万千商家帮你免费找货
0 人在求购买到急需产品
- 详细信息
- 文献和实验
- 技术资料
- 供应商:
上海莼试
- 库存:
大量
- 靶点:
DISC1
- 克隆性:
多克隆
- 抗体英文名:
Anti-DISC1
- 抗体名:
DISC1 C端抗体
- 标记物:
HRP等
- 宿主:
鼠,牛,马,兔,羊等
- 适应物种:
Human, Mouse, Rat等
- 亚型:
IgG
- 形态:
液体或固体
- 应用范围:
WB IHC-P IHC-F IF
- 浓度:
10mg/ml
- 保存条件:
密封保存
- 规格:
100ul
英文名称:Anti-DISC1
库存地:上海库
货期:现货
价格:以咨询为准!
用途:仅供高校实验室以及科研单位使用
公司优势:
1.拥有一批专业高效的团队,专门解决客户在实验过程中遇到的各种难题;
2.多年的应用经验积累;
3. DISC1 C端抗体规格牌号齐全,满足不同客户的使用需求;
4.库存充足,供货周期短,能解决客户的急需问题;
5.我们秉承诚信至上、务实做事的信条,是客户值得信赖的合作伙伴。
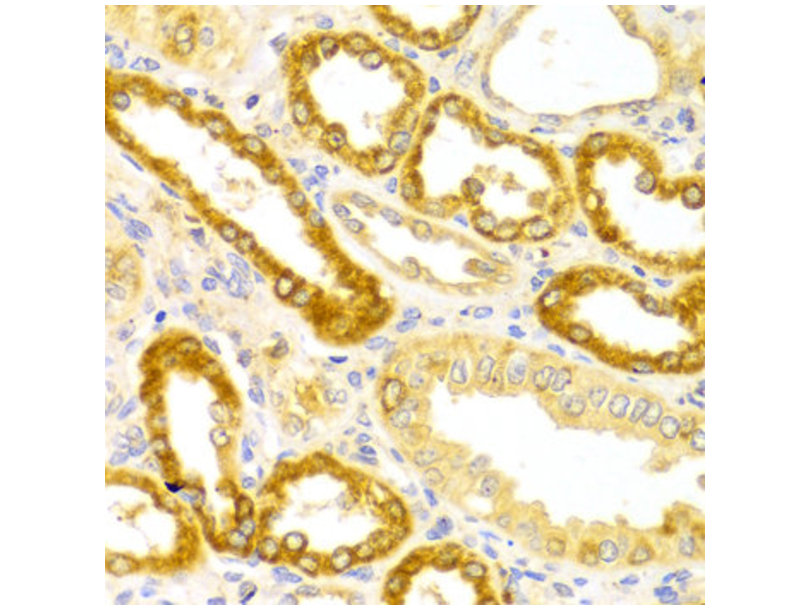
免疫组化结果分析:
1、首先要确定免疫组化技术是否合格,合格的染色结果应该是背景颜色浅淡或无着色,而阳性标志物清晰和定位明确。
切片中的正常组织可以作为最简便的对照来判断染色结果的可靠与否,例如用Vimentin抗体,间质成纤维细胞利血管壁平滑肌细胞胞浆应呈阳性。肯定为阳性的对照组织却呈阴性,待测组织的染色结果也就不可靠;这现象常是由于抗体失效或过度稀释、组织中抗原严重丢失等。
2、不仅要判断所检组织中有或无阳性标记物,还要注意阳性信号的分布部位和形态特征。
一般说来,阳性信号应与被测抗原所在的部位一致,大部分细胞抗原位于胞质内,其中亦有区别,有的阳性颗粒弥散于整个细胞的胞质,有的则呈斑块状局限于胞浆某处。还有些抗原同时分布于胞质和胞膜(如胃肠腺癌细胞的EMA),或核与胞质(如S-100、HMB-45)。同一种抗原在不同类型的细胞可定位不同,因而分布的特点也有一定的鉴别意义。
DISC1 C端抗体相关的其他优势产品:
肿瘤坏死因子α诱导蛋白3抗体 Anti-TNFAIP3 WB IHC-P IHC-F IF 100ul
瞬时受体电位离子通道蛋白/M亚家族抗体 Anti-TRPM2 WB IHC-P IHC-F IF 100ul
肿瘤抑制转移候选基因3抗体 Anti-TSSC3 WB IHC-P IHC-F IF 100ul
转录因子相互作用蛋白1抗体 Anti-TTI1 WB IHC-P IHC-F IF 100ul
肿瘤坏死因子配体超家族成员15抗体 Anti-TNFSF15 WB IHC
冷休克结构域蛋白C2抗体
碳酸酐酶10抗体
乙酰胆碱受体前体蛋白AChRα1抗体
补体因子B抗体
δ-连环蛋白抗体
7号染色体开放阅读框26抗体 Anti-C7orf26 100ul
衰变加速因子CD55抗体 Anti-CD55 100ul
CD59抗体 Anti-CD59 100ul
钙激活蛋白酶14抗体 Anti-Calpain 14 100ul
