万千商家帮你免费找货
0 人在求购买到急需产品
- 详细信息
- 询价记录
- 文献和实验
- 技术资料
- 库存:
大量
- 英文名:
Propionibacteriumacnes(Gilchrist)DouglasandGunterdepositedasCorynebacteriumacnes
- 保质期:
1-2年
- 供应商:
上海联迈生物工程有限公司
- 保存条件:
斜面菌种:1-2个月。冻干菌种:5-10年
- 规格:
冻干粉一支
痤疮丙酸杆菌
资源名称 痤疮丙酸杆菌
种属 Propionibacteriumacnes(Gilchrist)DouglasandGunterdepositedasCorynebacteriumacnes
安全等级 1
模式菌株 no
应用领域 生产多糖免疫剂、厌氧鉴定控制菌株、API质量控制菌株
培养方法
培养基 55
- 生长条件 37℃
1、安瓿瓶开封:用浸过75%酒精的脱脂棉擦净安瓿管,用火焰加热其顶端,滴少量无菌水至加热顶端使之破裂,用锉刀或者镊子敲下已破裂的安瓿管顶端。
2、菌株恢复培养:用无菌吸管吸取0.3--0.5ml适宜的液体培养基,滴入安瓿管内,轻轻振荡,使冻干菌体溶解呈悬浮状。吸取全部菌体悬浮液,移植于1-2支建议的培养基试管中,并在建议的条件下培养。
3、注意事项:菌种活化前,请将安瓿管保存在6-10℃的环境下,某些菌种经过冷冻干燥保存后,延迟期较长,需要连续两次继代培养才能正常生长
4、复苏后的菌种在传1-2代后使用。
5、暂不启开的安瓿及复苏后需保藏的斜面应于4℃中保藏。
痤疮丙酸杆菌低温存法
①简单保存法,将琼脂斜面孢子培养物、菌丝悬浮液以及由麸皮、大米、小米等谷物原料制成的孢子培养物置于4℃冰箱保存,保存时间不超过1~2个月,若将谷物原料制备的孢子瓶抽真空并在棉塞上浸蜡,以隔绝外界空气和水汽,保持时间可达3~4个月;②液氮超低温保存法,将生长稳定期的细胞悬浮在10%甘油或其他低冰点液体中,密封于安瓿管内,然后控制冷却速度,使安瓿管温度逐步下降至 -35℃时,即可置于-150~-196℃的液氮罐中保存。大多数微生物如病毒、噬菌体、多种细菌、放线菌、酵母和原虫、特别是一些用冷冻干燥法有困难的微生物,都可用此法长期保存。
痤疮丙酸杆菌脱水存法
①沙土保存法,能产孢子的细菌、放线菌及霉菌可采用此法保存,即将沙和土以3:2比例混合,经稀酸处理洗净过筛,装入小试管内,装置高度为1cm;灭菌2~3次,烘干后即可将在斜面培养基上生长良好的孢子,用无菌蒸馏水2~2.5ml制成孢子悬液,吸取少许加入沙土管中,经真空抽干,外观呈松散状态,于4℃冰箱保存,保存期可达5~7年。
② 冷冻干燥法,将孢子悬浮液与保护剂(一般用脱脂牛奶或血清)相混合,放在安瓿管内于-20~-30℃的乙醇浴中速冻。然后,在低温下用真空泵抽干,并用五氧化二磷或干冰使水汽结冻,熔封安瓿管,于低温下保存。保存期可达5~10年之久。
③ 石蜡油封存法,在斜面菌种培养物上,倒上灭菌后的石蜡油,高出斜面1cm,于4℃冰箱或低温干燥处保存,此法不适用于能利用石蜡油作碳源的微生物,保存期为一年以上。
痤疮丙酸杆菌特别注意事项
l、微生物菌种应保藏于低温、清洁和干燥的地方,室温放置时问过长会导致菌种衰退;
2、菌种操作应在无菌条件下进行,防止杂菌污染:
3、斜面菌种保藏时间通常为1-2个月,应根据菌种状况及时转接;冻干菌种保藏时间通常为5~10年;
4、菌种使用过程中如出现杂菌污染或菌种生产性能下降,应及时与我公司联系或更换新的菌种。
使优良菌种的性状保持稳定,人为地创造条件,使菌种的新陈代谢活动处于不活泼状态,即选取优良菌种的休眠体(孢子或芽孢)或富有生命力的悬浮液在低温或脱水状态下保存。
风险提示:丁香通仅作为第三方平台,为商家信息发布提供平台空间。用户咨询产品时请注意保护个人信息及财产安全,合理判断,谨慎选购商品,商家和用户对交易行为负责。对于医疗器械类产品,请先查证核实企业经营资质和医疗器械产品注册证情况。
- 作者
- 内容
- 询问日期
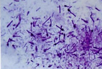
文献和实验痤疮丙酸杆菌 痤疮丙酸杆菌(Propionibacterium acnes),也称痤疮杆菌、疮疱丙酸杆菌,是造成青春痘的主要细菌。基因组研究显示该细菌的几个基因能够制造一些分解皮肤组织的酶和免疫原性的蛋白质医学教育网搜|集整理。 痤疮丙酸杆菌是一种革兰染色阳性的厌氧短杆菌,细胞内寄生,属于皮肤的正常菌群,一般寄居在皮肤的毛囊及皮脂腺中。随着青少年的发育成熟,毛囊口出现角栓,皮脂腺分泌功能也明显增加,因皮脂含有较多脂肪酸等成分,适合P. acnes的生长及繁殖,从而成为痤疮
痤疮是一种毛囊皮脂腺单位的慢性炎症,临床表现为粉刺、丘疹、脓皰、结节、囊肿等损害,好发于颜面、胸背,多见于青年男女。多数认为与雄激素、皮脂腺和毛囊内微生物密切相关。此外,遗传、饮食、胃肠功能、环境因素、化妆品及精神因素亦与发病有关。 临床表现 1.损害呈多形性,最早典型皮损为位于毛囊口的粉刺,分白头粉刺和黑头粉刺两种,在发展过程中可产生红色丘疹、脓皰、结节、脓肿、囊肿及疤痕; 2.皮损好发颜面部,尤其是前额、颊部、颏部,其次为胸背和肩胛间节,对称
痤疮一般发生在面部、背部、胸部等皮脂腺丰富的部位,主要表现为粉刺、丘疹和结节囊肿。痤疮患者往往油脂分泌旺盛,早期损害为白头粉刺或黑头粉刺,继发感染后则形成炎性丘疹、脓疱,严重时形成结节、囊肿,后期形成瘢痕等。皮损主要分布于面部,特别是前额、双颊、颏部,其次为胸、背、肩等部位。痤疮的预后因严重性和治疗而差异很大,一般在粉刺阶段治疗后不留瘢痕,轻度炎症性痤疮治疗后也不留疤痕,而结节囊肿有明显的组织破坏,愈后可留疤痕。严重的痤疮如聚合性痤疮、爆发性痤疮、面部脓皮病等则往往形成明显的不可逆性瘢
技术资料暂无技术资料 索取技术资料









