万千商家帮你免费找货
0 人在求购买到急需产品
- 详细信息
- 技术资料
- 供应商:
上海莼试
- 库存:
大量
- 靶点:
FGF19
- 克隆性:
多克隆
- 抗体英文名:
Anti-FGF19
- 抗体名:
成纤维细胞生长因子19抗体
- 标记物:
HRP等
- 宿主:
鼠,牛,马,兔,羊等
- 适应物种:
Human, Mouse, Rat等
- 亚型:
IgG
- 形态:
液体或固体
- 应用范围:
WB IHC-P IHC-F IF
- 浓度:
10mg/ml
- 保存条件:
密封保存
- 规格:
100ul
产品名称:成纤维细胞生长因子19抗体
英文名称:Anti-FGF19
库存地:上海库
货期:现货
价格:以咨询为准!
用途:仅供高校实验室以及科研单位使用
公司优势:
1.拥有一批专业高效的团队,专门解决客户在实验过程中遇到的各种难题;
2.多年的应用经验积累;
3. 成纤维细胞生长因子19抗体规格牌号齐全,满足不同客户的使用需求;
4.库存充足,供货周期短,能解决客户的急需问题;
5.我们秉承诚信至上、务实做事的信条,是客户值得信赖的合作伙伴。
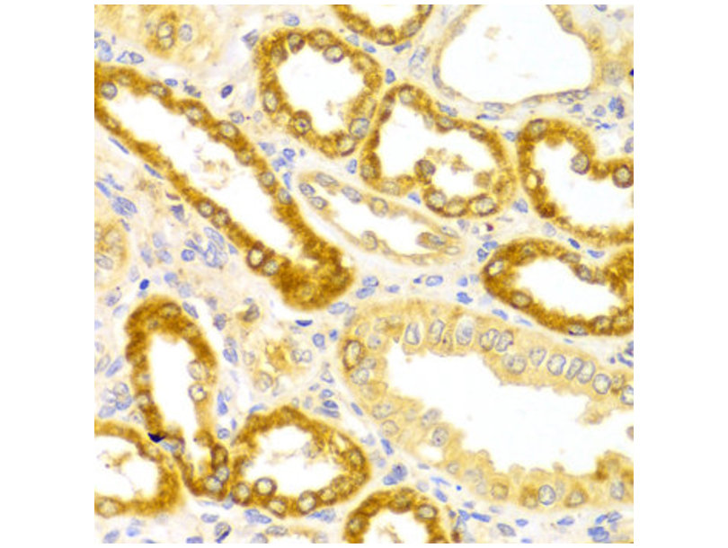
免疫组化结果分析:
1、首先要确定免疫组化技术是否合格,合格的染色结果应该是背景颜色浅淡或无着色,而阳性标志物清晰和定位明确。
切片中的正常组织可以作为最简便的对照来判断染色结果的可靠与否,例如用Vimentin抗体,间质成纤维细胞利血管壁平滑肌细胞胞浆应呈阳性。肯定为阳性的对照组织却呈阴性,待测组织的染色结果也就不可靠;这现象常是由于抗体失效或过度稀释、组织中抗原严重丢失等。
2、不仅要判断所检组织中有或无阳性标记物,还要注意阳性信号的分布部位和形态特征。
一般说来,阳性信号应与被测抗原所在的部位一致,大部分细胞抗原位于胞质内,其中亦有区别,有的阳性颗粒弥散于整个细胞的胞质,有的则呈斑块状局限于胞浆某处。还有些抗原同时分布于胞质和胞膜(如胃肠腺癌细胞的EMA),或核与胞质(如S-100、HMB-45)。同一种抗原在不同类型的细胞可定位不同,因而分布的特点也有一定的鉴别意义。
成纤维细胞生长因子19抗体相关的其他优势产品:
甘氨酸 询价
改良型苏木素 询价
腹主动脉 询价
腹腔肿瘤 询价
腹膜肿瘤 询价
β-连环蛋白/β-连环素/β链接素/β-catenin抗体
BZW2蛋白抗体
骨形态发生蛋白2抗体
骨形态发生蛋白7抗体
B Raf抗体
细胞色素cP450 CYP20A1抗体 Anti-CYP20A1 100ul
细胞色素cP4501B1抗体 Anti-CYP1B1 100ul
细胞色素cP450 CYP26A1抗体 Anti-CYP26A1 100ul
磷酸化周期素E抗体 Anti-phospho-Cyclin E 100ul
磷酸化周期素E2抗体 Anti-phospho-Cyclin E2 100ul
PC-12 大鼠上腺嗜铬细胞瘤细胞(低分化) 1ml/T75
PC-12 大鼠上腺嗜铬细胞瘤细胞(高分化) 1ml/T75
PC-12 大鼠上腺嗜铬细胞瘤细胞(未分化) 1ml/T75
INS-1 大鼠胰岛细胞瘤细胞 1ml/T75
成纤维细胞生长因子19抗体TFPI2 Others Human 人 TFPI2 人细胞裂解液 (阳性对照)
表皮角化细胞Many types of cells包装:5 × 105次方(1ml)
RBBP4 Others Human 人 RBBP4 / RBAP48 杆状病毒-昆虫细胞裂解液 (阳性对照)
Saos-2细胞,成骨肉瘤细胞 人鼻咽癌细胞,HNE1细胞 CL-0273ECV-304(人脐静脉内皮细胞)5×106cells/瓶×2
中国仓鼠卵巢细胞(亚系克隆);CHO-HCV-NS4B
人脑瘤细胞;SF767
英文名称:Anti-FGF19
库存地:上海库
货期:现货
价格:以咨询为准!
