万千商家帮你免费找货
0 人在求购买到急需产品
- 详细信息
- 文献和实验
- 技术资料
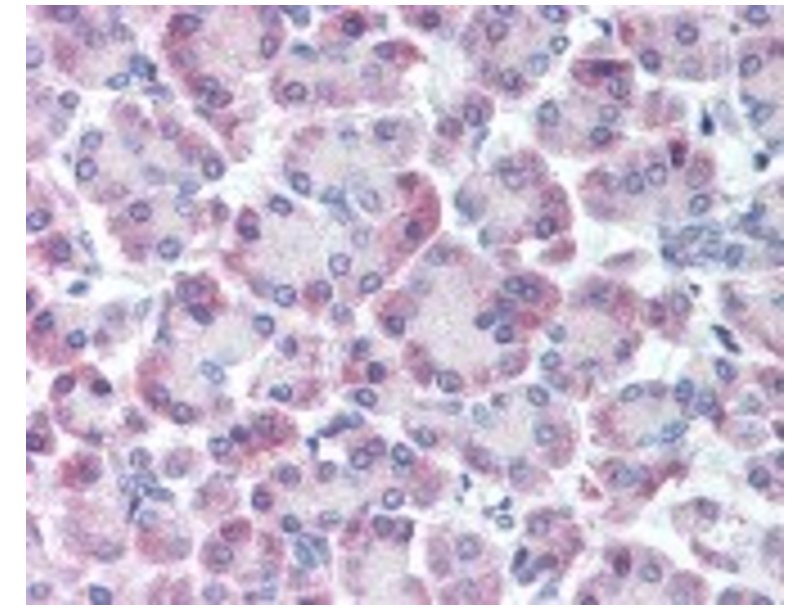
- 靶点:
Reg3a
- 克隆性:
多克隆
- 抗体英文名:
Anti-Reg3a
- 抗体名:
胰岛β细胞生长因子抗体
- 免疫原:
KLH conjugated synthetic peptide derived from human Reg3 alpha
- 亚型:
IgG
- 形态:
冻干或液体
- 应用范围:
WB,ELISA,IP,ICC等
- 浓度:
1mg/1ml
- 保存条件:
-20 °C
- 规格:
0.2ml/200μg
胰岛β细胞生长因子抗体产品资料:
英文名称 胰岛β细胞生长因子抗体
中文名称 Anti-Reg3a
别 名 Reg III alpha; Reg IIIα/γ; REG III; Reg III-alpha; REG-3-alpha; REG3; Reg3a; REG3A_HUMAN; Hepatocarcinoma intestine pancreas; HIP; Human proislet peptide; INGAP; Pancreatic beta cell growth factor; Pancreatitis associated protein 1; Pancreatitis associated protein; Pancreatitis-associated protein 1; PAP; PAP H; PAP homologous protein; PAP1; PBCGF; Proliferation inducing protein 34; Proliferation inducing protein 42; Regenerating islet derived 3 alpha; Regenerating islet derived protein 3 alpha precursor; Regenerating islet-derived protein 3-alpha; Regenerating islet-derived protein III-alpha.
浓 度 1mg/1ml
规 格 0.2ml/200μg
抗体来源 Rabbit
克隆类型 polyclonal
交叉反应 Human, Mouse, Rat, Pig, Cow, Horse, Rabbit, Sheep
产品类型 一抗
研究领域 肿瘤 免疫学
蛋白分子量 predicted molecular weight:16kDa
性 状 Lyophilized or Liquid
免 疫 原 KLH conjugated synthetic peptide derived from human Reg3 alpha
亚 型 IgG
纯化方法 affinity purified by Protein A
储 存 液 Preservative: 15mM Sodium Azide, Constituents: 1% BSA, 0.01M PBS, pH 7.4
产品应用 WB=1:100-500 ELISA=1:500-1000 IHC-P=1:100-500 IHC-F=1:100-500 IF=1:50-200
公司优势:
我司在生物科技领域已立足多年,虽然一路走来很艰难,但是也抗住了大风大浪,并且越来越壮大。专业实力方面,我们的科技人员是专业的,我们的营销人员是专业的,我们的服务是专业的,在实力方面,我们拥有一批爱好钻研的科技人才,攻坚克难就是我们的态度。
我司已经与多家单位建立了合作,包括高等院校、科研院所、医学院以及相关的企业等,合作伙伴多,客户的针对性强,主要服务于生命科学、医学等方面的科研人员以及研究员、学生等;
我司还与国际接轨,代理着许多知名进口品牌,以填补国内需求的空缺。
如需订购,敬请详询我们!
