相关产品推荐更多 >
万千商家帮你免费找货
0 人在求购买到急需产品
- 详细信息
- 技术资料
- 靶点:
Ser227
- 克隆性:
多克隆
- 抗体英文名:
Anti-Phospho-RSK2 (Ser227)
- 抗体名:
磷酸化核糖体S6激酶RSK2抗体
- 免疫原:
0.1ml/100μg
- 亚型:
IgG
- 形态:
冻干或液体
- 应用范围:
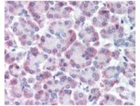
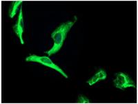
WB,ELISA,IP,ICC等
- 浓度:
1mg/1ml
- 保存条件:
-20 °C
- 规格:
KLH conjugated Synthesised phosphopeptide derived from human RSK2 around the phosphorylation site of Ser227
磷酸化核糖体S6激酶RSK2抗体资料信息:
英文名称 磷酸化核糖体S6激酶RSK2抗体
中文名称 Anti-Phospho-RSK2 (Ser227)
别 名 Rsk 2; MAPKAP Kinase 1b; MAP kinase activated protein kinase 1b; MAPK activated protein kinase 1b; 90 kDa ribosomal protein S6 kinase 3; HU2; HU3; Insulin stimulated protein kinase 1; ISPK1; MAPKAPK 1b; MAPKAPK1B; MRX19; p90 RSK3; p90RSK3; pp90RSK2; Ribosomal protein S6 kinase 90kDa polypeptide 3; Ribosomal protein S6 kinase alpha 3; Ribosomal S6 kinase 2; RPS6KA3; S6 kinase 2; S6K alpha3; KS6A3_HUMAN.
浓 度 1mg/1ml
规 格 0.1ml/100μg
抗体来源 Rabbit
克隆类型 polyclonal
交叉反应 Human, Mouse, Rat, Chicken, Dog, Pig, Cow, Horse, Rabbit
产品类型 一抗 磷酸化抗体
研究领域 肿瘤 免疫学 信号转导 细胞凋亡 转录调节因子 激酶和磷酸酶
蛋白分子量 predicted molecular weight:84kDa
性 状 Lyophilized or Liquid
免 疫 原 KLH conjugated Synthesised phosphopeptide derived from human RSK2 around the phosphorylation site of Ser227
亚 型 IgG
纯化方法 affinity purified by Protein A
储 存 液 0.01M PBS, pH 7.4 with 10 mg/ml BSA and 0.1% Sodium azide
产品应用 WB=1:100-500 ELISA=1:500-1000 IP=1:20-100 IHC-P=1:100-500 IHC-F=1:100-500 IF=1:100-500
磷酸化核糖体S6激酶RSK2抗体订购流程:
☆抗原与抗体:
抗原是一种能诱发机体产生特异性免疫反应的大分子物质,如蛋白质、多糖、核酸等。外来抗原进入机体以后能诱导机体产生特异的免疫反应(抗原的这种能力叫做抗原性),这种免疫反应是通过淋巴细胞来完成的。淋巴细胞分为T淋巴细胞和B淋巴细胞两种。T 淋巴细胞受到抗原刺激就会产生排除抗原的反应。B淋巴细胞受到抗原刺激后就会分经为浆细胞,浆细胞则能产生抗体,抗体也就是免疫球蛋白(Ig),它能够识别相对应的抗原,并且与抗原特异性结合,这样就在体内中和或者排除抗原,保护了机体不受异物的侵犯。抗原有一个最重要的特性就是它具有特异性(即专一性)和选择性。因此,抗体也是特异地与某种抗原结合的,如针对感染因素的不同,就有抗细菌抗体、抗病毒抗体、抗真菌抗体、抗寄生虫抗体、抗毒素抗体等等。
☆配体:
同锚定蛋白结合的任何分子都称为配体。在受体介导的内吞中, 与细胞质膜受体蛋白结合, 最后被吞入细胞的即是配体。根据配体的性质以及被细胞内吞后的作用, 将配体分为四大类:(1)营养物, 如转铁蛋白、低密度脂蛋白(LDL)等;2)有害物质, 如某些细菌;(3)免疫物质, 如免疫球蛋白、抗原等;(4)信号物质, 如胰岛素等多种肽类激素等。
☆受体:
细胞表面或亚细胞组分中的一种分子,可以识别并特异地与有生物活性的化学信号物质(配体)结合,从而激活或启动一系列生物化学反应,最后导致该信号物质特定的生物效应。
通常受体具有两个功能:
(1)识别特异的信号物质--配体,识别的表现在于两者结合。
(2)把识别和接受的信号准确无误的放大并传递到细胞内部,启动一系列胞内生化反应,最后导致特定的细胞反应。使得胞间信号转换为胞内信号。
