相关产品推荐更多 >
万千商家帮你免费找货
0 人在求购买到急需产品
- 详细信息
- 文献和实验
- 技术资料
- 免疫原:
Recombinant fusion protein containing a sequence corresponding to amino acids 178-292 of human AQP3 (NP_004916.1).
- 亚型:
IgG
- 形态:
Liquid
- 保存条件:
Store as concentrated solution. Centrifuge briefly prior to opening vial. For short-term storage (1-2 weeks), store at 4ºC. For long-term storage, aliquot and store at -20ºC or below. Avoid multiple freeze-thaw cycles.
- 克隆性:
Polyclonal
- 标记物:
Unconjugated
- 适应物种:
Human, Mouse, Rat
- 保质期:
12 months from the shipping date of the product.
- 抗原来源:
Human
- 目录编号:
GTX64481
- 级别:
Primary Antibodies
- 库存:
Available
- 供应商:
GeneTex
- 宿主:
Rabbit
- 应用范围:
WB, IHC-P
- 浓度:
Batch dependent (Please refer to the vial label for the specific concentration.)
- 靶点:
Aquaporin 3
- 抗体英文名:
Aquaporin 3 antibody
- 抗体名:
Aquaporin 3 抗体
- 规格:
100 μl
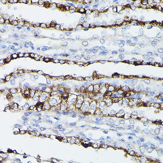
IHC-P analysis of rat kidney tissue using GTX64481 Aquaporin 3 antibody.
Blue : DAPI
Dilution : 1:100
IHC-P analysis of mouse kidney tissue using GTX64481 Aquaporin 3 antibody.
Dilution : 1:50
IHC-P analysis of mouse kidney tissue using GTX64481 Aquaporin 3 antibody.
Blue : DAPI
Dilution : 1:100
IHC-P analysis of rat kidney tissue using GTX64481 Aquaporin 3 antibody.
Dilution : 1:50
WB analysis of various sample lysates using GTX64481 Aquaporin 3 antibody. The signal was developed with ECL plus-Enhanced.
Dilution : 1:1000
Loading : 25μg per lane
风险提示:丁香通仅作为第三方平台,为商家信息发布提供平台空间。用户咨询产品时请注意保护个人信息及财产安全,合理判断,谨慎选购商品,商家和用户对交易行为负责。对于医疗器械类产品,请先查证核实企业经营资质和医疗器械产品注册证情况。
文献和实验Secretory Vesicle Swelling by Atomic Force Microscopy
secretory vesicles in exocrine pancreas, swell in response to GTP mediated by a G�i3 protein. Subsequently, our studies demonstrated that the water channel aquaporin-1 (AQP1) is also present at the zymogen granule membrane and participates in rapid GTP
PriCells: Introduction of Isolation and Culture of Human Alveolar Epithelial Cells
), differs significantly from that of the rodent proteins. Aquaporin-5 (AQP-5), a second ATI cell marker, is a member of the large family of aquaporin proteins, most of which are water channels. AQP-5 is a transmembrane protein of approx 27–34-kDa
Introduction to Atomic Force Microscopy (AFM) in Biology
. (). View Image Figure 17.7.6 High‐resolution topograph of a two‐dimensional crystal of the membrane protein aquaporin Z (AqpZ) using
技术资料暂无技术资料 索取技术资料






![SKP2 antibody [6G9D10]](https://img1.dxycdn.com/2022/0328/082/4863175021947500453-14.jpg!wh200)


![Myosin skeletal fast antibody [MY-32]](https://img1.dxycdn.com/2022/0328/672/9559029907488600453-14.jpg!wh200)

