相关产品推荐更多 >
万千商家帮你免费找货
0 人在求购买到急需产品
- 详细信息
- 询价记录
- 文献和实验
- 技术资料
- 免疫原:
This antibody was developed against a portion of amino acids 100-200 of human TLR4 (NP_612564).
- 亚型:
IgG2b
- 形态:
Liquid
- 保存条件:
Store as concentrated solution. Centrifuge briefly prior to opening vial. For short-term storage (1-2 weeks), store at 4ºC. For long-term storage, aliquot and store at -20ºC or below. Avoid multiple freeze-thaw cycles.
- 克隆性:
Monoclonal
- 标记物:
Unconjugated
- 适应物种:
Human, Mouse, Rat, Bovine, Hamster, Pig, Baboon
- 保质期:
12 months from the shipping date of the product.
- 抗原来源:
Human
- 目录编号:
GTX57153
- 级别:
Primary Antibodies
- 库存:
Available
- 供应商:
GeneTex
- 宿主:
Mouse
- 应用范围:
WB, ICC/IF, IHC-P, IHC-Fr, FACS, ChIP assay, in vitro, MS
- 浓度:
1 mg/ml (Please refer to the vial label for the specific concentration.)
- 靶点:
TLR4
- 抗体英文名:
TLR4 antibody [76B357.1]
- 抗体名:
TLR4 抗体 [76B357.1]
- 规格:
100 μg
WB analysis of (A) human (B) mouse, and (C) rat intestine tissue lysate using GTX57153 TLR4 antibody [76B357.1].
Dilution : 2 μg/ml(A) ; 6μg/ml(B and C)
FACS analysis of human monocyte-derived dendritic cells using GTX57153 TLR4 antibody [76B357.1].
Blue : Primary antibody
Green : negative control
Black : unstained cells
Dilution : 1:200
IHC-P analysis of rat salivary gland tissue using GTX57153 TLR4 antibody [76B357.1].
Dilution : 1:100
IHC-P analysis of human small intestine malignant stromal tumor tissue using GTX57153 TLR4 antibody [76B357.1].
Dilution : 5 μg/ml
FACS analysis of THP-1 cells using GTX57153 TLR4 antibody [76B357.1].
Blue : Isotype control
Green : Primary antibody
Antibody amount : 2 μg10^6 cells
FACS (Intracellular staining) analysis of Jurkat cells using GTX57153 TLR4 antibody [76B357.1].
Blue : Primary antibody
Orange : isotype control
Dilution : 2.5 μg/ml
Fixation : 4% PFA
Permibilization : 0.1% saponin
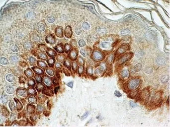
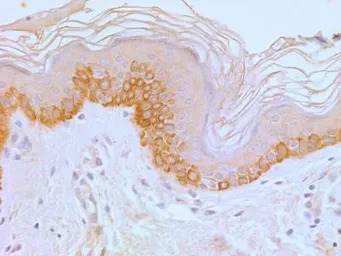
IHC-P analysis of human skin tissue using GTX57153 TLR4 antibody [76B357.1].
Dilution : 5 μg/ml
IHC-P analysis of human colon tissue using GTX57153 TLR4 antibody [76B357.1].
TOP : isotype control
Bottom : primary antibody
Dilution : 5 μg/ml
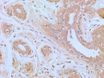
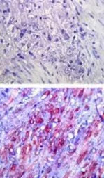
IHC-P analysis of human breast tissue using GTX57153 TLR4 antibody [76B357.1].
Dilution : 5 μg/ml
FACS analysis of human peripheral blood mononuclear cell (PBMC) using GTX57153 TLR4 antibody [76B357.1]. Cells were co-stained with anti-CD14 antibody. CD14+ cells were gated for analysis.
Left : Isotype control
Right : Primary antibody
Antibody amount : 1μg
FACS analysis of mouse splenocytes using GTX57153 TLR4 antibody [76B357.1].
Red : Primary antibody
Green : isotype control
Shaded histogram : cell only
Antibody amount : 0.5 μg/10^6 cells
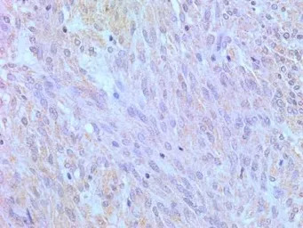
IHC-P analysis of human esophageal squamous cell carcinoma (SCC) tissue using GTX57153 TLR4 antibody [76B357.1].
Dilution : 5 μg/ml
IHC-P analysis of human skin tissue using GTX57153 TLR4 antibody [76B357.1].
Dilution : 5 μg/ml
Antigen retrieval : 10 mM sodium citrate buffer, pH 6.0
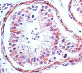
IHC-P analysis of human testis tissue using GTX57153 TLR4 antibody [76B357.1].
Dilution : 5 μg/ml
风险提示:丁香通仅作为第三方平台,为商家信息发布提供平台空间。用户咨询产品时请注意保护个人信息及财产安全,合理判断,谨慎选购商品,商家和用户对交易行为负责。对于医疗器械类产品,请先查证核实企业经营资质和医疗器械产品注册证情况。
- 作者
- 内容
- 询问日期
文献和实验Liu X et al., Mol Pain 2023 (PMID:36733260)
Karpova T et al., Life Sci 2020 (PMID:32001267)
secondary antibody review -- data from 99 publications
whether any cell surface DFz2 had been internalized 4 flow cytometry localize of GPR30 in the endoplasmic reticulum 5 rhodamine immunocytochemistry detect kaposin B in SLK endothelial cells 6 IgG IgG2b Alexa Fluor 647 flow
祝贺〖雅裕睿安〗成为Signalway Antibody(SAB)独家
权归 Signalway Antibody 上海独家代理商 〖上海雅裕 〗 所有 ☆☆☆ 代理商在发送订单时,请务必在订单上注明所选择的促销代码。 【 B 】 买 2 送 1 活动时间:即日起,至 2011 年 12 月 31 日 促销代码: 201101SAB 买 2 支
The production of monoclonal antibody by hybridoma
The production of monoclonal antibody by hybridoma fusion: Immortalization of sensitized B lymphocytes from immune mice. Overview
技术资料暂无技术资料 索取技术资料





![CD20 antibody [rIGEL/773]](https://img1.dxycdn.com/2022/0328/938/6571144889310700453-14.jpg!wh200)


![ADAMTS5 antibody [N3C2], Internal](https://img1.dxycdn.com/2022/0328/265/1963105374954300453-14.jpg!wh200)

