相关产品推荐更多 >
万千商家帮你免费找货
0 人在求购买到急需产品
- 详细信息
- 文献和实验
- 技术资料
- 抗体名:
Histone H3K36me3 Antibody
- 抗体英文名:
Histone H3K36me3 Antibody
- 靶点:
详见说明书
- 浓度:
1.0mg/ml
- 应用范围:
WB IF ChIP
- 宿主:
Human Mouse Rat OtHumaneRat (Wide Ratange)
- 供应商:
上海钰博生物科技有限公司
- 库存:
大量
- 目录编号:
2514
- 抗原来源:
Human Mouse Rat OtHumaneRat (Wide Ratange)
- 保质期:
1年
- 适应物种:
详见说明书
- 标记物:
详见说明书
- 克隆性:
多克隆
- 保存条件:
Store at -20°C
- 形态:
液体或冻干粉
- 亚型:
详见说明书
- 免疫原:
详见说明书
- 规格:
50μg/50μl, 100μg/100μl
-
- Catalog No. : Yb--2514
- Size : 50μg/50μl, 100μg/100μl
-
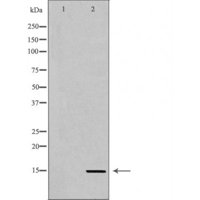
- Mol Weight : 15kDa
- UniProt : Q16695
-
- Isotype : Rabbit IgG
- Clonality : Polyclonal
-
- Price : $265/100μg
- Availability : Ship next day
Category
- Primary Antibodies
- Secondary antibody
- Loading control / tag antibody
Details
Alternative Names:
HIST1H3J; H3/j ;H3FJ ; Histone H3.1; Histone H3/a; Histone H3/b;Histone H3/c; Histone H3/d; Histone H3/f;Histone H3/h ; Histone H3/I;HistoneH3/j ;Histone H3/k; Histone H3/l;HIST3H3;
Application:
WB IF ChIP
Reactivity:
Human Mouse Rat OtHumaneRat (Wide Ratange)
Dilution:
WB 1:500–1:2000 IF 1:50–1:200 CHIP 1:50–1:200
![]() |
Western blot analysis of extracts of HeLa cellline and H3 protein expressed in E.coli., usingH3K36me3antibody|Dot-blot analysis of all sorts of methylation peptidesusingH3K36me3antibody|Immunofluorescence analysis of 293T cell usingH3K36me3 antibody. Blue |
Purification:
Affinity-chromatography
Specificity:
Histone H3K36me3 Antibody detects endogenous levels of total Histone H3K36me3
Immunogen:
A synthesized peptide derived from human Histone H3K36me3
Description:
Storage Condition and Buffer:
Rabbit IgG in phosphate buffered saline , pH 7.4, 150mM NaCl, 0.02% sodium azide and 50% glycerol. Store at +4°C short term. Store at -20°C long term. Avoid freeze / thaw cycle.
风险提示:丁香通仅作为第三方平台,为商家信息发布提供平台空间。用户咨询产品时请注意保护个人信息及财产安全,合理判断,谨慎选购商品,商家和用户对交易行为负责。对于医疗器械类产品,请先查证核实企业经营资质和医疗器械产品注册证情况。
文献和实验Identifying Differential Histone Modification Sites from ChIPseq Data
a hidden Markov model (HMM) to infer the states of histone modification changes at each genomic location. We evaluated the performance of ChIPDiff by comparing the H3K27me3 modification sites between mouse embryonic stem cell (ESC) and neural progenitor
upon the dual pulldown to incorporate a third pulldown which is an iteration of the ChIP and is a pulldown for H3K27me3+ (Figure 1b). The third assay described here is the biotin-RNA pulldown of a low-copy RNA that spans the siRNA targeted promoter region
9.19 Nature:揭示组蛋白标记 H3K36me2 招募 DNMT3A 并影响基因间 DNA 甲基化
中心、洛克菲勒大学和加拿大麦吉尔大学等研究机构的研究人员报道 NSD1 介导的 H3K36me2 是在基因间区域招募 DNMT3A 和维持 DNA 甲基化所必需的。这项新的研究揭示了一种跨染色质调节途径,这种调节突进将异常的基因间 CpG 甲基化与人类肿瘤生长和过度发育相关联在一起。原文检索:The histone mark H3K36me2 recruits DNMT3A and shapes the intergenic DNA methylation landscape ② Nature 突破
技术资料暂无技术资料 索取技术资料