7型胶原抗体 Anti-Collagen VII 100ul
NaClTryptoneBroth
葡萄球菌选择性琼脂 Staphylococcus Selective Agar 用于凝固酶阳性葡萄球菌的选择性分离培养
酪蛋白胨 Peptone from Casein 250 干酪素胰酶水解而成,培养基原材料
强化梭菌培养基250g/瓶用于梭菌的培养incubationmedia强化梭菌培养基250g/瓶用于梭菌的培养
Kovacs'sindoleBox
DISC1 C端抗体WS琼脂/Wuhan Salmonella Agar 分离沙门氏菌和志贺氏菌用 250克 国产/进口
WORT肉汤/WORT Broth 真菌和酵母菌的培养 250克 国产/进口
WORT琼脂/WORT Agar 用于真菌,特别是酵母菌的计数和增菌培养 250克 国产/进口
WL营养琼脂/华伦斯坦实验室营养琼脂/WL Nutrient Agar 啤酒和发酵产品中酵母菌和细菌的计数 250克 国产/进口
风险提示:丁香通仅作为第三方平台,为商家信息发布提供平台空间。用户咨询产品时请注意保护个人信息及财产安全,合理判断,谨慎选购商品,商家和用户对交易行为负责。对于医疗器械类产品,请先查证核实企业经营资质和医疗器械产品注册证情况。
文献和实验Disrupted-in-Schizophrenia 1 (DISC1 ) is a strong candidate gene for schizophrenia and major mental disorders. After its discovery in the Scottish chromosomal translocation, DISC1 has gained considerable attention in neuropsychiatric research
抗体的结构决定了其对应的功能,同一抗体的V区和C区的氨基酸组成和顺序不同,决定了其功能上的差异。V区和C区的组成和结构,决定了抗体的生物学功能。 图1:抗体的主要功能(图片来源:Abbas et al: Cellular and Molecular Immunology, 7e.) 1、特异性识别功能 抗体可以通过其结构上的可变区域与抗原结合,同时,具有极高的特异性。这种特异性识别功能可以使抗体识别和结合到感染的病原体,肿瘤细胞等不同种类的分子,帮助免疫系统识别并定位到这些分子,进而启动
在生命科学和医学基础研究中,或多或少都需要用到抗体。抗体的应用场景不同、标记物众多,且针对同一标记物市场上往往有多个抗体可供选择,那么,我们如何从成百万上千万种抗体中,挑选出我们想要的那支呢? 在我们6月份的关于抗体的调研活动中,我们发现,大家更多的是去参考文献或专利中的材料和方法部分,这无疑很大程度上保证了抗体的有效性。其次有45%和34%的受访者会用到百度和谷歌,然而这两个搜索引擎覆盖面颇广,经常会出现抗体无关的搜索结果,而专业用于查找抗体的网站,大家却知之甚少。 因此,本次文章中
技术资料暂无技术资料 索取技术资料