抗体、抗原之间的关系:
抗原是人体免疫系统中需要被清除的东西,诸如病毒、细菌、寄生虫、过敏原等等,而身体里的免疫细胞会主动产生一种专门与其“对抗”或者“结合”抗原的物质,这就是抗体。这种抗原-抗体反应是人体的一种保护机制,使人从疾病中恢复健康或不得病。
有时,抗原和抗体也会相结合,形成抗原-抗体免疫复合物,反而对人体不利,例如乙型溶血性链球菌感染所致的猩红热,在恢复期,由于链球菌与人的肾小球基底膜具有共同的抗原性,就会导致免疫系统产生抗肾小球基底膜抗体,并与肾细胞上的抗原发生结合,形成抗原-抗体免疫复合物,诱导免疫系统,激活补体,导致链球菌感染后的急性肾炎。
大多数情况下,抗原是外来的,抗体是机体免疫系统自产的。但有时,抗原抗体都是机体自产的。如自身免疫性疾病,免疫系统误把自身的细胞当成抗原产生抗体,用自产的抗体和自身的细胞打仗,导致人体的健康问题。有时,抗原是自产的,抗体却可以外来。例如肿瘤细胞就是自产的抗原,人类可以利用单克隆技术制成抗体用于肿瘤的治疗。
抗体和抗原之间的关系复杂,要探究这期间的奥秘,还有漫长的路要走。
与胰岛β细胞生长因子抗体相关的更多优势产品:
兔抗LY6E多克隆抗体
英文名:Anti-LY6Erabbitpolyclonalantiboy
冷冻(-20℃)避光
ACOT8 酰基辅酶A硫酯酶8 0.2ml
小鼠抗RASSF5单克隆抗体
英文名:Anti-RASSF5mousemonoclonalantiboy
冷冻(-20℃)避光
兔抗UCHL1多克隆抗体
英文名:Anti-UCHL1rabbitpolyclonalantiboy
冷冻(-20℃)避光
C12ORF50 12号染色体开放阅读框50抗体规格: 0.2ml
兔抗GZMM多克隆抗体
英文名:Anti-GZMMrabbitpolyclonalantiboy
冷冻(-20℃)避光
兔抗MYCN多克隆抗体
英文名:Anti-MYCNrabbitpolyclonalantiboy
冷冻(-20℃)避光
胰岛β细胞生长因子抗体泡盛曲霉 Aspergillus awamori左旋酸芽孢杆菌 Bacillus laevolacticus
人肾小球内皮细胞完全培养基嗜热链球菌 Streptococcus thermophilus
H4-IIE(大鼠肝细胞 )人成骨细胞完全培养基
特异青霉MG-63(人骨肉瘤细胞)
HuH-7人肝细胞人心室肌细胞完全培养基
人小细胞肺细胞谷氨酸棒杆菌 Corynebacterium glutamicum
米曲霉 Aspergillus oryzae泡盛曲霉 Aspergillus awamori
链孢囊菌 Streptosporangium sp.酿酒酵母 Saccharomyces cerevisiae
风险提示:丁香通仅作为第三方平台,为商家信息发布提供平台空间。用户咨询产品时请注意保护个人信息及财产安全,合理判断,谨慎选购商品,商家和用户对交易行为负责。对于医疗器械类产品,请先查证核实企业经营资质和医疗器械产品注册证情况。
文献和实验胰岛β 细胞: (1)STZ 直接破坏胰岛β细胞:主要见于注射大剂量 STZ 后。STZ 注射后可引起 β 细胞内辅酶I(NAD)的浓度下降,NAD 依赖性能量和蛋白质代谢停止,导致 β 细胞死亡; (2)通过诱导一氧化氮(NO)的合成,破坏胰岛 β 细胞; (3)STZ 激活自身免疫过程,进一步导致β细胞的损害:小剂量注射 STZ 可破坏少量胰岛 β 细胞,死亡的胰岛β细胞可作为抗原被巨噬细胞吞噬,产生 TH1 刺激因子,使TH1细胞系占优势而产生 IL-2 及 IFN-γ,在胰岛局部促使炎性
酸糖蛋白受体(asialoglycoproteins receptor,ASGPR)只存在于肝细胞表面,它能与末端为半乳糖基的蛋白质或多肽发生特异性结合;转铁蛋白受体(transferring receptor,TfR)在肿瘤细胞表面过量表达,利用转铁蛋白―聚乙烯亚胺(PEl)/DNA复合物构建成基因治疗载体,可有效转染肿瘤细胞。近年来利用抗原―抗体特异性结合也发展出了选择性基因转移方法,如利用表皮生长因子抗体可介导DNA进入表达表皮生长因子受体的细胞,由于肿瘤细胞常常过表达表皮生长因子受体,因此是一种很有希望的肿瘤靶向性基因传递方法。
Ⅷ 因子抗体,荧光标记二抗,乙醇丙酮混合液(1 : 1 )二、实验器械1、培养皿2、培养瓶3、直剪和眼科剪4、眼科镊和止血钳5、 10ml 注射器6、玻璃滴管7、烧杯8、 15ml 离心管三、实验流程取材↓洗涤脐带外血渍, 将胶带剪为15cm 左右长↓PBS 灌 洗,去掉淤血↓推注空气,排出残存 1 × PBS (pH 7.4 )↓注射器灌注消化液(PriCells ),至另一端有消化液流出时用止血钳截断,继续灌注消化液至 血管充盈用另一止血钳截断此端,放置到含抗生素 1 ×
技术资料暂无技术资料 索取技术资料









