万千商家帮你免费找货
0 人在求购买到急需产品
- 详细信息
- 技术资料
- 供应商:
上海莼试
- 库存:
15
- 靶点:
C1orf33
- 克隆性:
多克隆
- 保质期:
详见说明书
- 抗体英文名:
Anti-C1orf33
- 抗体名:
1号染色体开放阅读框33抗体
- 标记物:
HRP等
- 宿主:
鼠,牛,马,兔,羊等
- 适应物种:
Human, Mouse, Rat等
- 亚型:
IgG
- 形态:
液体或固体
- 应用范围:
WB IHC-P IHC-F IF
- 浓度:
10mg/ml
- 保存条件:
密封保存
- 规格:
100ul
产品名称:1号染色体开放阅读框33抗体
英文名称:Anti-C1orf33
库存地:上海库
货期:现货
价格:以咨询为准!
用途:仅供高校实验室以及科研单位使用
公司优势:
1.拥有一批专业高效的团队,专门解决客户在实验过程中遇到的各种难题;
2.多年的应用经验积累;
3. 1号染色体开放阅读框33抗体规格牌号齐全,满足不同客户的使用需求;
4.库存充足,供货周期短,能解决客户的急需问题;
5.我们秉承诚信至上、务实做事的信条,是客户值得信赖的合作伙伴。
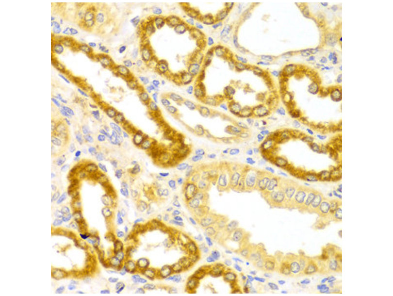
免疫组化结果分析:
1、首先要确定免疫组化技术是否合格,合格的染色结果应该是背景颜色浅淡或无着色,而阳性标志物清晰和定位明确。
切片中的正常组织可以作为最简便的对照来判断染色结果的可靠与否,例如用Vimentin抗体,间质成纤维细胞利血管壁平滑肌细胞胞浆应呈阳性。肯定为阳性的对照组织却呈阴性,待测组织的染色结果也就不可靠;这现象常是由于抗体失效或过度稀释、组织中抗原严重丢失等。
2、不仅要判断所检组织中有或无阳性标记物,还要注意阳性信号的分布部位和形态特征。
一般说来,阳性信号应与被测抗原所在的部位一致,大部分细胞抗原位于胞质内,其中亦有区别,有的阳性颗粒弥散于整个细胞的胞质,有的则呈斑块状局限于胞浆某处。还有些抗原同时分布于胞质和胞膜(如胃肠腺癌细胞的EMA),或核与胞质(如S-100、HMB-45)。同一种抗原在不同类型的细胞可定位不同,因而分布的特点也有一定的鉴别意义。
1号染色体开放阅读框33抗体相关的其他优势产品:
5号染色体开放阅读框49抗体
6号染色体开放阅读框106抗体
6号染色体开放阅读框115抗体
6号染色体开放阅读框123抗体
6号染色体开放阅读框129抗体
RIPA裂解液(强中弱套装) 询价
RIPA裂解液(强) 询价
PVDF膜(0.45μm) 询价
PVDF膜(0.22μm) 询价
PMSF (100mM) 询价
细胞色素CYP2D1抗体 Anti-Cytochrome P450 2D1 WB IHC-P IHC-F IF 100ul
视网膜母细胞瘤结合蛋白8抗体 Anti-CtIP WB IHC-P IHC-F IF 100ul
10号染色体开放阅读框93抗体 Anti-C10orf93 WB IHC-P IHC-F IF 100ul
10号染色体开放阅读框63抗体 Anti-C10orf63 WB IHC-P IHC-F IF 100ul
10号染色体开放阅读框132抗体 Anti-C10orf132 WB IHC-P IHC-F IF 100ul
小鼠神经胶质纤维酸性蛋白(GFAP)ELISA试剂盒 ,英文名: GFAP ELISA Kit
小鼠胎盘生长因子(PLGF)ELISA检测试剂盒Mouseplaceagrowthfactor,PLGFELISAkit 96T/48T
人甘露糖(Mannose)免疫试剂盒 Human Mannose ELISA Kit
RatInhibinbindingprotein,INHBPELISAKit大鼠抑制素结合蛋白(INHBP)ELISA试剂盒规格:96T/48T
BrdU标记法细胞繁殖荧光显微镜检测试剂盒10/20次
Mousekeratinocyteaocrinefactor/Amphiregulin,KAF/ARELISA试剂盒小鼠角化细胞内分泌因子(KAF)/双调蛋白(AR)ELISA试剂盒规格:96T/48T
1号染色体开放阅读框33抗体豚鼠白介素6(IL-6)ELISA 试剂盒 96T/48T 试剂盒 组装/原装
Rat angiotensinogen (aGT) ELISA Kit 大鼠血管紧张素原(aGT)ELISA试剂盒
HumanAi-proteinase3aibodyIgG,PR3Ab-IgGELISAKit 人抗蛋白酶3抗体IgG(PR3Ab-IgG)ELISA试剂盒 96T/48T 进口分装
HumancyclophilinA,CyPAELISA试剂盒人嗜环蛋白/亲环素A(CyPA)ELISA试剂盒规格:96T/48T
组织GSK3激酶总活性定量检测试剂盒(A/B/C)20次
HumanPolyADPribosepolymerase,PARPELISAKit人多聚ADP核糖聚合酶(PARP)ELISA试剂盒规格:96T/48T
英文名称:Anti-C1orf33
库存地:上海库
货期:现货
价格:以咨询为准!
