相关产品推荐更多 >
万千商家帮你免费找货
0 人在求购买到急需产品
- 详细信息
- 技术资料
- 库存:
100
- 细胞类型:
科研
- 品系:
详情请咨询我司客服
- 组织来源:
详情请咨询我司客服
- 物种来源:
鼠/人/其它
- 细胞形态:
上皮样/成纤维样/其它
- 器官来源:
详情请咨询我司客服
- 运输方式:
常温运输/干冰运输
- 年限:
详情请咨询我司客服
- 生长状态:
贴壁/悬浮
- 英文名:
SPC-A1
人肺腺癌细胞_SPC-A1购买须知:
产品简介:
[品系] ……………………Human
[组织来源]………………详情请咨询
[生长状态]………………贴壁/悬浮
[细胞类型]………………详情请咨询
[疾病] ……………………正常
[应用] ……………………科研
生物安全:
不含有 HIV-1、 HBV、HCV、支原体、细菌、酵母和真菌等。
产品包装:
提供新鲜或者冻存的细胞
使用方法:
如是新鲜细胞,客户收到细胞后应立即将其放入CO2细胞培养箱内静置3-4个小时,再进行后续的实验操作;如是冻存细胞, 客户收到细胞后应立即将其放入液氮、-80℃冰箱或立即进行复苏。
细胞培养 :
(1)Getting Started with an ATCC Cell Line:
ATCC cell lines and hybridomas are shipped frozen on dry ice in cryopreservation vials or as growing
cultures in flasks at ambient temperature. Upon receipt of frozen cells, it is important to immediately revive
them by thawing and removing the DMSO and placing them into culture. If this is not possible, store the
cells in liquid nitrogen vapor (below −130°C). Do not store frozen cells at temperatures above −130°C as
their viability will decline rapidly.
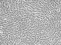
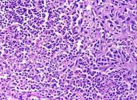
(2)细胞图片:

(3)Initiating Frozen Cultures:
1. Prepare a culture vessel so that it contains the recommended volume
of the appropriate culture medium as listed on the Product Sheet,
equilibrated for temperature and pH (CO₂).
2. Thaw the vial by gentle agitation in a water bath at 37°C or the normal growth temperature for that cell
line. Thawing should be rapid, approximately 2 minutes or until ice crystals have melted.
3. Remove the vial from the water bath and decontaminate it by dipping in or spraying with 70% ethanol.
Follow strict aseptic conditions in a laminar flow tissue culture hood for all further manipulations.
4. Unscrew the top of the vial and transfer the contents to a sterile
centrifuge tube containing 9 mL of the recommended medium.
Remove the cryoprotectant agent (DMSO) by gentle centrifugation (10
minutes at 125 × g). Discard the supernatant, and resuspend the cells
in 1 or 2 mL of complete growth medium. Transfer the cell suspension
into the culture vessel containing the complete growth medium and
mix thoroughly by gentle rocking.
Some ATCC cell, are shipped as growing cultures in culture vessels. These vessels are seeded with cells,
incubated to ensure cell growth and then filled completely with medium for shipping.
Upon receiving a flask culture, visually examine the medium for macroscopic evidence of microbial contamination. This includes
unusual pH shifts (yellow or purple color from the phenol red),
turbidity, or particles. With an inverted microscope at low power
(100×) check the medium for evidence of microbial contamination
as well as the morphology of the cells. See page 6 for more details
on examining cell cultures.
