万千商家帮你免费找货
0 人在求购买到急需产品
- 详细信息
- 技术资料
- 靶点:
Ser1420
- 克隆性:
多克隆
- 抗体英文名:
Anti-Phospho-Tuberin/TSC2(Ser1420)
- 抗体名:
磷酸化结节性硬化蛋白抗体
- 免疫原:
KLH conjugated Synthesised phosphopeptide derived from human Tuberin around the phosphorylation site of Ser1420
- 亚型:
IgG
- 形态:
冻干或液体
- 应用范围:
WB,ELISA,IP,ICC等
- 浓度:
1mg/1ml
- 保存条件:
-20 °C
- 规格:
0.1ml/100μg
本品仅供学校实验室使用或者其他科研项目,不做其他用途!
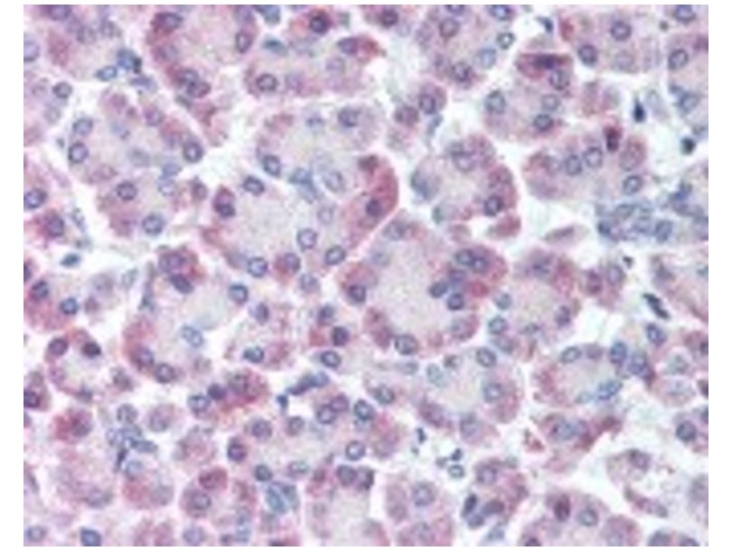
磷酸化结节性硬化蛋白抗体产品资料:
英文名称 磷酸化结节性硬化蛋白抗体
中文名称 Anti-Phospho-Tuberin/TSC2(Ser1420)
别 名 TSC2(phospho S1420);FLJ43106; LAM; TSC2; TSC2_HUMAN; TSC4; Tuberin; Tuberous sclerosis 2 protein.
浓 度 1mg/1ml
规 格 0.1ml/100μg
抗体来源 Rabbit
克隆类型 polyclonal
交叉反应 Human, Mouse, Rat, Chicken, Dog, Pig, Cow, Horse
产品类型 一抗 磷酸化抗体
研究领域 肿瘤 免疫学 神经生物学
蛋白分子量 predicted molecular weight:200kDa
性 状 Lyophilized or Liquid
免 疫 原 KLH conjugated Synthesised phosphopeptide derived from human Tuberin around the phosphorylation site of Ser1420
亚 型 IgG
纯化方法 affinity purified by Protein A
储 存 液 0.01M PBS, pH 7.4 with 10 mg/ml BSA and 0.1% Sodium azide
产品应用 WB=1:100-500 ELISA=1:500-1000 IP=1:20-100 IHC-P=1:100-500 IHC-F=1:100-500 IF=1:100-500
公司优势:
我司在生物科技领域已立足多年,虽然一路走来很艰难,但是也抗住了大风大浪,并且越来越壮大。专业实力方面,我们的科技人员是专业的,我们的营销人员是专业的,我们的服务是专业的,在实力方面,我们拥有一批爱好钻研的科技人才,攻坚克难就是我们的态度。
我司已经与多家单位建立了合作,包括高等院校、科研院所、医学院以及相关的企业等,合作伙伴多,客户的针对性强,主要服务于生命科学、医学等方面的科研人员以及研究员、学生等;
我司还与国际接轨,代理着许多知名进口品牌,以填补国内需求的空缺。
如需订购,敬请详询我们!
