相关产品推荐更多 >
万千商家帮你免费找货
0 人在求购买到急需产品
- 详细信息
- 技术资料
- 靶点:
MEF2A
- 克隆性:
多克隆
- 抗体英文名:
Anti-MEF2A
- 抗体名:
肌细胞增强因子2抗体
- 免疫原:
KLH conjugated synthetic peptide derived from human MEF2 C-terminus
- 亚型:
IgG
- 形态:
冻干或液体
- 应用范围:
WB,ELISA,IP,ICC等
- 浓度:
1mg/1ml
- 保存条件:
-20 °C
- 规格:
0.1ml/100μg 0.2ml/200μg
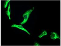
肌细胞增强因子2抗体产品介绍:
英文名称 肌细胞增强因子2抗体
中文名称 Anti-MEF2A
别 名 myocyte enhancer-binding factor 2; ADCAD1; MADS box transcription enhancer factor 2 polypeptide A; MADS box transcription enhancer factor 2, polypeptide A (myocyte enhancer factor 2A); MEF 2A; MEF2; MEF2A; Myocyte enhancer factor 2A; RSRFC4; RSRFC9; Serum response factor like protein 1.
浓 度 1mg/1ml
规 格 0.1ml/100μg 0.2ml/200μg
抗体来源 Rabbit
克隆类型 polyclonal
交叉反应 Human, Mouse, Rat
产品类型 一抗
研究领域 神经生物学 转录调节因子
蛋白分子量 predicted molecular weight:
54kDa
性 状 Lyophilized or Liquid
免 疫 原 KLH conjugated synthetic peptide derived from human MEF2 C-terminus
亚 型 IgG
纯化方法 affinity purified by Protein A
储 存 液 0.01M PBS, pH 7.4 with 10 mg/ml BSA and 0.1% Sodium azide
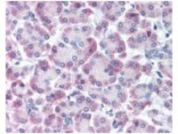
产品应用 WB=1:100-500 ELISA=1:500-1000 IP=1:20-100 IHC-P=1:100-500 IHC-F=1:100-500 IF=1:100-500
肌细胞增强因子2抗体产品优势:
表面抗体阳性的基本概述:
乙肝表面抗体是人体的保护性的抗体,主要是乙肝病毒表面抗原刺激人体免疫系统而产生的抗体。它的出现,能中和掉人体内的乙肝病毒。具体保护人体的作用。其英文简写为HBsAb。
1、单项抗-HBs阳性
(1)接种乙肝疫苗成功的标志。
(2)抗-HBs阳性单价格低,有时为非特异性反应。
2、与抗-HBc、抗-HBe同时阳性
3、与HBsAg同时阳性
(1)感染了不同的乙肝病毒亚型。
(2)感染了S基因变异的乙肝病毒。
(3)免疫功能低下,抗-HBs不能清除HBsAg。
4、正处于抗原-抗体动态平衡阶段
4种IgG抗体亚型的区别:
如需订购肌细胞增强因子2抗体,敬请咨询我们,其他相关产品:
兔抗PGK2多克隆抗体
英文名:Anti-PGK2rabbitpolyclonalantiboy
冷冻(-20℃)避光
phospho-RPS6KB1(Thr 412) 磷酸化核糖体S6蛋白激酶抗体规格: 0.1ml
兔抗CCNY多克隆抗体
英文名:Anti-CCNYrabbitpolyclonalantiboy
冷冻(-20℃)避光
Anti-CEP290rabbitpolyclonalantiboy
英文名:Anti-CEP290rabbitpolyclonalantiboy
冷冻(-20℃)避光
RNF130/ 环指蛋白130抗体规格: 0.2ml
兔抗IUA多克隆抗体
英文名:Anti-IUArabbitpolyclonalantiboy
冷冻(-20℃)避光
兔抗ARF6多克隆抗体
英文名:Anti-ARF6rabbitpolyclonalantiboy
冷冻(-20℃)避光
肌细胞增强因子2抗体冰冻切片组织钙ATP酶PMCA蛋白表达荧光显微镜检测试剂盒进口/国产规格:10/20次
CYP1A2蛋白表达西方杂交分析试剂盒进口/国产规格:5次
乙醇沉淀法DNA萃取试剂盒进口/国产规格:20次
DNA产物磷酸化处理试剂盒进口/国产规格:10次
50倍Dendhart核酸杂交封闭溶液进口/国产规格:100毫升
真菌/酵母细胞β-半乳糖苷酶活性比色法定量检测试剂盒进口/国产规格:20次
植物染色质甲基化酶(chromomethylase)活性酶连续循环比色法定量检测试剂盒进口/国产规格:20次
载玻片细胞组蛋白荧光显微镜检测试剂盒进口/国产规格:10/20次
英文名称 肌细胞增强因子2抗体
中文名称 Anti-MEF2A
别 名 myocyte enhancer-binding factor 2; ADCAD1; MADS box transcription enhancer factor 2 polypeptide A; MADS box transcription enhancer factor 2, polypeptide A (myocyte enhancer factor 2A); MEF 2A; MEF2; MEF2A; Myocyte enhancer factor 2A; RSRFC4; RSRFC9; Serum response factor like protein 1.
