万千商家帮你免费找货
0 人在求购买到急需产品
- 详细信息
- 技术资料
- 靶点:
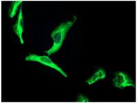
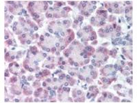
Tenascin C
- 克隆性:
多克隆
- 抗体英文名:
Anti-Tenascin C/Tn-C
- 抗体名:
细胞粘合素(固生蛋白)抗体
- 免疫原:
KLH conjugated synthetic peptide derived from human Tn-C
- 亚型:
IgG
- 形态:
冻干或液体
- 应用范围:
WB,ELISA,IP,ICC等
- 浓度:
1mg/1ml
- 保存条件:
-20 °C
- 规格:
0.1ml/100μg0.2ml/200μg
细胞粘合素(固生蛋白)抗体产品介绍:
英文名称 细胞粘合素(固生蛋白)抗体
中文名称 Anti-Tenascin C/Tn-C
别 名 Cytotactin; Glioma associated extracellular matrix antigen; GMEM; GP 150 225; Hexabrachion; HXB ; JI; Myotendinous antigen; Neuronectin; Tenascin C; TenascinC; TN; TN C; TNC; TENA_HUMAN.
浓 度 1mg/1ml
规 格 0.1ml/100μg 0.2ml/200μg
抗体来源 Rabbit
克隆类型 polyclonal
交叉反应 Human, Mouse, Rat, Pig
产品类型 一抗
研究领域 肿瘤 免疫学
蛋白分子量 predicted molecular weight:239kDa
性 状 Lyophilized or Liquid
免 疫 原 KLH conjugated synthetic peptide derived from human Tn-C
亚 型 IgG
纯化方法 affinity purified by Protein A
储 存 液 0.01M PBS, pH 7.4 with 10 mg/ml BSA and 0.1% Sodium azide
产品应用 WB=1:100-500 ELISA=1:500-1000 IP=1:20-100 IHC-P=1:100-500 IHC-F=1:100-500 IF=1:100-500
细胞粘合素(固生蛋白)抗体产品优势:
表面抗体阳性的基本概述:
乙肝表面抗体是人体的保护性的抗体,主要是乙肝病毒表面抗原刺激人体免疫系统而产生的抗体。它的出现,能中和掉人体内的乙肝病毒。具体保护人体的作用。其英文简写为HBsAb。
1、单项抗-HBs阳性
(1)接种乙肝疫苗成功的标志。
(2)抗-HBs阳性单价格低,有时为非特异性反应。
2、与抗-HBc、抗-HBe同时阳性
3、与HBsAg同时阳性
(1)感染了不同的乙肝病毒亚型。
(2)感染了S基因变异的乙肝病毒。
(3)免疫功能低下,抗-HBs不能清除HBsAg。
4、正处于抗原-抗体动态平衡阶段
4种IgG抗体亚型的区别:
如需订购细胞粘合素(固生蛋白)抗体,敬请咨询我们,其他相关产品:
英文名:Anti-PEG10rabbitpolyclonalantiboy
冷冻(-20℃)避光
兔抗NRTN多克隆抗体
英文名:Anti-NRTNrabbitpolyclonalantiboy
冷冻(-20℃)避光
HA tag标签抗体规格: 0.1mlanti-HA tag
NIR1/RDGBA3 膜相关磷脂转运蛋白抗体规格: 0.2ml
兔抗AKT1多克隆抗体
英文名:Anti-AKT1rabbitpolyclonalantiboy
冷冻(-20℃)避光
兔抗BEX1多克隆抗体
英文名:Anti-BEX1rabbitpolyclonalantiboy
冷冻(-20℃)避光
KCNN4 钙激活钾通道蛋白4抗体规格: 0.1ml
细胞粘合素(固生蛋白)抗体浅玫瑰链霉菌 Streptomyces roseolus
大豆慢生根瘤菌
根瘤菌 Rhizobium sp.