☆补体:
存在于正常人和动物血清与组织液中的一组经活化后具有酶活性的蛋白质。可辅助和补充特异性抗体,介导免疫溶菌、溶血作用,故称为补体。补体的生物学效应有:增强吞噬作用,增强吞噬细胞的趋化性;增加血管的通透性;中和病毒;细胞溶解作用;免疫反应的调节作用。
☆细胞因子:一类非抗体蛋白质的统称。此种蛋白质由一个细胞群(如已活化的T淋巴细胞)与特异性抗原接触后所释放。为了维持机体的生理平衡,抵抗病原微生物的侵袭,防止肿瘤发生,机体的许多细胞,特别是免疫细胞合成和分泌许多种微量的多肽类因子。它们在细胞之间传递信息,调节细胞的生理过程,提高机体的免疫力,在异常情况下也有可能引起发烧、炎症、休克等病理过程。
磷酸化核糖体S6激酶RSK2抗体更多相关产品:
PRKCDBP 蛋白激酶C delta结合蛋白抗体规格: 0.2ml
兔抗RUSC1多克隆抗体
英文名:Anti-RUSC1rabbitpolyclonalantiboy
冷冻(-20℃)避光
兔抗TNFRSF1B多克隆抗体
英文名:Anti-TNFRSF1Brabbitpolyclonalantiboy
冷冻(-20℃)避光
PRL 泌素抗体规格: 0.2ml
小鼠抗APEX1单克隆抗体
英文名:Anti-APEX1mousemonoclonalantiboy
冷冻(-20℃)避光
Bestrophin 3 卵黄状黄斑病蛋白3抗体规格: 0.2ml
兔抗GSTT1多克隆抗体
英文名:Anti-GSTT1rabbitpolyclonalantiboy
冷冻(-20℃)避光
磷酸化核糖体S6激酶RSK2抗体解脲支原体快速培养基/溶脲支原体快速培养基/UU培养基/UU MediumBR1支国产/进口
EAC(小鼠艾氏腹水细胞)5×106cells/瓶×2
半固体琼脂 规格: 250g 用途: 供细菌动力观察、菌种保存等用(GB 4789.4-2010和GB/T4789.8-2008)。
嗜盐菌选择性琼脂/Halophilic Bacteria Selective Agar副溶血性弧菌的选择性分离培养250克国产/进口
角蛋白1(KRT1)重组蛋白英文名称:Recombinant Keratin 1 (KRT1)
副溶血性弧菌琼脂副溶血性弧菌的选择性分离培养250克国产/进口
性别决定区Y框蛋白2(SOX2)重组蛋白英文名称:Recombinant Sex Determining Region Y Box Protein 2 (SOX2)
4-甲基伞形酮葡糖苷酸培养基(配套靛基质)/MUG培养基/MUG-Medium(with Kovacs)大肠埃希氏菌快速荧光测定培养基20g+靛基质20m国产/进口
英文名称 磷酸化核糖体S6激酶RSK2抗体
中文名称 Anti-Phospho-RSK2 (Ser227)
别 名 Rsk 2; MAPKAP Kinase 1b; MAP kinase activated protein kinase 1b; MAPK activated protein kinase 1b; 90 kDa ribosomal protein S6 kinase 3; HU2; HU3; Insulin stimulated protein kinase 1; ISPK1; MAPKAPK 1b; MAPKAPK1B; MRX19; p90 RSK3; p90RSK3; pp90RSK2; Ribosomal protein S6 kinase 90kDa polypeptide 3; Ribosomal protein S6 kinase alpha 3; Ribosomal S6 kinase 2; RPS6KA3; S6 kinase 2; S6K alpha3; KS6A3_HUMAN.
浓 度 1mg/1ml
规 格 0.1ml/100μg
抗体来源 Rabbit
克隆类型 polyclonal
交叉反应 Human, Mouse, Rat, Chicken, Dog, Pig, Cow, Horse, Rabbit
产品类型 一抗 磷酸化抗体
研究领域 肿瘤 免疫学 信号转导 细胞凋亡 转录调节因子 激酶和磷酸酶
蛋白分子量 predicted molecular weight:84kDa
性 状 Lyophilized or Liquid
免 疫 原 KLH conjugated Synthesised phosphopeptide derived from human RSK2 around the phosphorylation site of Ser227
亚 型 IgG
纯化方法 affinity purified by Protein A
储 存 液 0.01M PBS, pH 7.4 with 10 mg/ml BSA and 0.1% Sodium azide
产品应用 WB=1:100-500 ELISA=1:500-1000 IP=1:20-100 IHC-P=1:100-500 IHC-F=1:100-500 IF=1:100-500
磷酸化核糖体S6激酶RSK2抗体订购流程:
