- 技术资料
- 库存:
100
- 细胞类型:
科研
- 品系:
详情请咨询我司客服
- 组织来源:
详情请咨询我司客服
- 物种来源:
鼠/人/其它
- 细胞形态:
上皮样/成纤维样/其它
- 器官来源:
详情请咨询我司客服
- 运输方式:
常温运输/干冰运输
- 年限:
详情请咨询我司客服
- 生长状态:
贴壁/悬浮
- 英文名:
MX-1
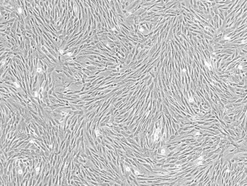
人乳腺癌细胞_MX-1细胞简介
细胞冻存方法:
待细胞生长状态良好时,可进行细胞冻存。贴壁细胞冻存时,弃去培养基后加入少量胰酶,细胞变圆脱落后,进行离心收集,1000RPM条件下离心5分钟,去除上清,按冻存数量加入血清及DMSO,冻存比例为90%FBS+10%DMSO。
一、注意:
我细胞库认为购买细胞的客户有培养细胞的经验,客户收到细胞后,严格按照本细胞培养条件更换完全培养基。如果因为客户缺少基本的细胞培养知识或培养条件而导致细胞各类问题,我库概不负责。对于因缺少细胞培养知识和时间,建议客户可联系我细胞库代为培养细胞和后续相关实验。
二、【产品来源】:主要来源ATCC、ScienCell、DSMZC以及少数国内外著名大学建系
1)请向客服咨询并索要说明书 谢谢!
2)有限细胞系与连续细胞系:
正常细胞通常只能分裂有限的次数,随后就会丧失增值的能力,这是一个由遗传决定的事件,被称为衰老;这种细胞系被称为有限细胞系。但是,一些细胞系会通过被称为转化的过程变为永生性细胞系,这一过程可自然发生,也可经化学或病毒诱导发生。有限细胞系发生转化获得无限分裂能力后,就成为连续细胞系。
三、细胞收到后处理:
人乳腺癌细胞_MX-1在培养瓶中培养至良好状态后灌满完全培养液并封好瓶口是细胞运输的最好办法。收到细胞回到自己的实验室后,先打开外包装,用75%酒精喷洒整个瓶消毒后放到超净台内,严格无菌操作。镜下观察:未超过80%汇合度时,可将瓶装的完全培养液移入废液缸中,原瓶(T25瓶)保留6-8ml完全培养液,悬浮细胞需离心处理,放入37℃、5%CO2孵箱培养;超过80%汇合度时,根据情况传代或者冻存,具体操作见细胞培养步骤。
四、培养条件:
各种细胞的培养条件相差很大,但是细胞培养的人工环境必须包括合适的容器,容器中含有一定的基质或介质,为细胞提供必需的营养素(氨基酸,碳水化合物,维生素,矿物质),生长因子,激素和气体(O2,CO2),并可调节其物理化学环境(PH,渗透压,温度)。大多数细胞均具有贴壁依赖性,必须贴附在固体或半固体基质上培养(贴壁或者单层培养),而另一下细胞则可在培养基中漂浮生长(悬浮培养)。
五、细胞培养步骤
1)复苏细胞:将含有1mL细胞悬液的冻存管在37℃水浴中迅速摇晃解冻,加入5mL培养基混合均匀。在1000RPM条件下离心5分钟,弃去上清液,补加1-2mL培养基后吹匀。然后将所有细胞悬液加入培养瓶中培养过夜(或将细胞悬液加入6cm皿中,加入约6ml培养基,培养过夜)。第二天换液并检查细胞密度。
2)细胞传代:如果细胞密度达80%-90%,即可进行传代培养。
1、对于贴壁细胞,传代可参考以下方法:
1. 弃去培养上清,用不含钙、镁离子的PBS润洗细胞1-2次。
2. 加2ml消化液(0.25%Trypsin-0.53mM EDTA)于培养瓶中,置于37℃培养箱中消化1-2分钟,然后在显微镜下观察细胞消化情况,若细胞大部分变圆并脱落,迅速拿回操作台,轻敲几下培养瓶后加少量培养基终止消化。
