相关产品推荐更多 >
万千商家帮你免费找货
0 人在求购买到急需产品
- 详细信息
- 文献和实验
- 技术资料
- 抗体名:
GAPDH Mouse Monoclonal Antibody
- 抗体英文名:
GAPDH Mouse Monoclonal Antibody
- 靶点:
详见说明书
- 浓度:
1.0mg/ml
- 应用范围:
WB IHC ICC/IF IP FC
- 宿主:
Mouse
- 供应商:
上海钰博生物科技有限公司
- 库存:
大量
- 目录编号:
0038
- 抗原来源:
Mouse
- 保质期:
1年
- 适应物种:
详见说明书
- 标记物:
详见说明书
- 克隆性:
多克隆
- 保存条件:
Store at -20°C
- 形态:
液体或冻干粉
- 亚型:
详见说明书
- 免疫原:
详见说明书
- 规格:
50μg/50μl, 100μg/100μl
-
- Catalog No. : AB0038
- Size : 50μg/50μl, 100μg/100μl
-
- Mol Weight : 36kDa
- UniProt : P04406
-
- Isotype : Mouse IgG
- Clonality : Monoclonal
-
- Price : $165/100μg
- Availability : Ship next day
-
- Rank:
- Download datasheet [PDF] :
- Rank:
Category
- Primary Antibodies
- Secondary antibody
- Loading control / tag antibody
Details
Alternative Names:
aging-associated gene 9 protein; G3P; G3PD; GAPD; GAPDH; glyceraldehyde 3-phosphate dehydrogenase; Glyceraldehyde-3-phosphate dehydrogenase; MGC88685;
Application:
WB IHC ICC/IF IP FC
Reactivity:
H M R Mk Ch Ze Fish
Dilution:
WB 1:3000~1:10000 IHC 1:100~1:500 ICC/IF 1:100~1:250 IP 1:50 FC 1:50
![]() |
Western blot analysis of GAPDH expression in (1) Hela cell lysate; (2)Jurkat cell lysate; (3)Mouse kidney lysate; (4) Mouse spleen lysate; (5) RAW 264.7 cell lysate; (6) Rat brain lysate with GAPDH Mouse Monoclonal Antibody. |
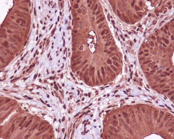
![]() |
Immunohistochemical analysis of paraffin-embedded human colon cancer, using GAPDH Mouse Monoclonal Antibody. |
![]() |
Immunofluorescent analysis of Hela cells, using GAPDH Mouse Monoclonal Antibody . |
Purification:
Affinity-chromatography
Specificity:
GAPDH Mouse Monoclonal Antibody detects endogenous levels of total GAPDH Mouse Monoclonal
Immunogen:
A synthesized peptide derived from human GAPDH Mouse Monoclonal
Description:
Glyceraldehyde 3 phosphate dehydrogenase (GAPDH) is well known as one of the key enzymes involved in glycolysis. GAPDH is constitutively abundant expressed in almost cell types at high levels, therefore antibodies against GAPDH are useful as loading controls for Western Blotting. Some pathology factors, such as hypoxia and diabetes, increased or decreased GAPDH expression in certain cell types.
Storage Condition and Buffer:
Rabbit IgG in phosphate buffered saline , pH 7.4, 150mM NaCl, 0.02% sodium azide and 50% glycerol. Store at +4°C short term. Store at -20°C long term. Avoid freeze / thaw cycle.
风险提示:丁香通仅作为第三方平台,为商家信息发布提供平台空间。用户咨询产品时请注意保护个人信息及财产安全,合理判断,谨慎选购商品,商家和用户对交易行为负责。对于医疗器械类产品,请先查证核实企业经营资质和医疗器械产品注册证情况。
文献和实验Monoclonal Antibody Production
and screening of the hybridomas: 1. Bleeding Mice (1) Place the mouse in a mouse restrainer. (2) Sterilize the tail with 70% ethanol. (3) With a razor blade,nip off the last 2 mm of the tip of the tail. (4) Using a milking motion,pull blood down and let
指仅对一种抗原决定基的纯粹的抗体。这类抗体不可能通过将抗原 胞的 Hybridoma,在试管内制成了纯粹的单克隆抗体。用某种抗原使动物产生免疫感应,对应于抗原之不同部分可制成各种不同的抗体复合体。然而,因为一个产生抗体的细胞,只能产生一种抗体,所以骨髓肿瘤细胞与产生抗体细胞间的细胞杂种,可形成边产生抗体边增殖的 hybridoma,将每个杂种细胞进行克隆(无性繁殖系)培养,则一个克隆的细胞群只由单种类产生同一抗体的细胞所组成,这样得到的就是单克隆抗体。此抗体在测定
GAPDH抗体|GAPDH抗体大全-艾美捷指导您购买合适的GAPDH抗体
,但是进口品牌如Abcam、Millipore、CST等价格偏高,一般在¥3000/100ul左右。下面我们为您推荐三款GAPDH原装进口抗体,分别是美国EarthOx和ProteinTech的产品。EarthOx的Anti-GAPDH Monoclonal Antibody (货号E021010 )是小鼠源的单抗,其效价很高,厂商推荐的WB起始稀释比率为1:1000,实际应用过程中,有使用1:10000或更高的报告,远远高于此稀释比率,说明其免疫效价很高,另外,其检测种属也很多,包括人、牛、猪、小鼠
技术资料暂无技术资料 索取技术资料