抗体、抗原之间的关系:
抗原是人体免疫系统中需要被清除的东西,诸如病毒、细菌、寄生虫、过敏原等等,而身体里的免疫细胞会主动产生一种专门与其“对抗”或者“结合”抗原的物质,这就是抗体。这种抗原-抗体反应是人体的一种保护机制,使人从疾病中恢复健康或不得病。
有时,抗原和抗体也会相结合,形成抗原-抗体免疫复合物,反而对人体不利,例如乙型溶血性链球菌感染所致的猩红热,在恢复期,由于链球菌与人的肾小球基底膜具有共同的抗原性,就会导致免疫系统产生抗肾小球基底膜抗体,并与肾细胞上的抗原发生结合,形成抗原-抗体免疫复合物,诱导免疫系统,激活补体,导致链球菌感染后的急性肾炎。
大多数情况下,抗原是外来的,抗体是机体免疫系统自产的。但有时,抗原抗体都是机体自产的。如自身免疫性疾病,免疫系统误把自身的细胞当成抗原产生抗体,用自产的抗体和自身的细胞打仗,导致人体的健康问题。有时,抗原是自产的,抗体却可以外来。例如肿瘤细胞就是自产的抗原,人类可以利用单克隆技术制成抗体用于肿瘤的治疗。
抗体和抗原之间的关系复杂,要探究这期间的奥秘,还有漫长的路要走。
与磷酸化结节性硬化蛋白抗体相关的更多优势产品:
兔抗TYMK多克隆抗体
英文名:Anti-TYMKrabbitpolyclonalantiboy
冷冻(-20℃)避光
兔抗AGRF5多克隆抗体
英文名:Anti-AGRF5rabbitpolyclonalantiboy
冷冻(-20℃)避光
英文名:Anti-SPON1rabbitpolyclonalantiboy
冷冻(-20℃)避光
RNF14 环指蛋白14抗体规格: 0.2mlNPC1/Niemann Pick C1 尼曼匹克C1前体蛋白抗体规格: 0.2ml
兔抗FLT3LG多克隆抗体
英文名:Anti-FLT3LGrabbitpolyclonalantiboy
冷冻(-20℃)避光
兔抗SLC5A11多克隆抗体
英文名:Anti-SLC5A11rabbitpolyclonalantiboy
冷冻(-20℃)避光
兔抗STK32C多克隆抗体
英文名:Anti-STK32Crabbitpolyclonalantiboy
冷冻(-20℃)避光
磷酸化结节性硬化蛋白抗体细胞周期与细胞凋亡检测试剂盒玉蜀黍赤霉 Gibberella zeae
大鼠子宫成纤维细胞完全培养基三叶草根瘤菌 Rhizobium trifolii
屎肠球菌 Enterococcus faecium粪产碱菌 Alcaligenes facelis
酿酒酵母 Saccharomyces cerevisiae
小鼠皮层神经胶质细胞(EGFP标记)
QBC-939, 人胆管细胞 Human
酸球菌亚种 Lactococcus lactis subsp.lactis
大豆慢生根瘤菌 Bradyrhizobium japonicum
磷酸化结节性硬化蛋白抗体产品资料:
英文名称 磷酸化结节性硬化蛋白抗体
中文名称 Anti-Phospho-Tuberin/TSC2(Ser1420)
别 名 TSC2(phospho S1420);FLJ43106; LAM; TSC2; TSC2_HUMAN; TSC4; Tuberin; Tuberous sclerosis 2 protein.
浓 度 1mg/1ml
规 格 0.1ml/100μg
抗体来源 Rabbit
克隆类型 polyclonal
交叉反应 Human, Mouse, Rat, Chicken, Dog, Pig, Cow, Horse
产品类型 一抗 磷酸化抗体
研究领域 肿瘤 免疫学 神经生物学
蛋白分子量 predicted molecular weight:200kDa
性 状 Lyophilized or Liquid
免 疫 原 KLH conjugated Synthesised phosphopeptide derived from human Tuberin around the phosphorylation site of Ser1420
亚 型 IgG
纯化方法 affinity purified by Protein A
储 存 液 0.01M PBS, pH 7.4 with 10 mg/ml BSA and 0.1% Sodium azide
产品应用 WB=1:100-500 ELISA=1:500-1000 IP=1:20-100 IHC-P=1:100-500 IHC-F=1:100-500 IF=1:100-500
公司优势:
我司在生物科技领域已立足多年,虽然一路走来很艰难,但是也抗住了大风大浪,并且越来越壮大。专业实力方面,我们的科技人员是专业的,我们的营销人员是专业的,我们的服务是专业的,在实力方面,我们拥有一批爱好钻研的科技人才,攻坚克难就是我们的态度。
我司已经与多家单位建立了合作,包括高等院校、科研院所、医学院以及相关的企业等,合作伙伴多,客户的针对性强,主要服务于生命科学、医学等方面的科研人员以及研究员、学生等;
我司还与国际接轨,代理着许多知名进口品牌,以填补国内需求的空缺。
如需订购,敬请详询我们!
