相关产品推荐更多 >
万千商家帮你免费找货
0 人在求购买到急需产品
- 详细信息
- 文献和实验
- 技术资料
- 免疫原:
Recombinant PD-L1 protein.
- 亚型:
IgG
- 形态:
Liquid
- 保存条件:
Store as concentrated solution. Centrifuge briefly prior to opening vial. Store at 4ºC. DO NOT FREEZE.
- 克隆性:
Monoclonal
- 标记物:
Unconjugated
- 适应物种:
Human
- 保质期:
12 months from the shipping date of the product.
- 抗原来源:
Human
- 目录编号:
GTX57193
- 级别:
Primary Antibodies
- 库存:
Available
- 供应商:
GeneTex
- 宿主:
Rabbit
- 应用范围:
ICC/IF, IHC-P
- 浓度:
Batch dependent (Please refer to the vial label for the specific concentration.)
- 靶点:
PD-L1
- 抗体英文名:
PD-L1 antibody [IHC411]
- 抗体名:
PD-L1 抗体 [IHC411]
- 规格:
500 μl
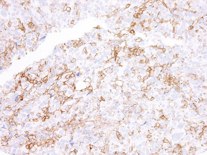
IHC-P analysis of human lung tissue using GTX57193 PD-L1 antibody [IHC411]
风险提示:丁香通仅作为第三方平台,为商家信息发布提供平台空间。用户咨询产品时请注意保护个人信息及财产安全,合理判断,谨慎选购商品,商家和用户对交易行为负责。对于医疗器械类产品,请先查证核实企业经营资质和医疗器械产品注册证情况。
文献和实验Chia-ChengLin et al., Journal of Dental Sciences 2019 (Epub)
, Abcam) 的 IHC 染色信号越强,则使用 OPDIVO 所获得的总体生存率(OS)越高。PD-L1 阳性表达组(≥1%)的总体生存率较之 PD-L1 阴性表达组(<1%)有显著提升。当 PD-L1 的表达水平更高时(≥5%,≥10%),相应患者的死亡风险分别降低 57% 和 60%。而对于 Docetaxel(化学抗癌药)的使用,PD-L1 的表达与总体生存率并无显著相关性[9]。图 3:NSCLS 患者对 OPDIVO 药效(总生存期 OS)与 PD-L1 的表达呈正相关[9]实例 22017
了相应的伴随/补充诊断抗体:28-8、22C3、SP142、SP263(克隆号,其中 Bavencio 无指定 PD-L1 诊断抗体)这 4 个 PD-L1 单抗,用于 PD-L1 表达水平的 IHC 检测[2]。国际肺癌研究协会(IASLC)牵头发起的 Blueprint 1项目对上述 4 种 PD-L1 IHC 检测克隆进行了比较。28-8(ab205921,Abcam)、22C3 和 SP263 显示出相似的肿瘤细胞阳性染色百分比,而 SP142(ab228462,Abcam)相对特殊,相较
「神药」再显威!杨黄浩等让二甲双胍扮演 PD-L1 「单抗」角色,提高治疗效果
ICBs 的抗肿瘤效果。 该研究成果以 Reducing PD-L1 expression with a self-assembled nanodrug: an alternative to PD-L1 antibody for enhanced chemo-immunotherapy. 为题,发表在了 2021 年 1 月 1 日的 Theranostics 上 [1]。 图片来源:Theranostics 研究内容:此前有研究报道,二甲双胍可以抑制肿瘤进展,改善癌症患者的预后和生存率。此外,也有研
技术资料暂无技术资料 索取技术资料







![TCR alpha + TCR beta antibody [R73] (PE)](https://img1.dxycdn.com/2022/0329/230/8900402633636020453-14.gif!wh200)
![gamma Catenin antibody [C2C3], C-term](https://img1.dxycdn.com/2022/0328/433/2376465730520300453-14.jpg!wh200)