用途:仅供高校实验室以及科研单位使用
公司优势:
1.拥有一批专业高效的团队,专门解决客户在实验过程中遇到的各种难题;
2.多年的应用经验积累;
3. 1号染色体开放阅读框33抗体规格牌号齐全,满足不同客户的使用需求;
4.库存充足,供货周期短,能解决客户的急需问题;
5.我们秉承诚信至上、务实做事的信条,是客户值得信赖的合作伙伴。
免疫组化结果分析:
1、首先要确定免疫组化技术是否合格,合格的染色结果应该是背景颜色浅淡或无着色,而阳性标志物清晰和定位明确。
切片中的正常组织可以作为最简便的对照来判断染色结果的可靠与否,例如用Vimentin抗体,间质成纤维细胞利血管壁平滑肌细胞胞浆应呈阳性。肯定为阳性的对照组织却呈阴性,待测组织的染色结果也就不可靠;这现象常是由于抗体失效或过度稀释、组织中抗原严重丢失等。
2、不仅要判断所检组织中有或无阳性标记物,还要注意阳性信号的分布部位和形态特征。
一般说来,阳性信号应与被测抗原所在的部位一致,大部分细胞抗原位于胞质内,其中亦有区别,有的阳性颗粒弥散于整个细胞的胞质,有的则呈斑块状局限于胞浆某处。还有些抗原同时分布于胞质和胞膜(如胃肠腺癌细胞的EMA),或核与胞质(如S-100、HMB-45)。同一种抗原在不同类型的细胞可定位不同,因而分布的特点也有一定的鉴别意义。
1号染色体开放阅读框33抗体相关的其他优势产品:
5号染色体开放阅读框49抗体
6号染色体开放阅读框106抗体
6号染色体开放阅读框115抗体
6号染色体开放阅读框123抗体
6号染色体开放阅读框129抗体
RIPA裂解液(强中弱套装) 询价
RIPA裂解液(强) 询价
PVDF膜(0.45μm) 询价
PVDF膜(0.22μm) 询价
PMSF (100mM) 询价
细胞色素CYP2D1抗体 Anti-Cytochrome P450 2D1 WB IHC-P IHC-F IF 100ul
视网膜母细胞瘤结合蛋白8抗体 Anti-CtIP WB IHC-P IHC-F IF 100ul
10号染色体开放阅读框93抗体 Anti-C10orf93 WB IHC-P IHC-F IF 100ul
10号染色体开放阅读框63抗体 Anti-C10orf63 WB IHC-P IHC-F IF 100ul
10号染色体开放阅读框132抗体 Anti-C10orf132 WB IHC-P IHC-F IF 100ul
小鼠神经胶质纤维酸性蛋白(GFAP)ELISA试剂盒 ,英文名: GFAP ELISA Kit
小鼠胎盘生长因子(PLGF)ELISA检测试剂盒Mouseplaceagrowthfactor,PLGFELISAkit 96T/48T
人甘露糖(Mannose)免疫试剂盒 Human Mannose ELISA Kit
RatInhibinbindingprotein,INHBPELISAKit大鼠抑制素结合蛋白(INHBP)ELISA试剂盒规格:96T/48T
BrdU标记法细胞繁殖荧光显微镜检测试剂盒10/20次
Mousekeratinocyteaocrinefactor/Amphiregulin,KAF/ARELISA试剂盒小鼠角化细胞内分泌因子(KAF)/双调蛋白(AR)ELISA试剂盒规格:96T/48T
1号染色体开放阅读框33抗体豚鼠白介素6(IL-6)ELISA 试剂盒 96T/48T 试剂盒 组装/原装
Rat angiotensinogen (aGT) ELISA Kit 大鼠血管紧张素原(aGT)ELISA试剂盒
HumanAi-proteinase3aibodyIgG,PR3Ab-IgGELISAKit 人抗蛋白酶3抗体IgG(PR3Ab-IgG)ELISA试剂盒 96T/48T 进口分装
HumancyclophilinA,CyPAELISA试剂盒人嗜环蛋白/亲环素A(CyPA)ELISA试剂盒规格:96T/48T
组织GSK3激酶总活性定量检测试剂盒(A/B/C)20次
HumanPolyADPribosepolymerase,PARPELISAKit人多聚ADP核糖聚合酶(PARP)ELISA试剂盒规格:96T/48T
风险提示:丁香通仅作为第三方平台,为商家信息发布提供平台空间。用户咨询产品时请注意保护个人信息及财产安全,合理判断,谨慎选购商品,商家和用户对交易行为负责。对于医疗器械类产品,请先查证核实企业经营资质和医疗器械产品注册证情况。
技术资料暂无技术资料 索取技术资料
1号染色体开放阅读框33抗体
询价