用途:仅供高校实验室以及科研单位使用
公司优势:
1.拥有一批专业高效的团队,专门解决客户在实验过程中遇到的各种难题;
2.多年的应用经验积累;
3. 成纤维细胞生长因子19抗体规格牌号齐全,满足不同客户的使用需求;
4.库存充足,供货周期短,能解决客户的急需问题;
5.我们秉承诚信至上、务实做事的信条,是客户值得信赖的合作伙伴。
免疫组化结果分析:
1、首先要确定免疫组化技术是否合格,合格的染色结果应该是背景颜色浅淡或无着色,而阳性标志物清晰和定位明确。
切片中的正常组织可以作为最简便的对照来判断染色结果的可靠与否,例如用Vimentin抗体,间质成纤维细胞利血管壁平滑肌细胞胞浆应呈阳性。肯定为阳性的对照组织却呈阴性,待测组织的染色结果也就不可靠;这现象常是由于抗体失效或过度稀释、组织中抗原严重丢失等。
2、不仅要判断所检组织中有或无阳性标记物,还要注意阳性信号的分布部位和形态特征。
一般说来,阳性信号应与被测抗原所在的部位一致,大部分细胞抗原位于胞质内,其中亦有区别,有的阳性颗粒弥散于整个细胞的胞质,有的则呈斑块状局限于胞浆某处。还有些抗原同时分布于胞质和胞膜(如胃肠腺癌细胞的EMA),或核与胞质(如S-100、HMB-45)。同一种抗原在不同类型的细胞可定位不同,因而分布的特点也有一定的鉴别意义。
成纤维细胞生长因子19抗体相关的其他优势产品:
甘氨酸 询价
改良型苏木素 询价
腹主动脉 询价
腹腔肿瘤 询价
腹膜肿瘤 询价
β-连环蛋白/β-连环素/β链接素/β-catenin抗体
BZW2蛋白抗体
骨形态发生蛋白2抗体
骨形态发生蛋白7抗体
B Raf抗体
细胞色素cP450 CYP20A1抗体 Anti-CYP20A1 100ul
细胞色素cP4501B1抗体 Anti-CYP1B1 100ul
细胞色素cP450 CYP26A1抗体 Anti-CYP26A1 100ul
磷酸化周期素E抗体 Anti-phospho-Cyclin E 100ul
磷酸化周期素E2抗体 Anti-phospho-Cyclin E2 100ul
PC-12 大鼠上腺嗜铬细胞瘤细胞(低分化) 1ml/T75
PC-12 大鼠上腺嗜铬细胞瘤细胞(高分化) 1ml/T75
PC-12 大鼠上腺嗜铬细胞瘤细胞(未分化) 1ml/T75
INS-1 大鼠胰岛细胞瘤细胞 1ml/T75
成纤维细胞生长因子19抗体TFPI2 Others Human 人 TFPI2 人细胞裂解液 (阳性对照)
表皮角化细胞Many types of cells包装:5 × 105次方(1ml)
RBBP4 Others Human 人 RBBP4 / RBAP48 杆状病毒-昆虫细胞裂解液 (阳性对照)
Saos-2细胞,成骨肉瘤细胞 人鼻咽癌细胞,HNE1细胞 CL-0273ECV-304(人脐静脉内皮细胞)5×106cells/瓶×2
中国仓鼠卵巢细胞(亚系克隆);CHO-HCV-NS4B
人脑瘤细胞;SF767
风险提示:丁香通仅作为第三方平台,为商家信息发布提供平台空间。用户咨询产品时请注意保护个人信息及财产安全,合理判断,谨慎选购商品,商家和用户对交易行为负责。对于医疗器械类产品,请先查证核实企业经营资质和医疗器械产品注册证情况。
技术资料暂无技术资料 索取技术资料
成纤维细胞生长因子19抗体
询价









