万千商家帮你免费找货
0 人在求购买到急需产品
- 详细信息
- 文献和实验
- 技术资料
- 供应商:
上海莼试
- 库存:
大量
- 靶点:
FUT2
- 克隆性:
多克隆
- 抗体英文名:
Anti-FUT2
- 抗体名:
岩藻糖转移酶2抗体
- 标记物:
HRP等
- 宿主:
鼠,牛,马,兔,羊等
- 适应物种:
Human, Mouse, Rat等
- 亚型:
IgG
- 形态:
液体或固体
- 应用范围:
WB IHC-P IHC-F IF
- 浓度:
10mg/ml
- 保存条件:
密封保存
- 规格:
100ul
英文名称:Anti-FUT2
库存地:上海库
货期:现货
价格:以咨询为准!
用途:仅供高校实验室以及科研单位使用
公司优势:
1.拥有一批专业高效的团队,专门解决客户在实验过程中遇到的各种难题;
2.多年的应用经验积累;
3. 岩藻糖转移酶2抗体规格牌号齐全,满足不同客户的使用需求;
4.库存充足,供货周期短,能解决客户的急需问题;
5.我们秉承诚信至上、务实做事的信条,是客户值得信赖的合作伙伴。
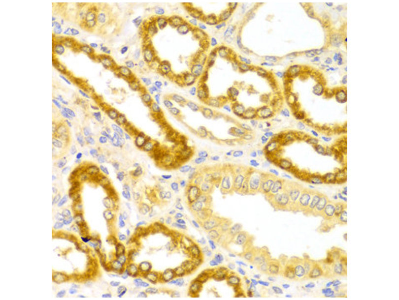
免疫组化结果分析:
1、首先要确定免疫组化技术是否合格,合格的染色结果应该是背景颜色浅淡或无着色,而阳性标志物清晰和定位明确。
切片中的正常组织可以作为最简便的对照来判断染色结果的可靠与否,例如用Vimentin抗体,间质成纤维细胞利血管壁平滑肌细胞胞浆应呈阳性。肯定为阳性的对照组织却呈阴性,待测组织的染色结果也就不可靠;这现象常是由于抗体失效或过度稀释、组织中抗原严重丢失等。
2、不仅要判断所检组织中有或无阳性标记物,还要注意阳性信号的分布部位和形态特征。
一般说来,阳性信号应与被测抗原所在的部位一致,大部分细胞抗原位于胞质内,其中亦有区别,有的阳性颗粒弥散于整个细胞的胞质,有的则呈斑块状局限于胞浆某处。还有些抗原同时分布于胞质和胞膜(如胃肠腺癌细胞的EMA),或核与胞质(如S-100、HMB-45)。同一种抗原在不同类型的细胞可定位不同,因而分布的特点也有一定的鉴别意义。
岩藻糖转移酶2抗体相关的其他优势产品:
哺乳动物蛋白抽提试剂 询价
扁桃体炎组织芯片 询价
扁桃体 询价
鼻咽肿瘤 询价
鼻咽癌组织芯片 询价
Bcl2 beta蛋白抗体
转录因子MYB相关蛋白B抗体
肿瘤/睾丸抗原27抗体(高迁移率族蛋白)
B细胞淋巴瘤蛋白3抗体
支链氨基酸转氨酶2抗体
二硫键氧化还原酶锌指蛋白5抗体 Anti-CXXC5 100ul
L-型电压依赖型钙通道β抗体 Anti-CACNB2 100ul
细胞色素P450 2C19抗体 Anti-CYP2C19 100ul
心肌特异性肌钙蛋白T抗体 Anti-Troponin T 100ul
CD161抗体 Anti-CD161 100ul
大鼠肺泡上皮细胞培养试剂盒 大鼠肺泡上皮细胞培养试剂盒 试剂盒
大鼠肺大静脉平滑肌细胞培养试剂盒 大鼠肺大静脉平滑肌细胞培养试剂盒 试剂盒
大鼠肺大动脉平滑肌细胞培养试剂盒 大鼠肺大动脉平滑肌细胞培养试剂盒 试剂盒
大鼠肺大动脉内皮细胞培养试剂盒 大鼠肺大动脉内皮细胞培养试剂盒 试剂盒
岩藻糖转移酶2抗体PA317(小鼠成纤维细胞) 5×106cells/瓶×2 食蟹猴 CD1E & B2M Heterodimer 人细胞裂解液 (阳性对照)
人低分化肺腺癌细胞;SK-LU-1
CANX Others Human 人 CANX / Calnexin 人细胞裂解液 (阳性对照)
RAW 264.7细胞,小鼠单核巨噬细胞白血病细胞 溶组织梭菌Closidium histolyticum 水牛皮肤成纤维样细胞;WB-S3
CCL22 Protein Human 重组人 CCL22 / MDC 蛋白 (His 标签)
人结肠粘膜上皮细胞完全培养基 100mL
风险提示:丁香通仅作为第三方平台,为商家信息发布提供平台空间。用户咨询产品时请注意保护个人信息及财产安全,合理判断,谨慎选购商品,商家和用户对交易行为负责。对于医疗器械类产品,请先查证核实企业经营资质和医疗器械产品注册证情况。
文献和实验人抗磷脂酶A2抗体(Anti-PLA2R)酶联免疫分析(ELISA)
人 抗磷脂酶 A2 抗体( Anti-PLA2R ) 酶联免疫分析( ELISA ) 试剂盒使用说明书 本试剂盒仅供研究使用。 使用目的: 本试剂盒用于测定人血清,血浆及相关液体样本中 抗磷脂酶 A2 抗体( Anti-PLA2R ) 含量。 实验原理 本试剂盒应用间接法测定标本中人 抗磷脂酶 A2 抗体( Anti-PLA2R ) 水平。用纯化的抗原包被微孔板,制成固相抗原,往包被单抗的微孔
人乙型肝炎病毒前S2抗体(HBV preS2Ab)酶联免疫分析
人 乙型肝炎病毒前S2抗体(HBV preS2Ab) 酶联免疫 分析( ELISA ) 试剂 盒使用说明书 本试剂仅供研究使用 目的:本试剂盒用于测定人血清,血浆,组织液及相关液体样本中 乙型肝炎病毒前S2抗体(HBV preS2Ab)的 含量。 实验原理 : 本试剂盒应用双 抗原 夹心法测定 标本 中 人 乙型肝炎病毒前S2 抗体 (HBV preS2Ab) 水平。用纯化的 抗原 包被微孔板,制成固相 抗原 ,往包被单抗的微孔中依次
一些与PAMP结构有交叉反应的自身成分。例子之一是ABO血型抗原。该抗原由乙酰氨基葡萄糖及半乳糖基等组成寡糖前体,加上岩藻糖基构成血型H抗原,然后在乙酰氨基半乳糖基转移酶或半乳糖基转移酶的作用下成为红细胞血型A抗原和B抗原。它们与病原体表面的糖类结构十分相似。对此结构,大多数模式识别分子并不与之起反应,因为即使是专一性识别各种糖类的MBI。,如果糖链端部不在特定部位显示羟基结构,则不能被其PRD结构域所识别。然而曾被菌体糖类多表位激发的预存IgM抗体,却有可能发挥作用。所以输血必需配型,防止供者A型血进入
技术资料暂无技术资料 索取技术资料