暂无 Saccharomyces boulardii
小鼠肠微血管细胞完全培养基100mL
MTT细胞增殖及细胞毒性检测试剂盒规格:
人非小细胞肺细胞英文名称:
Nei内切核酸酶Ⅷ样蛋白1(NEIL1)重组蛋白英文名称:Recombinant Nei Endonuclease VIII Like Protein 1 (NEIL1)
英文名称 细胞粘合素(固生蛋白)抗体
中文名称 Anti-Tenascin C/Tn-C
别 名 Cytotactin; Glioma associated extracellular matrix antigen; GMEM; GP 150 225; Hexabrachion; HXB ; JI; Myotendinous antigen; Neuronectin; Tenascin C; TenascinC; TN; TN C; TNC; TENA_HUMAN.
浓 度 1mg/1ml
规 格 0.1ml/100μg 0.2ml/200μg
抗体来源 Rabbit
克隆类型 polyclonal
交叉反应 Human, Mouse, Rat, Pig
产品类型 一抗
研究领域 肿瘤 免疫学
蛋白分子量 predicted molecular weight:239kDa
性 状 Lyophilized or Liquid
免 疫 原 KLH conjugated synthetic peptide derived from human Tn-C
亚 型 IgG
纯化方法 affinity purified by Protein A
储 存 液 0.01M PBS, pH 7.4 with 10 mg/ml BSA and 0.1% Sodium azide
产品应用 WB=1:100-500 ELISA=1:500-1000 IP=1:20-100 IHC-P=1:100-500 IHC-F=1:100-500 IF=1:100-500
细胞粘合素(固生蛋白)抗体产品优势:
表面抗体阳性的基本概述:
乙肝表面抗体是人体的保护性的抗体,主要是乙肝病毒表面抗原刺激人体免疫系统而产生的抗体。它的出现,能中和掉人体内的乙肝病毒。具体保护人体的作用。其英文简写为HBsAb。
1、单项抗-HBs阳性
(1)接种乙肝疫苗成功的标志。
(2)抗-HBs阳性单价格低,有时为非特异性反应。
2、与抗-HBc、抗-HBe同时阳性
3、与HBsAg同时阳性
(1)感染了不同的乙肝病毒亚型。
(2)感染了S基因变异的乙肝病毒。
(3)免疫功能低下,抗-HBs不能清除HBsAg。
4、正处于抗原-抗体动态平衡阶段
4种IgG抗体亚型的区别:
如需订购细胞粘合素(固生蛋白)抗体,敬请咨询我们,其他相关产品:
英文名:Anti-PEG10rabbitpolyclonalantiboy
冷冻(-20℃)避光
兔抗NRTN多克隆抗体
英文名:Anti-NRTNrabbitpolyclonalantiboy
冷冻(-20℃)避光
HA tag标签抗体规格: 0.1mlanti-HA tag
NIR1/RDGBA3 膜相关磷脂转运蛋白抗体规格: 0.2ml
兔抗AKT1多克隆抗体
英文名:Anti-AKT1rabbitpolyclonalantiboy
冷冻(-20℃)避光
兔抗BEX1多克隆抗体
英文名:Anti-BEX1rabbitpolyclonalantiboy
冷冻(-20℃)避光
KCNN4 钙激活钾通道蛋白4抗体规格: 0.1ml
细胞粘合素(固生蛋白)抗体浅玫瑰链霉菌 Streptomyces roseolus
大豆慢生根瘤菌
根瘤菌 Rhizobium sp.
暂无 Saccharomyces boulardii
小鼠肠微血管细胞完全培养基100mL
MTT细胞增殖及细胞毒性检测试剂盒规格:
人非小细胞肺细胞英文名称:
Nei内切核酸酶Ⅷ样蛋白1(NEIL1)重组蛋白英文名称:Recombinant Nei Endonuclease VIII Like Protein 1 (NEIL1)
风险提示:丁香通仅作为第三方平台,为商家信息发布提供平台空间。用户咨询产品时请注意保护个人信息及财产安全,合理判断,谨慎选购商品,商家和用户对交易行为负责。对于医疗器械类产品,请先查证核实企业经营资质和医疗器械产品注册证情况。
技术资料暂无技术资料 索取技术资料
细胞粘合素(固生蛋白)抗体
询价









