万千商家帮你免费找货
0 人在求购买到急需产品
- 详细信息
- 文献和实验
- 技术资料
- 靶点:
Synapsin II
- 克隆性:
多克隆
- 抗体英文名:
Anti-Synapsin II
- 抗体名:
神经突触素2抗体
- 免疫原:
KLH conjugated synthetic peptide derived from human Synapsin II
- 亚型:
IgG
- 形态:
冻干或液体
- 应用范围:
WB,ELISA,IP,ICC等
- 浓度:
1mg/1ml
- 保存条件:
-20 °C
- 规格:
0.2ml/100μg
英文名称 神经突触素2抗体
中文名称 Anti-Synapsin II
别 名 SYN 2; SYN II; SYN IIa; SYN IIb; SYN2; Synapsin 2; Synapsin II isoform IIa; Synapsin II isoform IIb; Synapsin2; SynapsinII; SYNII; SYNIIa; SYNIIb; SYN2_HUMAN.
浓 度 1mg/1ml
规 格 0.2ml/100μg
抗体来源 Rabbit
克隆类型 polyclonal
交叉反应 Human, Mouse, Rat, Dog, Cow, Horse, Sheep
产品类型 一抗
研究领域 细胞生物 免疫学 神经生物学 信号转导 转录调节因子 细胞表面分子
蛋白分子量 predicted molecular weight:63kDa
性 状 Lyophilized or Liquid
免 疫 原 KLH conjugated synthetic peptide derived from human Synapsin II
亚 型 IgG
纯化方法 affinity purified by Protein A
储 存 液 0.01M PBS, pH 7.4 with 10 mg/ml BSA and 0.1% Sodium azide
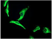
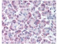
产品应用 WB=1:100-500 ELISA=1:500-1000 IP=1:20-100 IHC-P=1:100-500 IHC-F=1:100-500 IF=1:100-500
神经突触素2抗体订购说明:
| 价格 | 价格以市场走向为准,准确的报价还请客户向我们咨询; |
| 供应 | 我司产品一般都是现货直销,但不排除供应紧张的情况,无论新老客户,提前订购,都能够百分百获得新出厂的批次; |
| 运输 | 支持快递包邮,当天下单即可当天发货; |
| 售后 | 我司提供周到的售后服务,支持退换货,后期如遇技术难题,还可获取我司的技术咨询和帮助。 |
几种抗体概述:
1.抗角蛋白抗体(AKA),又称为抗丝集蛋白抗体或抗角质层抗体。AKA是类风湿关节炎早期诊断和判断预后的指标之一,其对RA患者的诊断的特异性为94% ,而其敏感性为47% ,并是一种鉴别RA和与多发性关节炎相关的丙型肝炎患者的有效检验标记物。
2.抗核周因子( APF), 是定位于口腔黏附膜细胞胞质内的颗粒性蛋白复合物。可在RA患者的血清和关节液中测出,与性别、年龄无关。APF显示了较强的特异性(73%~99%)和敏感性。用间接免疫荧光法检测,方法精密度较差。
3.抗环瓜氨酸肽抗体(CCP),具有相对好的敏感度和特异性。其实,抗核周因子和抗角蛋白抗体,与CCP在化学结构上具有相关性,它们的表位都含有瓜氨酸,称为瓜氨酸相关自身免疫系统。
神经突触素2抗体实验流程:
公司还提供:
颗粒酶A抗体
颗粒酶D/B/E/N/G/F/H抗体
肿瘤转移抑制基因GDIA2抗体
肿瘤转移抑制基因GDIA1抗体
乙二醛酶1抗体
核呼吸因子2抗体
生殖细胞样蛋白1样蛋白抗体
γ1氨基丁酸受体GABAA Rβ1抗体
干扰素/维甲酸诱导凋亡相关基因抗体
磷酸化接头蛋白Gab 2抗体
磷酸化接头蛋白Gab2抗体
甘油激酶3抗体
神经突触素2抗体椭圆酿酒酵母 Saccharomyces cerevisiae var.ellipsoideus马克斯克鲁维酵母 Kluyveromyces marxianus
自养黄色杆菌 Xanthobacter autotrophicus松口蘑 Tricholoma matsutake
BT-20(人腺细胞)小鼠卵巢成纤维细胞完全培养基
地衣芽孢杆菌 Bacillus licheniformis大鼠肾动脉内皮细胞完全培养基
三叶草根瘤菌 Rhizobium trifolii土壤杆菌属 Agrobacterium sp.
SW 1353(人骨肉瘤细胞)产油油脂酵母 Lipomyces lipofer
植物杆菌 Lactobacillus plantarumKU812(人外周血嗜碱性白血病细胞)
暗鳞白鬼伞 Leucocoprinus bresadolae台湾根霉 Rhizopus formosensis
风险提示:丁香通仅作为第三方平台,为商家信息发布提供平台空间。用户咨询产品时请注意保护个人信息及财产安全,合理判断,谨慎选购商品,商家和用户对交易行为负责。对于医疗器械类产品,请先查证核实企业经营资质和医疗器械产品注册证情况。
文献和实验人抗磷脂酶A2抗体(Anti-PLA2R)酶联免疫分析(ELISA)
人 抗磷脂酶 A2 抗体( Anti-PLA2R ) 酶联免疫分析( ELISA ) 试剂盒使用说明书 本试剂盒仅供研究使用。 使用目的: 本试剂盒用于测定人血清,血浆及相关液体样本中 抗磷脂酶 A2 抗体( Anti-PLA2R ) 含量。 实验原理 本试剂盒应用间接法测定标本中人 抗磷脂酶 A2 抗体( Anti-PLA2R ) 水平。用纯化的抗原包被微孔板,制成固相抗原,往包被单抗的微孔
人乙型肝炎病毒前S2抗体(HBV preS2Ab)酶联免疫分析
人 乙型肝炎病毒前S2抗体(HBV preS2Ab) 酶联免疫 分析( ELISA ) 试剂 盒使用说明书 本试剂仅供研究使用 目的:本试剂盒用于测定人血清,血浆,组织液及相关液体样本中 乙型肝炎病毒前S2抗体(HBV preS2Ab)的 含量。 实验原理 : 本试剂盒应用双 抗原 夹心法测定 标本 中 人 乙型肝炎病毒前S2 抗体 (HBV preS2Ab) 水平。用纯化的 抗原 包被微孔板,制成固相 抗原 ,往包被单抗的微孔中依次
·1、目的 用于体外、肉眼观察、定性的免疫分析,监测血清或血浆中的HIV-1和HIV-2抗体,用于帮助测受感染个体的HIV-1和HIV-2抗体。本品测阳性者,需进一步确证。 2、原理 利用双抗原夹心法测HIV抗体。标本加入反应板,若标本中含有HIV抗体时,先与金标抗原反应,形成抗体-金标抗体复合物,在虹吸作用下向前移动,遇到包被抗原形成抗原-抗体-金标抗原复合物,并出现红色沉淀线。包被膜上同时有一条质控包被线作为对照,所以当出现一条红色质控线和一条(或两条)红色反应线时判断
技术资料暂无技术资料 索取技术资料










