相关产品推荐更多 >
万千商家帮你免费找货
0 人在求购买到急需产品
- 详细信息
- 文献和实验
- 技术资料
- 免疫原:
Recombinant Human TAG-72 protein.
- 亚型:
IgG1
- 形态:
Liquid
- 保存条件:
Store as concentrated solution. Centrifuge briefly prior to opening vial. Store at 4ºC. DO NOT FREEZE.
- 克隆性:
Monoclonal
- 标记物:
Unconjugated
- 适应物种:
Human
- 保质期:
12 months from the shipping date of the product.
- 抗原来源:
Human
- 目录编号:
GTX57198
- 级别:
Primary Antibodies
- 库存:
Available
- 供应商:
GeneTex
- 宿主:
Mouse
- 应用范围:
IHC-P
- 浓度:
Batch dependent (Please refer to the vial label for the specific concentration.)
- 靶点:
TAG72
- 抗体英文名:
TAG72 antibody [IHC072]
- 抗体名:
TAG72 抗体 [IHC072]
- 规格:
500 μl
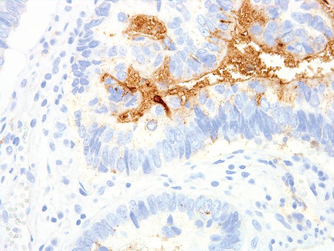
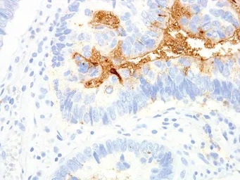
IHC-P analysis of human colon tissue using GTX57198 TAG72 antibody [IHC072]
风险提示:丁香通仅作为第三方平台,为商家信息发布提供平台空间。用户咨询产品时请注意保护个人信息及财产安全,合理判断,谨慎选购商品,商家和用户对交易行为负责。对于医疗器械类产品,请先查证核实企业经营资质和医疗器械产品注册证情况。
文献和实验Immunohistochemistry (IHC) of Thymus Frozen Sections
a slide from PBS and wipe edges of each slide with KimWipe to create a static barrier. Add 175 µL of 1º antibody to each slide. Cover with a lid x1hr. Rinse by dipping in 2 staing jars containing PBS. Soak in a 3rd PBS jar x5 min. Add 175
IHC frozen sections staining protocol
antibody. Glycine will bind free aldehyde groups that would otherwise bind the primary and secondary antibodies, leading to high background. Background due to free aldehyde groups is more likely to occur when the fixative is glutaraldehyde
(无)条带,如抗体无专一性则条带无变化举个例子,癌症免疫常用的 PD-L1 抗体,下图可看到 GTX104763 PD-L1 抗体,使用基因敲弱的细胞裂解液,WB 的条带会随之变弱,显示 GTX104763 抗体具有高特异性。GTX104763 还适合多种应用,包括 WB、ICC/IF、IHC-P(可达 1:1,000)、 IHC-Fr(可达 1:1,000),及多篇文献引用,为高敏、高特异性的可靠抗体工具。又如白血病标记物-CD44,CD44 参与介导细胞存活的迁移、增殖、分化和信号传导途径。GTX
技术资料暂无技术资料 索取技术资料










