万千商家帮你免费找货
0 人在求购买到急需产品
- 详细信息
- 技术资料
- 靶点:
OCLN
- 克隆性:
多克隆
- 抗体英文名:
Anti-OCLN/Occludin
- 抗体名:
紧密连接蛋白抗体
- 免疫原:
KLH conjugated synthetic peptide derived from mouse OCLN C-terminus
- 亚型:
IgG
- 形态:
冻干或液体
- 应用范围:
WB,ELISA,IP,ICC等
- 浓度:
1mg/1ml
- 保存条件:
-20 °C
- 规格:
0.1ml/100μg0.2ml/200μg
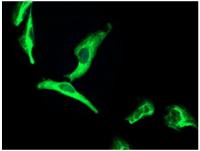
紧密连接蛋白抗体产品描述:
英文名称 紧密连接蛋白抗体
中文名称 Anti-OCLN/Occludin
别 名 Occludin, Occludin-1; Occludin1; Occludin 1; FLJ08163; BLCPMG; FLJ18079; FLJ77961; FLJ94056; MGC34277; Occludin; OCLN; OCLN_HUMAN; Tight junction protein occludin.
浓 度 1mg/1ml
规 格 0.1ml/100μg 0.2ml/200μg
抗体来源 Rabbit
克隆类型 polyclonal
交叉反应 Human, Mouse, Rat, Dog, Pig, Cow, Horse, Guinea Pig
产品类型 一抗
研究领域 细胞生物 免疫学 转录调节因子 细胞粘附分子
蛋白分子量 predicted molecular weight:57kDa
性 状 Lyophilized or Liquid
免 疫 原 KLH conjugated synthetic peptide derived from mouse OCLN C-terminus
亚 型 IgG
纯化方法 affinity purified by Protein A
储 存 液 0.01M PBS, pH 7.4 with 10 mg/ml BSA and 0.1% Sodium azide
产品应用 WB=1:100-500 ELISA=1:500-1000 IP=1:20-100 IHC-P=1:100-500 IHC-F=1:100-500 IF=1:100-500
紧密连接蛋白抗体订购说明:
几种抗体概述:
1.抗角蛋白抗体(AKA),又称为抗丝集蛋白抗体或抗角质层抗体。AKA是类风湿关节炎早期诊断和判断预后的指标之一,其对RA患者的诊断的特异性为94% ,而其敏感性为47% ,并是一种鉴别RA和与多发性关节炎相关的丙型肝炎患者的有效检验标记物。
2.抗核周因子( APF), 是定位于口腔黏附膜细胞胞质内的颗粒性蛋白复合物。可在RA患者的血清和关节液中测出,与性别、年龄无关。APF显示了较强的特异性(73%~99%)和敏感性。用间接免疫荧光法检测,方法精密度较差。
3.抗环瓜氨酸肽抗体(CCP),具有相对好的敏感度和特异性。其实,抗核周因子和抗角蛋白抗体,与CCP在化学结构上具有相关性,它们的表位都含有瓜氨酸,称为瓜氨酸相关自身免疫系统。
紧密连接蛋白抗体实验流程:
公司还提供:
小鼠抗ZsYellow1单克隆抗体
英文名:Anti-ZsYellow1mousemonoclonalantiboy
冷冻(-20℃)避光
Rabbit Anti-chicken IgG/Alexa Fluor 555 Alexa Fluor 555标记的兔抗鸡IgG规格: 0.1mlRabbit Anti-Monkey IgM/PE-Cy3 PE-Cy3标记的兔抗猴IgM规格: 0.1ml
兔抗TAF15多克隆抗体
英文名:Anti-TAF15rabbitpolyclonalantiboy
冷冻(-20℃)避光
兔抗KLRC1多克隆抗体
英文名:Anti-KLRC1rabbitpolyclonalantiboy
冷冻(-20℃)避光
BubR1 有丝分裂检验点蛋白BubR1抗体规格: 0.2ml
兔抗CALB2多克隆抗体
英文名:Anti-CALB2rabbitpolyclonalantiboy
冷冻(-20℃)避光
兔抗ZNF22多克隆抗体
英文名:Anti-ZNF22rabbitpolyclonalantiboy
冷冻(-20℃)
紧密连接蛋白抗体Yeast Protein Extraction Kit/酵母蛋白抽提试剂盒羽扇豆根瘤菌 Bradyrhizobium lupini
中慢生华癸根瘤菌 Mesorhizobium huakuii苜蓿中华根瘤菌
烟曲霉 Aspergillus fumigatus金色链霉菌 Streptomyces aureus
酿酒酵母 Saccharomyces cerevisiae豇豆慢生根瘤菌 Bradyrhizobium vigna
大豆慢生根瘤菌 Bradyrhizobium japonicum嗜热链球菌 Streptococcus thermophilus
椭圆酿酒酵母 Saccharomyces cerevisiae var.ellipsoideus人神经少突起前质胶质细胞完全培养基
293A,人胚肾上皮细胞系(腺病毒包装级别)HFF-1(人成纤维细胞)
大鼠主动脉内皮细胞完全培养基BSA标准梯度浓度试剂盒(即用型)-BSA
英文名称 紧密连接蛋白抗体
中文名称 Anti-OCLN/Occludin
别 名 Occludin, Occludin-1; Occludin1; Occludin 1; FLJ08163; BLCPMG; FLJ18079; FLJ77961; FLJ94056; MGC34277; Occludin; OCLN; OCLN_HUMAN; Tight junction protein occludin.