抗体、抗原之间的关系:
抗原是人体免疫系统中需要被清除的东西,诸如病毒、细菌、寄生虫、过敏原等等,而身体里的免疫细胞会主动产生一种专门与其“对抗”或者“结合”抗原的物质,这就是抗体。这种抗原-抗体反应是人体的一种保护机制,使人从疾病中恢复健康或不得病。
有时,抗原和抗体也会相结合,形成抗原-抗体免疫复合物,反而对人体不利,例如乙型溶血性链球菌感染所致的猩红热,在恢复期,由于链球菌与人的肾小球基底膜具有共同的抗原性,就会导致免疫系统产生抗肾小球基底膜抗体,并与肾细胞上的抗原发生结合,形成抗原-抗体免疫复合物,诱导免疫系统,激活补体,导致链球菌感染后的急性肾炎。
大多数情况下,抗原是外来的,抗体是机体免疫系统自产的。但有时,抗原抗体都是机体自产的。如自身免疫性疾病,免疫系统误把自身的细胞当成抗原产生抗体,用自产的抗体和自身的细胞打仗,导致人体的健康问题。有时,抗原是自产的,抗体却可以外来。例如肿瘤细胞就是自产的抗原,人类可以利用单克隆技术制成抗体用于肿瘤的治疗。
抗体和抗原之间的关系复杂,要探究这期间的奥秘,还有漫长的路要走。
与磷酸化结节性硬化蛋白抗体相关的更多优势产品:
兔抗TYMK多克隆抗体
英文名:Anti-TYMKrabbitpolyclonalantiboy
冷冻(-20℃)避光
兔抗AGRF5多克隆抗体
英文名:Anti-AGRF5rabbitpolyclonalantiboy
冷冻(-20℃)避光
英文名:Anti-SPON1rabbitpolyclonalantiboy
冷冻(-20℃)避光
RNF14 环指蛋白14抗体规格: 0.2mlNPC1/Niemann Pick C1 尼曼匹克C1前体蛋白抗体规格: 0.2ml
兔抗FLT3LG多克隆抗体
英文名:Anti-FLT3LGrabbitpolyclonalantiboy
冷冻(-20℃)避光
兔抗SLC5A11多克隆抗体
英文名:Anti-SLC5A11rabbitpolyclonalantiboy
冷冻(-20℃)避光
兔抗STK32C多克隆抗体
英文名:Anti-STK32Crabbitpolyclonalantiboy
冷冻(-20℃)避光
磷酸化结节性硬化蛋白抗体细胞周期与细胞凋亡检测试剂盒玉蜀黍赤霉 Gibberella zeae
大鼠子宫成纤维细胞完全培养基三叶草根瘤菌 Rhizobium trifolii
屎肠球菌 Enterococcus faecium粪产碱菌 Alcaligenes facelis
酿酒酵母 Saccharomyces cerevisiae
小鼠皮层神经胶质细胞(EGFP标记)
QBC-939, 人胆管细胞 Human
酸球菌亚种 Lactococcus lactis subsp.lactis
大豆慢生根瘤菌 Bradyrhizobium japonicum
风险提示:丁香通仅作为第三方平台,为商家信息发布提供平台空间。用户咨询产品时请注意保护个人信息及财产安全,合理判断,谨慎选购商品,商家和用户对交易行为负责。对于医疗器械类产品,请先查证核实企业经营资质和医疗器械产品注册证情况。
技术资料暂无技术资料 索取技术资料
磷酸化结节性硬化蛋白抗体
询价