| ※浏览本页面的客户,想要获取更为详细的产品信息,可以点击这里与我们咨询; ※接着商谈相关事宜,包括产品名、产品数量、准确价格、详细说明书等等,双方无异议后就可以签订订购合同了; ※下单以后,我们这边就立即安排发货,支持不同快递包邮; ※客户收到货后,请先检查产品有无破损和污染情况,如有疑似问题,请及时反馈给我们,经过我司有关部门确认无误后,即可安排退换货事宜。 |
☆抗原与抗体:
抗原是一种能诱发机体产生特异性免疫反应的大分子物质,如蛋白质、多糖、核酸等。外来抗原进入机体以后能诱导机体产生特异的免疫反应(抗原的这种能力叫做抗原性),这种免疫反应是通过淋巴细胞来完成的。淋巴细胞分为T淋巴细胞和B淋巴细胞两种。T 淋巴细胞受到抗原刺激就会产生排除抗原的反应。B淋巴细胞受到抗原刺激后就会分经为浆细胞,浆细胞则能产生抗体,抗体也就是免疫球蛋白(Ig),它能够识别相对应的抗原,并且与抗原特异性结合,这样就在体内中和或者排除抗原,保护了机体不受异物的侵犯。抗原有一个最重要的特性就是它具有特异性(即专一性)和选择性。因此,抗体也是特异地与某种抗原结合的,如针对感染因素的不同,就有抗细菌抗体、抗病毒抗体、抗真菌抗体、抗寄生虫抗体、抗毒素抗体等等。
☆配体:
同锚定蛋白结合的任何分子都称为配体。在受体介导的内吞中, 与细胞质膜受体蛋白结合, 最后被吞入细胞的即是配体。根据配体的性质以及被细胞内吞后的作用, 将配体分为四大类:(1)营养物, 如转铁蛋白、低密度脂蛋白(LDL)等;2)有害物质, 如某些细菌;(3)免疫物质, 如免疫球蛋白、抗原等;(4)信号物质, 如胰岛素等多种肽类激素等。
☆受体:
细胞表面或亚细胞组分中的一种分子,可以识别并特异地与有生物活性的化学信号物质(配体)结合,从而激活或启动一系列生物化学反应,最后导致该信号物质特定的生物效应。
通常受体具有两个功能:
(1)识别特异的信号物质--配体,识别的表现在于两者结合。
(2)把识别和接受的信号准确无误的放大并传递到细胞内部,启动一系列胞内生化反应,最后导致特定的细胞反应。使得胞间信号转换为胞内信号。
☆补体:
存在于正常人和动物血清与组织液中的一组经活化后具有酶活性的蛋白质。可辅助和补充特异性抗体,介导免疫溶菌、溶血作用,故称为补体。补体的生物学效应有:增强吞噬作用,增强吞噬细胞的趋化性;增加血管的通透性;中和病毒;细胞溶解作用;免疫反应的调节作用。
☆细胞因子:一类非抗体蛋白质的统称。此种蛋白质由一个细胞群(如已活化的T淋巴细胞)与特异性抗原接触后所释放。为了维持机体的生理平衡,抵抗病原微生物的侵袭,防止肿瘤发生,机体的许多细胞,特别是免疫细胞合成和分泌许多种微量的多肽类因子。它们在细胞之间传递信息,调节细胞的生理过程,提高机体的免疫力,在异常情况下也有可能引起发烧、炎症、休克等病理过程。
磷酸化核糖体S6激酶RSK2抗体更多相关产品:
PRKCDBP 蛋白激酶C delta结合蛋白抗体规格: 0.2ml
兔抗RUSC1多克隆抗体
英文名:Anti-RUSC1rabbitpolyclonalantiboy
冷冻(-20℃)避光
兔抗TNFRSF1B多克隆抗体
英文名:Anti-TNFRSF1Brabbitpolyclonalantiboy
冷冻(-20℃)避光
PRL 泌素抗体规格: 0.2ml
小鼠抗APEX1单克隆抗体
英文名:Anti-APEX1mousemonoclonalantiboy
冷冻(-20℃)避光
Bestrophin 3 卵黄状黄斑病蛋白3抗体规格: 0.2ml
兔抗GSTT1多克隆抗体
英文名:Anti-GSTT1rabbitpolyclonalantiboy
冷冻(-20℃)避光
磷酸化核糖体S6激酶RSK2抗体解脲支原体快速培养基/溶脲支原体快速培养基/UU培养基/UU MediumBR1支国产/进口
EAC(小鼠艾氏腹水细胞)5×106cells/瓶×2
半固体琼脂 规格: 250g 用途: 供细菌动力观察、菌种保存等用(GB 4789.4-2010和GB/T4789.8-2008)。
嗜盐菌选择性琼脂/Halophilic Bacteria Selective Agar副溶血性弧菌的选择性分离培养250克国产/进口
角蛋白1(KRT1)重组蛋白英文名称:Recombinant Keratin 1 (KRT1)
副溶血性弧菌琼脂副溶血性弧菌的选择性分离培养250克国产/进口
性别决定区Y框蛋白2(SOX2)重组蛋白英文名称:Recombinant Sex Determining Region Y Box Protein 2 (SOX2)
4-甲基伞形酮葡糖苷酸培养基(配套靛基质)/MUG培养基/MUG-Medium(with Kovacs)大肠埃希氏菌快速荧光测定培养基20g+靛基质20m国产/进口
风险提示:丁香通仅作为第三方平台,为商家信息发布提供平台空间。用户咨询产品时请注意保护个人信息及财产安全,合理判断,谨慎选购商品,商家和用户对交易行为负责。对于医疗器械类产品,请先查证核实企业经营资质和医疗器械产品注册证情况。
技术资料暂无技术资料 索取技术资料
磷酸化核糖体S6激酶RSK2抗体
询价









