相关产品推荐更多 >
万千商家帮你免费找货
0 人在求购买到急需产品
- 详细信息
- 文献和实验
- 技术资料
- 免疫原:
A synthetic peptide corresponding to a sequence within amino acids 1-100 of human IL3RA (NP_002174.1).
- 亚型:
IgG
- 形态:
Liquid
- 保存条件:
Store as concentrated solution. Centrifuge briefly prior to opening vial. For short-term storage (1-2 weeks), store at 4ºC. For long-term storage, aliquot and store at -20ºC or below. Avoid multiple freeze-thaw cycles.
- 克隆性:
Polyclonal
- 标记物:
Unconjugated
- 适应物种:
Human, Mouse, Rat
- 保质期:
12 months from the shipping date of the product.
- 抗原来源:
Human
- 目录编号:
GTX64388
- 级别:
Primary Antibodies
- 库存:
Available
- 供应商:
GeneTex
- 宿主:
Rabbit
- 应用范围:
WB, IHC-P
- 浓度:
Batch dependent (Please refer to the vial label for the specific concentration.)
- 靶点:
IL3 Receptor alpha
- 抗体英文名:
IL3 Receptor alpha antibody
- 抗体名:
IL3 Receptor alpha 抗体
- 规格:
100 μl
IHC-P analysis of rat lung tissue using GTX64388 IL3 Receptor alpha antibody.
Dilution : 1:100
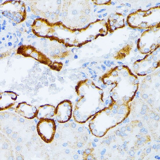
IHC-P analysis of mouse kidney tissue using GTX64388 IL3 Receptor alpha antibody.
Dilution : 1:100
WB analysis of A-549 cell lysate using GTX64388 IL3 Receptor alpha antibody.
Dilution : 1:1000
Loading : 25μg per lane
风险提示:丁香通仅作为第三方平台,为商家信息发布提供平台空间。用户咨询产品时请注意保护个人信息及财产安全,合理判断,谨慎选购商品,商家和用户对交易行为负责。对于医疗器械类产品,请先查证核实企业经营资质和医疗器械产品注册证情况。
文献和实验PPAR-Alpha Cloning, Expression, and Characterization
Peroxisome proliferator-activated receptor α (PPARα) is a member of the nuclear/steroid receptor gene superfamily that also comprises β, δ, and γ isoforms. PPARα is a ligand-activated transcription factor that plays
inflammatory immune responses mediated by classical macrophage activation can also be detrimental to the host. In contrast, the IL-4 receptor-alpha-mediated alternative pathway of macrophage activation has been proposed as a mechanism to attenuate excessive
In situ hybridisation to alpha satellite sequences (chromosome specific)
Alpha satellite sequences, whilst highly repetitive, are specific to each individual chromosome. These sequences flank the centromeres and can present a target measured in megabases. In this protocol a biotin or digoxigenin labelled DNA
技术资料暂无技术资料 索取技术资料