烜雅生物发布
质量可靠,售后有保障
如运输过程中导致细胞污染或者死亡,我们将无条件补发收货后十个工作日内有其他问题提供照片可半价重发
人肺腺癌细胞_SPC-A1相关产品:
产品简介:
[品系] ……………………Human
[组织来源]………………详情请咨询
[生长状态]………………贴壁/悬浮
[细胞类型]………………详情请咨询
[疾病] ……………………正常
[应用] ……………………科研
生物安全:
不含有 HIV-1、 HBV、HCV、支原体、细菌、酵母和真菌等。
产品包装:
提供新鲜或者冻存的细胞
使用方法:
如是新鲜细胞,客户收到细胞后应立即将其放入CO2细胞培养箱内静置3-4个小时,再进行后续的实验操作;如是冻存细胞, 客户收到细胞后应立即将其放入液氮、-80℃冰箱或立即进行复苏。
细胞培养 :
(1)Getting Started with an ATCC Cell Line:
ATCC cell lines and hybridomas are shipped frozen on dry ice in cryopreservation vials or as growing
cultures in flasks at ambient temperature. Upon receipt of frozen cells, it is important to immediately revive
them by thawing and removing the DMSO and placing them into culture. If this is not possible, store the
cells in liquid nitrogen vapor (below −130°C). Do not store frozen cells at temperatures above −130°C as
their viability will decline rapidly.
(2)细胞图片:

(3)Initiating Frozen Cultures:
1. Prepare a culture vessel so that it contains the recommended volume
of the appropriate culture medium as listed on the Product Sheet,
equilibrated for temperature and pH (CO₂).
2. Thaw the vial by gentle agitation in a water bath at 37°C or the normal growth temperature for that cell
line. Thawing should be rapid, approximately 2 minutes or until ice crystals have melted.
3. Remove the vial from the water bath and decontaminate it by dipping in or spraying with 70% ethanol.
Follow strict aseptic conditions in a laminar flow tissue culture hood for all further manipulations.
4. Unscrew the top of the vial and transfer the contents to a sterile
centrifuge tube containing 9 mL of the recommended medium.
Remove the cryoprotectant agent (DMSO) by gentle centrifugation (10
minutes at 125 × g). Discard the supernatant, and resuspend the cells
in 1 or 2 mL of complete growth medium. Transfer the cell suspension
into the culture vessel containing the complete growth medium and
mix thoroughly by gentle rocking.
5. Examine the cell cultures after 24 hours and subculture as needed.
(4)Processing Flask Cultures:Some ATCC cell, are shipped as growing cultures in culture vessels. These vessels are seeded with cells,
incubated to ensure cell growth and then filled completely with medium for shipping.
Upon receiving a flask culture, visually examine the medium for macroscopic evidence of microbial contamination. This includes
unusual pH shifts (yellow or purple color from the phenol red),
turbidity, or particles. With an inverted microscope at low power
(100×) check the medium for evidence of microbial contamination
as well as the morphology of the cells. See page 6 for more details
on examining cell cultures.
烜雅生物发布
质量可靠,售后有保障
如运输过程中导致细胞污染或者死亡,我们将无条件补发收货后十个工作日内有其他问题提供照片可半价重发
人肺腺癌细胞_SPC-A1相关产品:
| LTEP-a-2 | 肺腺癌 |
| MM96L | 黑色素瘤 |
| SH-77 | 小细胞肺癌 |
| J-111 | 单核细胞白血病 |
| NCI-H446 | 小细胞肺癌 |
| Dami | 巨核细胞 |
| SPC-A-1 | 肺腺癌 |
| CHMas | 肥大细胞白血病 |
| SGC-7901 | 胃腺癌 |
| HEL | 红细胞白血病 (Erythroleukemia) |
| BGC-823 | 低分化胃腺癌 |
| HL-60 | 原髓细胞白血病 (Promyelocytic lenukemia) |
| LoVo | 结肠腺癌 |
| Hut-78 | 皮肤T细胞淋巴瘤 |
| Ls-174-T | 结肠腺癌 |
风险提示:丁香通仅作为第三方平台,为商家信息发布提供平台空间。用户咨询产品时请注意保护个人信息及财产安全,合理判断,谨慎选购商品,商家和用户对交易行为负责。对于医疗器械类产品,请先查证核实企业经营资质和医疗器械产品注册证情况。
技术资料暂无技术资料 索取技术资料
人肺腺癌细胞_SPC-A1
¥600 - 2000









