万千商家帮你免费找货
0 人在求购买到急需产品
- 详细信息
- 技术资料
- 供应商:
上海莼试
- 库存:
大量
- 靶点:
FBXW5
- 克隆性:
多克隆
- 抗体英文名:
Anti-FBXW5
- 抗体名:
FBXW5蛋白抗体
- 标记物:
HRP等
- 宿主:
鼠,牛,马,兔,羊等
- 适应物种:
Human, Mouse, Rat等
- 亚型:
IgG
- 形态:
液体或固体
- 应用范围:
WB IHC-P IHC-F IF
- 浓度:
10mg/ml
- 保存条件:
密封保存
- 规格:
100ul
产品名称:FBXW5蛋白抗体
英文名称:Anti-FBXW5
库存地:上海库
货期:现货
价格:以咨询为准!
用途:仅供高校实验室以及科研单位使用
公司优势:
1.拥有一批专业高效的团队,专门解决客户在实验过程中遇到的各种难题;
2.多年的应用经验积累;
3. FBXW5蛋白抗体规格牌号齐全,满足不同客户的使用需求;
4.库存充足,供货周期短,能解决客户的急需问题;
5.我们秉承诚信至上、务实做事的信条,是客户值得信赖的合作伙伴。
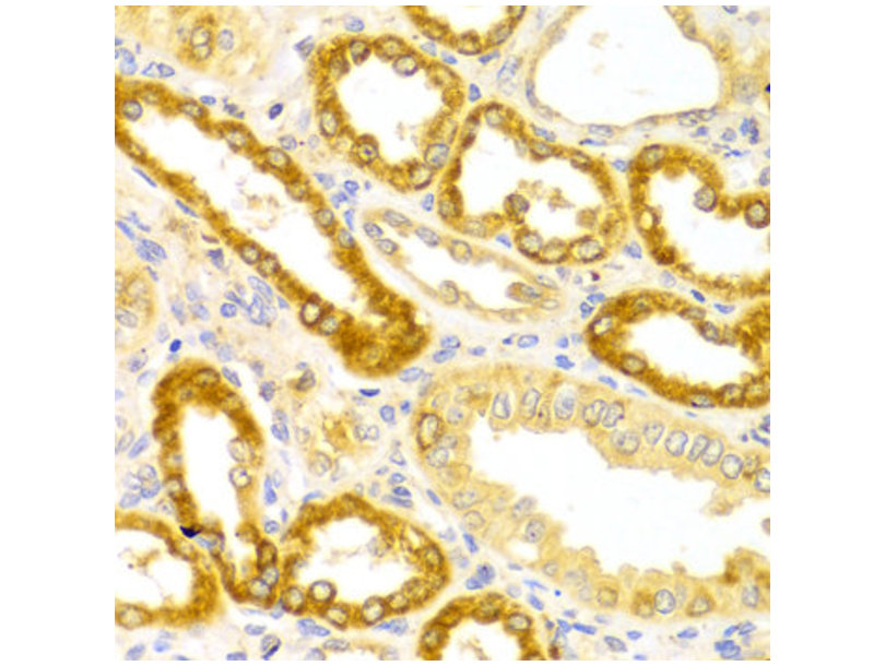
免疫组化结果分析:
1、首先要确定免疫组化技术是否合格,合格的染色结果应该是背景颜色浅淡或无着色,而阳性标志物清晰和定位明确。
切片中的正常组织可以作为最简便的对照来判断染色结果的可靠与否,例如用Vimentin抗体,间质成纤维细胞利血管壁平滑肌细胞胞浆应呈阳性。肯定为阳性的对照组织却呈阴性,待测组织的染色结果也就不可靠;这现象常是由于抗体失效或过度稀释、组织中抗原严重丢失等。
2、不仅要判断所检组织中有或无阳性标记物,还要注意阳性信号的分布部位和形态特征。
一般说来,阳性信号应与被测抗原所在的部位一致,大部分细胞抗原位于胞质内,其中亦有区别,有的阳性颗粒弥散于整个细胞的胞质,有的则呈斑块状局限于胞浆某处。还有些抗原同时分布于胞质和胞膜(如胃肠腺癌细胞的EMA),或核与胞质(如S-100、HMB-45)。同一种抗原在不同类型的细胞可定位不同,因而分布的特点也有一定的鉴别意义。
FBXW5蛋白抗体相关的其他优势产品:
低分子量神经丝蛋白抗体
中分子量神经丝蛋白抗体
细胞核因子p50/k基因结合核因子抗体
神经生长因子β抗体
鼻咽癌细胞相关基因6抗体
磷酸化FANCD2抗体
范可尼贫血相关蛋白E抗体
范可尼贫血相关蛋白M抗体
软骨细胞Ezrin样蛋白抗体
慢性粒细胞白血病33抗体
E3泛素蛋白连接酶EDD抗体 Anti-UBR5 100ul
胚胎外胚层发育蛋白EED抗体 Anti-EED 100ul
转录接头蛋白EP300抗体 Anti-KAT3B/Ep300 100ul
内皮脂肪酶抗体 Anti-Endothelial lipase 100ul
MYC启动子结合蛋白1抗体 Anti-ENO1 100ul
安曲南 Azeonam 78110-38-0 100mg
重楼皂苷IIPcrispolyphyllcscponinII7696/7/2HPLC≥98%;20mg/vial
紫丁香苷;紫丁香酚苷,刺五加苷B Syringin 118-34-3 20mg HPLC≥98% 用于含量测定,药理科研
对照品司可钠171223-200402鉴别检查
橘红素;蜜桔素,桔皮素;5,6,7,8,4'-五甲氧基黄酮 Tangeretin 481-53-8 20mg HPLC≥98% 用于含量测定
FBXW5蛋白抗体马来酸罗格列酮 Rosiglitazone meleete 100mg
二轻槲皮速Twoxy7nogenquercetin480-18-20mg
1,7-Diepi-8,15-cedranediol 1,7-二表-8,15-柏木烷二醇 40768-81-8
Propafenone xy7nochloride 盐酸普罗帕酮标准品34183-22-7 200mg盐酸普罗帕酮标准品
磷酸川芎嗪;Teametxylpyr 1124-11-4 20mg 订购|咨询
英文名称:Anti-FBXW5
库存地:上海库
货期:现货
价格:以咨询为准!
