万千商家帮你免费找货
0 人在求购买到急需产品
- 详细信息
- 技术资料
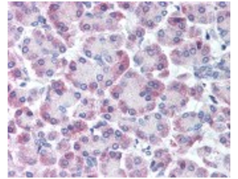
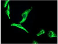
- 靶点:
NUP54
- 克隆性:
多克隆
- 抗体英文名:
Anti-NUP54
- 抗体名:
NUP54抗体
- 免疫原:
KLH conjugated synthetic peptide derived from human NUP54
- 亚型:
IgG
- 形态:
冻干或液体
- 应用范围:
WB,ELISA,IP,ICC等
- 浓度:
1mg/1ml
- 保存条件:
-20 °C
- 规格:
0.2ml/200μg
本品仅供学校实验室使用或者其他科研项目,不做其他用途!
NUP54抗体产品资料:
英文名称 NUP54抗体
中文名称 Anti-NUP54
别 名 54 kDa nucleoporin; MGC13407; Nucleoporin p54; NUP54_HUMAN.
浓 度 1mg/1ml
规 格 0.2ml/200μg
抗体来源 Rabbit
克隆类型 polyclonal
交叉反应 Human, Mouse, Rat, Chicken, Pig, Cow, Horse, Rabbit
产品类型 一抗
研究领域 肿瘤 细胞生物 免疫学 转录调节因子
蛋白分子量 predicted molecular weight:55kDa
性 状 Lyophilized or Liquid
免 疫 原 KLH conjugated synthetic peptide derived from human NUP54
亚 型 IgG
纯化方法 affinity purified by Protein A
储 存 液 0.01M PBS, pH 7.4 with 10 mg/ml BSA and 0.1% Sodium azide
产品应用 WB=1:100-500 ELISA=1:500-1000 IP=1:20-100 IHC-P=1:100-500 IHC-F=1:100-500 IF=1:100-500
公司优势:
我司在生物科技领域已立足多年,虽然一路走来很艰难,但是也抗住了大风大浪,并且越来越壮大。专业实力方面,我们的科技人员是专业的,我们的营销人员是专业的,我们的服务是专业的,在实力方面,我们拥有一批爱好钻研的科技人才,攻坚克难就是我们的态度。
我司已经与多家单位建立了合作,包括高等院校、科研院所、医学院以及相关的企业等,合作伙伴多,客户的针对性强,主要服务于生命科学、医学等方面的科研人员以及研究员、学生等;
我司还与国际接轨,代理着许多知名进口品牌,以填补国内需求的空缺。
如需订购,敬请详询我们!
抗体、抗原之间的关系:
抗原是人体免疫系统中需要被清除的东西,诸如病毒、细菌、寄生虫、过敏原等等,而身体里的免疫细胞会主动产生一种专门与其“对抗”或者“结合”抗原的物质,这就是抗体。这种抗原-抗体反应是人体的一种保护机制,使人从疾病中恢复健康或不得病。
有时,抗原和抗体也会相结合,形成抗原-抗体免疫复合物,反而对人体不利,例如乙型溶血性链球菌感染所致的猩红热,在恢复期,由于链球菌与人的肾小球基底膜具有共同的抗原性,就会导致免疫系统产生抗肾小球基底膜抗体,并与肾细胞上的抗原发生结合,形成抗原-抗体免疫复合物,诱导免疫系统,激活补体,导致链球菌感染后的急性肾炎。
大多数情况下,抗原是外来的,抗体是机体免疫系统自产的。但有时,抗原抗体都是机体自产的。如自身免疫性疾病,免疫系统误把自身的细胞当成抗原产生抗体,用自产的抗体和自身的细胞打仗,导致人体的健康问题。有时,抗原是自产的,抗体却可以外来。例如肿瘤细胞就是自产的抗原,人类可以利用单克隆技术制成抗体用于肿瘤的治疗。
抗体和抗原之间的关系复杂,要探究这期间的奥秘,还有漫长的路要走。
与NUP54抗体相关的更多优势产品:
兔抗MIP多克隆抗体
英文名:Anti-MIPrabbitpolyclonalantiboy
冷冻(-20℃)避光
兔抗LEC1多克隆抗体
英文名:Anti-LEC1rabbitpolyclonalantiboy
冷冻(-20℃)避光
Rabbit Anti-Guinea pig IgG/FITC FITC标记的兔抗豚鼠IgG规格: 0.3ml
polyclonalantiboy
冷冻(-20℃)避光
222224兔抗X53多克隆抗体
兔抗ATPIF1多克隆抗体
英文名:Anti-ATPIF1rabbitpolyclonalantiboy
冷冻(-20℃)避光
兔抗ICER1多克隆抗体
英文名:Anti-ICER1rabbitpolyclonalantiboy
冷冻(-20℃)避光
Rabbit anti-mouse Kappa light chain/Cy3 Cy3标记的兔抗小鼠k链规格: 0.1ml
NUP54抗体小鼠旁血小板溶蛋白(PPL)ELISA试剂盒 英文名: PPL ELISA Kit
小鼠淋巴细胞趋化因子(Lptn)ELISA试剂盒 英文名: Lptn ELISA Kit
小鼠基质细胞衍生因子1(SDF1)ELISA试剂盒 英文名: SDF1 ELISA Kit
小鼠过氧化还原酶4(PRDX4)ELISA试剂盒 英文名: PRDX4 ELISA Kit
小鼠封闭蛋白3(CLDN3)ELISA试剂盒 英文名: CLDN3 ELISA Kit
小鼠蛋白激酶Cα(PKCα)ELISA试剂盒 英文名: PKCα ELISA Kit
小鼠半乳糖苷酶β(GLβ)ELISA试剂盒 英文名: GLβ ELISA Kit
小鼠β-内啡肽(βEP)ELISA试剂盒 英文名: βEP ELISA Kit
NUP54抗体产品资料:
英文名称 NUP54抗体
中文名称 Anti-NUP54
别 名 54 kDa nucleoporin; MGC13407; Nucleoporin p54; NUP54_HUMAN.