3. 按6-8ml/瓶补加培养基,轻轻打匀后吸出,在1000RPM条件下离心5分钟,弃去上清液,补加1-2mL培养液后吹匀。
4. 将细胞悬液按1:2到1:5的比例分到新的含8ml培养基的新皿中或者瓶中。
2、对于悬浮细胞,传代可参考以下方法:
方法一:收集细胞,1000RPM条件下离心5分钟,弃去上清液,补加1-2mL培养液后吹匀,将细胞悬液按1:2到1:5的比例分到新的含8ml培养基的新皿中或者瓶中。
方法二:可选择半数换液方式,弃去半数培养基后,将剩余细胞悬起,将细胞悬液按1:2到1:3的比例分到新的含8ml培养基的新皿中或者瓶中。
产品图片:

冻存:
如果传代时有多余的细胞,可通过适当的保护剂(列如:DMSO)处理细胞,储存在-130℃以下的温度下(冻存),直到需要使用之时。有关细胞传代培养和冻存的更多信息,请联系我司客户。
烜雅生物发布
质量可靠,售后有保障
注:由于细胞库现有细胞类目多,为了不出现混乱错误,需要了解相关细胞价格及详细资料请老师联系我们,对您造成的不便还请见谅!
如运输过程中导致细胞污染或者死亡,一周内我们将无条件补发
收货后十五个工作日内有其他问题提供照片可半价重发
人乳腺癌细胞_MX-1相关产品:
细胞冻存方法:
待细胞生长状态良好时,可进行细胞冻存。贴壁细胞冻存时,弃去培养基后加入少量胰酶,细胞变圆脱落后,进行离心收集,1000RPM条件下离心5分钟,去除上清,按冻存数量加入血清及DMSO,冻存比例为90%FBS+10%DMSO。
一、注意:
我细胞库认为购买细胞的客户有培养细胞的经验,客户收到细胞后,严格按照本细胞培养条件更换完全培养基。如果因为客户缺少基本的细胞培养知识或培养条件而导致细胞各类问题,我库概不负责。对于因缺少细胞培养知识和时间,建议客户可联系我细胞库代为培养细胞和后续相关实验。
二、【产品来源】:主要来源ATCC、ScienCell、DSMZC以及少数国内外著名大学建系
1)请向客服咨询并索要说明书 谢谢!
2)有限细胞系与连续细胞系:
正常细胞通常只能分裂有限的次数,随后就会丧失增值的能力,这是一个由遗传决定的事件,被称为衰老;这种细胞系被称为有限细胞系。但是,一些细胞系会通过被称为转化的过程变为永生性细胞系,这一过程可自然发生,也可经化学或病毒诱导发生。有限细胞系发生转化获得无限分裂能力后,就成为连续细胞系。
三、细胞收到后处理:
人乳腺癌细胞_MX-1在培养瓶中培养至良好状态后灌满完全培养液并封好瓶口是细胞运输的最好办法。收到细胞回到自己的实验室后,先打开外包装,用75%酒精喷洒整个瓶消毒后放到超净台内,严格无菌操作。镜下观察:未超过80%汇合度时,可将瓶装的完全培养液移入废液缸中,原瓶(T25瓶)保留6-8ml完全培养液,悬浮细胞需离心处理,放入37℃、5%CO2孵箱培养;超过80%汇合度时,根据情况传代或者冻存,具体操作见细胞培养步骤。
四、培养条件:
各种细胞的培养条件相差很大,但是细胞培养的人工环境必须包括合适的容器,容器中含有一定的基质或介质,为细胞提供必需的营养素(氨基酸,碳水化合物,维生素,矿物质),生长因子,激素和气体(O2,CO2),并可调节其物理化学环境(PH,渗透压,温度)。大多数细胞均具有贴壁依赖性,必须贴附在固体或半固体基质上培养(贴壁或者单层培养),而另一下细胞则可在培养基中漂浮生长(悬浮培养)。