浓 度 1mg/1ml
规 格 0.1ml/100μg 0.2ml/200μg
抗体来源 Rabbit
克隆类型 polyclonal
交叉反应 Human, Mouse, Rat, Dog, Pig, Cow, Horse, Guinea Pig
产品类型 一抗
研究领域 细胞生物 免疫学 转录调节因子 细胞粘附分子
蛋白分子量 predicted molecular weight:57kDa
性 状 Lyophilized or Liquid
免 疫 原 KLH conjugated synthetic peptide derived from mouse OCLN C-terminus
亚 型 IgG
纯化方法 affinity purified by Protein A
储 存 液 0.01M PBS, pH 7.4 with 10 mg/ml BSA and 0.1% Sodium azide
产品应用 WB=1:100-500 ELISA=1:500-1000 IP=1:20-100 IHC-P=1:100-500 IHC-F=1:100-500 IF=1:100-500
紧密连接蛋白抗体订购说明:
| 价格 | 价格以市场走向为准,准确的报价还请客户向我们咨询; |
| 供应 | 我司产品一般都是现货直销,但不排除供应紧张的情况,无论新老客户,提前订购,都能够百分百获得新出厂的批次; |
| 运输 | 支持快递包邮,当天下单即可当天发货; |
| 售后 | 我司提供周到的售后服务,支持退换货,后期如遇技术难题,还可获取我司的技术咨询和帮助。 |
几种抗体概述:
1.抗角蛋白抗体(AKA),又称为抗丝集蛋白抗体或抗角质层抗体。AKA是类风湿关节炎早期诊断和判断预后的指标之一,其对RA患者的诊断的特异性为94% ,而其敏感性为47% ,并是一种鉴别RA和与多发性关节炎相关的丙型肝炎患者的有效检验标记物。
2.抗核周因子( APF), 是定位于口腔黏附膜细胞胞质内的颗粒性蛋白复合物。可在RA患者的血清和关节液中测出,与性别、年龄无关。APF显示了较强的特异性(73%~99%)和敏感性。用间接免疫荧光法检测,方法精密度较差。
3.抗环瓜氨酸肽抗体(CCP),具有相对好的敏感度和特异性。其实,抗核周因子和抗角蛋白抗体,与CCP在化学结构上具有相关性,它们的表位都含有瓜氨酸,称为瓜氨酸相关自身免疫系统。
紧密连接蛋白抗体实验流程:
公司还提供:
小鼠抗ZsYellow1单克隆抗体
英文名:Anti-ZsYellow1mousemonoclonalantiboy
冷冻(-20℃)避光
Rabbit Anti-chicken IgG/Alexa Fluor 555 Alexa Fluor 555标记的兔抗鸡IgG规格: 0.1mlRabbit Anti-Monkey IgM/PE-Cy3 PE-Cy3标记的兔抗猴IgM规格: 0.1ml
兔抗TAF15多克隆抗体
英文名:Anti-TAF15rabbitpolyclonalantiboy
冷冻(-20℃)避光
兔抗KLRC1多克隆抗体
英文名:Anti-KLRC1rabbitpolyclonalantiboy
冷冻(-20℃)避光
BubR1 有丝分裂检验点蛋白BubR1抗体规格: 0.2ml
兔抗CALB2多克隆抗体
英文名:Anti-CALB2rabbitpolyclonalantiboy
冷冻(-20℃)避光
兔抗ZNF22多克隆抗体
英文名:Anti-ZNF22rabbitpolyclonalantiboy
冷冻(-20℃)
紧密连接蛋白抗体Yeast Protein Extraction Kit/酵母蛋白抽提试剂盒羽扇豆根瘤菌 Bradyrhizobium lupini
中慢生华癸根瘤菌 Mesorhizobium huakuii苜蓿中华根瘤菌
烟曲霉 Aspergillus fumigatus金色链霉菌 Streptomyces aureus
酿酒酵母 Saccharomyces cerevisiae豇豆慢生根瘤菌 Bradyrhizobium vigna
大豆慢生根瘤菌 Bradyrhizobium japonicum嗜热链球菌 Streptococcus thermophilus
椭圆酿酒酵母 Saccharomyces cerevisiae var.ellipsoideus人神经少突起前质胶质细胞完全培养基
293A,人胚肾上皮细胞系(腺病毒包装级别)HFF-1(人成纤维细胞)
大鼠主动脉内皮细胞完全培养基BSA标准梯度浓度试剂盒(即用型)-BSA
风险提示:丁香通仅作为第三方平台,为商家信息发布提供平台空间。用户咨询产品时请注意保护个人信息及财产安全,合理判断,谨慎选购商品,商家和用户对交易行为负责。对于医疗器械类产品,请先查证核实企业经营资质和医疗器械产品注册证情况。
技术资料暂无技术资料 索取技术资料
紧密连接蛋白抗体
询价