浓 度 1mg/1ml
规 格 0.1ml/100μg 0.2ml/200μg
抗体来源 Rabbit
克隆类型 polyclonal
交叉反应 Human, Mouse, Rat
产品类型 一抗
研究领域 神经生物学 转录调节因子
蛋白分子量 predicted molecular weight:
54kDa
性 状 Lyophilized or Liquid
免 疫 原 KLH conjugated synthetic peptide derived from human MEF2 C-terminus
亚 型 IgG
纯化方法 affinity purified by Protein A
储 存 液 0.01M PBS, pH 7.4 with 10 mg/ml BSA and 0.1% Sodium azide
产品应用 WB=1:100-500 ELISA=1:500-1000 IP=1:20-100 IHC-P=1:100-500 IHC-F=1:100-500 IF=1:100-500
肌细胞增强因子2抗体产品优势:
表面抗体阳性的基本概述:
乙肝表面抗体是人体的保护性的抗体,主要是乙肝病毒表面抗原刺激人体免疫系统而产生的抗体。它的出现,能中和掉人体内的乙肝病毒。具体保护人体的作用。其英文简写为HBsAb。
1、单项抗-HBs阳性
(1)接种乙肝疫苗成功的标志。
(2)抗-HBs阳性单价格低,有时为非特异性反应。
2、与抗-HBc、抗-HBe同时阳性
3、与HBsAg同时阳性
(1)感染了不同的乙肝病毒亚型。
(2)感染了S基因变异的乙肝病毒。
(3)免疫功能低下,抗-HBs不能清除HBsAg。
4、正处于抗原-抗体动态平衡阶段
4种IgG抗体亚型的区别:
如需订购肌细胞增强因子2抗体,敬请咨询我们,其他相关产品:
兔抗PGK2多克隆抗体
英文名:Anti-PGK2rabbitpolyclonalantiboy
冷冻(-20℃)避光
phospho-RPS6KB1(Thr 412) 磷酸化核糖体S6蛋白激酶抗体规格: 0.1ml
兔抗CCNY多克隆抗体
英文名:Anti-CCNYrabbitpolyclonalantiboy
冷冻(-20℃)避光
Anti-CEP290rabbitpolyclonalantiboy
英文名:Anti-CEP290rabbitpolyclonalantiboy
冷冻(-20℃)避光
RNF130/ 环指蛋白130抗体规格: 0.2ml
兔抗IUA多克隆抗体
英文名:Anti-IUArabbitpolyclonalantiboy
冷冻(-20℃)避光
兔抗ARF6多克隆抗体
英文名:Anti-ARF6rabbitpolyclonalantiboy
冷冻(-20℃)避光
肌细胞增强因子2抗体冰冻切片组织钙ATP酶PMCA蛋白表达荧光显微镜检测试剂盒进口/国产规格:10/20次
CYP1A2蛋白表达西方杂交分析试剂盒进口/国产规格:5次
乙醇沉淀法DNA萃取试剂盒进口/国产规格:20次
DNA产物磷酸化处理试剂盒进口/国产规格:10次
50倍Dendhart核酸杂交封闭溶液进口/国产规格:100毫升
真菌/酵母细胞β-半乳糖苷酶活性比色法定量检测试剂盒进口/国产规格:20次
植物染色质甲基化酶(chromomethylase)活性酶连续循环比色法定量检测试剂盒进口/国产规格:20次
载玻片细胞组蛋白荧光显微镜检测试剂盒进口/国产规格:10/20次
风险提示:丁香通仅作为第三方平台,为商家信息发布提供平台空间。用户咨询产品时请注意保护个人信息及财产安全,合理判断,谨慎选购商品,商家和用户对交易行为负责。对于医疗器械类产品,请先查证核实企业经营资质和医疗器械产品注册证情况。
技术资料暂无技术资料 索取技术资料
肌细胞增强因子2抗体
询价