五、细胞培养步骤
1)复苏细胞:将含有1mL细胞悬液的冻存管在37℃水浴中迅速摇晃解冻,加入5mL培养基混合均匀。在1000RPM条件下离心5分钟,弃去上清液,补加1-2mL培养基后吹匀。然后将所有细胞悬液加入培养瓶中培养过夜(或将细胞悬液加入6cm皿中,加入约6ml培养基,培养过夜)。第二天换液并检查细胞密度。
2)细胞传代:如果细胞密度达80%-90%,即可进行传代培养。
1、对于贴壁细胞,传代可参考以下方法:
1. 弃去培养上清,用不含钙、镁离子的PBS润洗细胞1-2次。
2. 加2ml消化液(0.25%Trypsin-0.53mM EDTA)于培养瓶中,置于37℃培养箱中消化1-2分钟,然后在显微镜下观察细胞消化情况,若细胞大部分变圆并脱落,迅速拿回操作台,轻敲几下培养瓶后加少量培养基终止消化。
3. 按6-8ml/瓶补加培养基,轻轻打匀后吸出,在1000RPM条件下离心5分钟,弃去上清液,补加1-2mL培养液后吹匀。
4. 将细胞悬液按1:2到1:5的比例分到新的含8ml培养基的新皿中或者瓶中。
2、对于悬浮细胞,传代可参考以下方法:
方法一:收集细胞,1000RPM条件下离心5分钟,弃去上清液,补加1-2mL培养液后吹匀,将细胞悬液按1:2到1:5的比例分到新的含8ml培养基的新皿中或者瓶中。
方法二:可选择半数换液方式,弃去半数培养基后,将剩余细胞悬起,将细胞悬液按1:2到1:3的比例分到新的含8ml培养基的新皿中或者瓶中。
产品图片:

冻存:
如果传代时有多余的细胞,可通过适当的保护剂(列如:DMSO)处理细胞,储存在-130℃以下的温度下(冻存),直到需要使用之时。有关细胞传代培养和冻存的更多信息,请联系我司客户。
烜雅生物发布
质量可靠,售后有保障
注:由于细胞库现有细胞类目多,为了不出现混乱错误,需要了解相关细胞价格及详细资料请老师联系我们,对您造成的不便还请见谅!
如运输过程中导致细胞污染或者死亡,一周内我们将无条件补发
收货后十五个工作日内有其他问题提供照片可半价重发
人乳腺癌细胞_MX-1相关产品:
| 人食管癌细胞 | KYSE510 |
| 人胃癌细胞系 | HS-746T |
| 人胃癌细胞 | BSG823 |
| 人胃粘膜细胞 | GES-1 |
| 人胃腺癌细胞 | MGC-803 |
| 人胃腺癌细胞 | MCG803 |
| 人低分化胃癌细胞 | BGC-823 |
| 人低分化胃癌细胞 | SGC7901 |
| 人耐VCR胃腺癌细胞 | SGC-7901/VCR |
| 人低分化胃癌细胞 | MKN-45 |
| 人未分化胃癌细胞 | HGC-27 |
| 人胃腺癌细胞 | AGS |
| 人胃腺癌细胞 | NCI-N87 |
| 人胃癌细胞 | MKN-28 |
| 人胃癌细胞 | (+)9811 |
| 人胃癌细胞 | 9811C11 |
| 绿色荧光蛋白标记人胃癌细胞 | MGC803-GFP |
风险提示:丁香通仅作为第三方平台,为商家信息发布提供平台空间。用户咨询产品时请注意保护个人信息及财产安全,合理判断,谨慎选购商品,商家和用户对交易行为负责。对于医疗器械类产品,请先查证核实企业经营资质和医疗器械产品注册证情况。
技术资料暂无技术资料 索取技术资料
人乳腺癌细胞_MX-1
¥600 - 2000