用途:仅供高校实验室以及科研单位使用
公司优势:
1.拥有一批专业高效的团队,专门解决客户在实验过程中遇到的各种难题;
2.多年的应用经验积累;
3. FBXW5蛋白抗体规格牌号齐全,满足不同客户的使用需求;
4.库存充足,供货周期短,能解决客户的急需问题;
5.我们秉承诚信至上、务实做事的信条,是客户值得信赖的合作伙伴。
免疫组化结果分析:
1、首先要确定免疫组化技术是否合格,合格的染色结果应该是背景颜色浅淡或无着色,而阳性标志物清晰和定位明确。
切片中的正常组织可以作为最简便的对照来判断染色结果的可靠与否,例如用Vimentin抗体,间质成纤维细胞利血管壁平滑肌细胞胞浆应呈阳性。肯定为阳性的对照组织却呈阴性,待测组织的染色结果也就不可靠;这现象常是由于抗体失效或过度稀释、组织中抗原严重丢失等。
2、不仅要判断所检组织中有或无阳性标记物,还要注意阳性信号的分布部位和形态特征。
一般说来,阳性信号应与被测抗原所在的部位一致,大部分细胞抗原位于胞质内,其中亦有区别,有的阳性颗粒弥散于整个细胞的胞质,有的则呈斑块状局限于胞浆某处。还有些抗原同时分布于胞质和胞膜(如胃肠腺癌细胞的EMA),或核与胞质(如S-100、HMB-45)。同一种抗原在不同类型的细胞可定位不同,因而分布的特点也有一定的鉴别意义。
FBXW5蛋白抗体相关的其他优势产品:
低分子量神经丝蛋白抗体
中分子量神经丝蛋白抗体
细胞核因子p50/k基因结合核因子抗体
神经生长因子β抗体
鼻咽癌细胞相关基因6抗体
磷酸化FANCD2抗体
范可尼贫血相关蛋白E抗体
范可尼贫血相关蛋白M抗体
软骨细胞Ezrin样蛋白抗体
慢性粒细胞白血病33抗体
E3泛素蛋白连接酶EDD抗体 Anti-UBR5 100ul
胚胎外胚层发育蛋白EED抗体 Anti-EED 100ul
转录接头蛋白EP300抗体 Anti-KAT3B/Ep300 100ul
内皮脂肪酶抗体 Anti-Endothelial lipase 100ul
MYC启动子结合蛋白1抗体 Anti-ENO1 100ul
安曲南 Azeonam 78110-38-0 100mg
重楼皂苷IIPcrispolyphyllcscponinII7696/7/2HPLC≥98%;20mg/vial
紫丁香苷;紫丁香酚苷,刺五加苷B Syringin 118-34-3 20mg HPLC≥98% 用于含量测定,药理科研
对照品司可钠171223-200402鉴别检查
橘红素;蜜桔素,桔皮素;5,6,7,8,4'-五甲氧基黄酮 Tangeretin 481-53-8 20mg HPLC≥98% 用于含量测定
FBXW5蛋白抗体马来酸罗格列酮 Rosiglitazone meleete 100mg
二轻槲皮速Twoxy7nogenquercetin480-18-20mg
1,7-Diepi-8,15-cedranediol 1,7-二表-8,15-柏木烷二醇 40768-81-8
Propafenone xy7nochloride 盐酸普罗帕酮标准品34183-22-7 200mg盐酸普罗帕酮标准品
磷酸川芎嗪;Teametxylpyr 1124-11-4 20mg 订购|咨询
风险提示:丁香通仅作为第三方平台,为商家信息发布提供平台空间。用户咨询产品时请注意保护个人信息及财产安全,合理判断,谨慎选购商品,商家和用户对交易行为负责。对于医疗器械类产品,请先查证核实企业经营资质和医疗器械产品注册证情况。
技术资料暂无技术资料 索取技术资料
FBXW5蛋白抗体
询价