浓 度 1mg/1ml
规 格 0.2ml/200μg
抗体来源 Rabbit
克隆类型 polyclonal
交叉反应 Human, Mouse, Rat, Chicken, Pig, Cow, Horse, Rabbit
产品类型 一抗
研究领域 肿瘤 细胞生物 免疫学 转录调节因子
蛋白分子量 predicted molecular weight:55kDa
性 状 Lyophilized or Liquid
免 疫 原 KLH conjugated synthetic peptide derived from human NUP54
亚 型 IgG
纯化方法 affinity purified by Protein A
储 存 液 0.01M PBS, pH 7.4 with 10 mg/ml BSA and 0.1% Sodium azide
产品应用 WB=1:100-500 ELISA=1:500-1000 IP=1:20-100 IHC-P=1:100-500 IHC-F=1:100-500 IF=1:100-500
公司优势:
我司在生物科技领域已立足多年,虽然一路走来很艰难,但是也抗住了大风大浪,并且越来越壮大。专业实力方面,我们的科技人员是专业的,我们的营销人员是专业的,我们的服务是专业的,在实力方面,我们拥有一批爱好钻研的科技人才,攻坚克难就是我们的态度。
我司已经与多家单位建立了合作,包括高等院校、科研院所、医学院以及相关的企业等,合作伙伴多,客户的针对性强,主要服务于生命科学、医学等方面的科研人员以及研究员、学生等;
我司还与国际接轨,代理着许多知名进口品牌,以填补国内需求的空缺。
如需订购,敬请详询我们!
抗体、抗原之间的关系:
抗原是人体免疫系统中需要被清除的东西,诸如病毒、细菌、寄生虫、过敏原等等,而身体里的免疫细胞会主动产生一种专门与其“对抗”或者“结合”抗原的物质,这就是抗体。这种抗原-抗体反应是人体的一种保护机制,使人从疾病中恢复健康或不得病。
有时,抗原和抗体也会相结合,形成抗原-抗体免疫复合物,反而对人体不利,例如乙型溶血性链球菌感染所致的猩红热,在恢复期,由于链球菌与人的肾小球基底膜具有共同的抗原性,就会导致免疫系统产生抗肾小球基底膜抗体,并与肾细胞上的抗原发生结合,形成抗原-抗体免疫复合物,诱导免疫系统,激活补体,导致链球菌感染后的急性肾炎。
大多数情况下,抗原是外来的,抗体是机体免疫系统自产的。但有时,抗原抗体都是机体自产的。如自身免疫性疾病,免疫系统误把自身的细胞当成抗原产生抗体,用自产的抗体和自身的细胞打仗,导致人体的健康问题。有时,抗原是自产的,抗体却可以外来。例如肿瘤细胞就是自产的抗原,人类可以利用单克隆技术制成抗体用于肿瘤的治疗。
抗体和抗原之间的关系复杂,要探究这期间的奥秘,还有漫长的路要走。
与NUP54抗体相关的更多优势产品:
兔抗MIP多克隆抗体
英文名:Anti-MIPrabbitpolyclonalantiboy
冷冻(-20℃)避光
兔抗LEC1多克隆抗体
英文名:Anti-LEC1rabbitpolyclonalantiboy
冷冻(-20℃)避光
Rabbit Anti-Guinea pig IgG/FITC FITC标记的兔抗豚鼠IgG规格: 0.3ml
polyclonalantiboy
冷冻(-20℃)避光
222224兔抗X53多克隆抗体
兔抗ATPIF1多克隆抗体
英文名:Anti-ATPIF1rabbitpolyclonalantiboy
冷冻(-20℃)避光
兔抗ICER1多克隆抗体
英文名:Anti-ICER1rabbitpolyclonalantiboy
冷冻(-20℃)避光
Rabbit anti-mouse Kappa light chain/Cy3 Cy3标记的兔抗小鼠k链规格: 0.1ml
NUP54抗体小鼠旁血小板溶蛋白(PPL)ELISA试剂盒 英文名: PPL ELISA Kit
小鼠淋巴细胞趋化因子(Lptn)ELISA试剂盒 英文名: Lptn ELISA Kit
小鼠基质细胞衍生因子1(SDF1)ELISA试剂盒 英文名: SDF1 ELISA Kit
小鼠过氧化还原酶4(PRDX4)ELISA试剂盒 英文名: PRDX4 ELISA Kit
小鼠封闭蛋白3(CLDN3)ELISA试剂盒 英文名: CLDN3 ELISA Kit
小鼠蛋白激酶Cα(PKCα)ELISA试剂盒 英文名: PKCα ELISA Kit
小鼠半乳糖苷酶β(GLβ)ELISA试剂盒 英文名: GLβ ELISA Kit
小鼠β-内啡肽(βEP)ELISA试剂盒 英文名: βEP ELISA Kit
风险提示:丁香通仅作为第三方平台,为商家信息发布提供平台空间。用户咨询产品时请注意保护个人信息及财产安全,合理判断,谨慎选购商品,商家和用户对交易行为负责。对于医疗器械类产品,请先查证核实企业经营资质和医疗器械产品注册证情况。
技术资料暂无技术资料 索取技术资料
NUP54抗体
询价









