相关产品推荐更多 >
万千商家帮你免费找货
0 人在求购买到急需产品
- 详细信息
- 文献和实验
- 技术资料
- 免疫原:
Recombinant fusion protein containing a sequence corresponding to amino acids 1-180 of human ENTPD1 (NP_001157655.1).
- 亚型:
IgG
- 形态:
Liquid
- 保存条件:
Store as concentrated solution. Centrifuge briefly prior to opening vial. For short-term storage (1-2 weeks), store at 4ºC. For long-term storage, aliquot and store at -20ºC or below. Avoid multiple freeze-thaw cycles.
- 克隆性:
Polyclonal
- 标记物:
Unconjugated
- 适应物种:
Human, Mouse, Rat
- 保质期:
12 months from the shipping date of the product.
- 抗原来源:
Human
- 目录编号:
GTX57161
- 级别:
Primary Antibodies
- 库存:
Available
- 供应商:
GeneTex
- 宿主:
Rabbit
- 应用范围:
WB, ICC/IF, IHC-P
- 浓度:
Batch dependent (Please refer to the vial label for the specific concentration.)
- 靶点:
CD39
- 抗体英文名:
CD39 antibody
- 抗体名:
CD39 抗体
- 规格:
100 μl
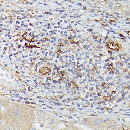
IHC-P analysis of human liver using GTX57161 CD39 antibody.
Dilution : 1:25
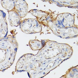
IHC-P analysis of human placenta using GTX57161 CD39 antibody.
Dilution : 1:25
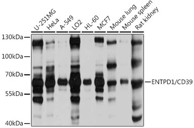
WB analysis of various sample lysates using GTX57161 CD39 antibody.
Dilution : 1:1000
Loading : 25μg per lane
ICC/IF analysis of Raw264.7 cells using GTX57161 CD39 antibody.
Blue : DAPI
Dilution : 1:100
ICC/IF analysis of THP-1 cells using GTX57161 CD39 antibody.
Blue : DAPI
Dilution : 1:100
IHC-P analysis of human placenta tissue using GTX57161 CD39 antibody.
Blue : DAPI
Dilution : 1:100
WB analysis of various sample lysates using GTX57161 CD39 antibody.
Dilution : 1:1000
Loading : 25μg per lane
风险提示:丁香通仅作为第三方平台,为商家信息发布提供平台空间。用户咨询产品时请注意保护个人信息及财产安全,合理判断,谨慎选购商品,商家和用户对交易行为负责。对于医疗器械类产品,请先查证核实企业经营资质和医疗器械产品注册证情况。
文献和实验CD39 分子 CD39 常用单克隆抗体或代号: AC2,G28- 10 主要表达细胞: Ta,FDC,B,En [B] 分子质量(kDa)和结构: gp78 功 能: 可能介导B细胞粘附、信号转导 CD39 Aka vascular ATP diphosphohydrolase Plasma membrane-bound enzyme that hydrolyzes
Generation of Antibody Molecules Through Antibody Engineering
been overcome to a large extent using genetic-engineering techniques to produce chimeric mouse/human and completely human antibodies. Such an approach is particularly suitable because of the domain structure of the antibody molecule ( 2 ), where functional
Quantitation of CD39 Gene Expression in Pancreatic Tissue by Real-Time Polymerase Chain Reaction
are discussed. We chose qRT-PCR analysis of CD39 in pancreatic tissue as an example that is applicable to any gene of interest. CD39/ecto-nucleoside triphosphate diphosphohydrolase-type-1 (ENTPD1) is the dominant vascular ecto-nucleotidase that hydrolyzes
技术资料暂无技术资料 索取技术资料









![CD31 antibody [MEM-05] (APC)](https://img1.dxycdn.com/2022/0328/984/0288643416316500453-14.jpg!wh200)

