相关产品推荐更多 >
万千商家帮你免费找货
0 人在求购买到急需产品
- 详细信息
- 文献和实验
- 技术资料
- 免疫原:
Recombinant Human PSAP protein.
- 亚型:
IgG1
- 形态:
Liquid
- 保存条件:
Store as concentrated solution. Centrifuge briefly prior to opening vial. Store at 4ºC. DO NOT FREEZE.
- 克隆性:
Monoclonal
- 标记物:
Unconjugated
- 适应物种:
Human
- 保质期:
12 months from the shipping date of the product.
- 抗原来源:
Human
- 目录编号:
GTX57196
- 级别:
Primary Antibodies
- 库存:
Available
- 供应商:
GeneTex
- 宿主:
Mouse
- 应用范围:
IHC-P
- 浓度:
Batch dependent (Please refer to the vial label for the specific concentration.)
- 靶点:
Prostatic Acid Phosphatase
- 抗体英文名:
Prostatic Acid Phosphatase antibody [IHC655]
- 抗体名:
Prostatic Acid Phosphatase 抗体 [IHC655]
- 规格:
500 μl
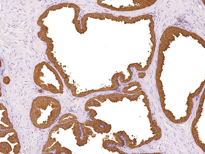
IHC-P analysis of human prostate tissue using GTX57196 Prostatic Acid Phosphatase antibody [IHC655]
风险提示:丁香通仅作为第三方平台,为商家信息发布提供平台空间。用户咨询产品时请注意保护个人信息及财产安全,合理判断,谨慎选购商品,商家和用户对交易行为负责。对于医疗器械类产品,请先查证核实企业经营资质和医疗器械产品注册证情况。
文献和实验In this chapter, our semtquantbiattve method of evaluation of btomarker expression is explained. Also, the use of nnrnunohistochemtstry (IHC) to characterize btomarker expression in neoplastic lesions of the prostate and colorectum is dtscussed. The use
takes place by means of an antibody (or, in the case of biotin, streptavidin) linked to an enzyme, such as alkaline phosphatase or horse-radish peroxidase, which is used to catalyze the detection reaction. A variety of haptens have been employed
ALKALINE PHOSPHATASE (APAAP) TECHNIQUE
. DO NOT DIFFERENTIATE IN ACID ALCOHOL. 26. Mount in an AQUEOUS MOUNTANT. Results --Nuclei Blue --Sites of alkaline phosphatase activity Red Substrate Solution Naphthol-AS-MX phosphatase, free acid (Sigma N 4875) 2 mg N,N-Dimethyl formamide
技术资料暂无技术资料 索取技术资料





![Aldolase C antibody [AT2E11]](https://img1.dxycdn.com/2022/0328/710/2769849842360800453-14.jpg!wh200)
![CTIP2 antibody [ARC2329]](https://custom.dxycdn.com/trademd/upload/pic/2013/11/12/A1383891150.jpg!small.t.1)

![CD34 antibody [MEC14.7] (PE)](https://img1.dxycdn.com/2022/0328/639/9055071590274500453-14.gif!wh200)


