相关产品推荐更多 >

Neuronal thread protein AD7c-NTP Rabbit pAb, Biotin conjugated(bs-0046R-Bio)-100ul
¥2980
NFAT1 Rabbit pAb, FITC conjugated(bs-4246R-FITC)-100ul
¥2980
PP11 Rabbit pAb(bs-21050R)-50ul/100ul/200ul
¥1180
OPA1 Recombinant Rabbit mAb(bsm-54144R)-50ul/100ul
¥1400
Cdc25A Rabbit pAb(bs-2758R)-50ul/100ul/200ul
¥1180
万千商家帮你免费找货
0 人在求购买到急需产品
- 详细信息
- 文献和实验
- 技术资料
- 应用范围:
产品信息以Bioss网站为准
- 规格:
50ul/100ul/200ul
| 规格: | 50ul | 产品价格: | ¥1180.0 |
|---|---|---|---|
| 规格: | 100ul | 产品价格: | ¥1980.0 |
| 规格: | 200ul | 产品价格: | ¥2800.0 |
| 产品编号 | bs-24080R |
| 英文名称 | MCFD2 Rabbit pAb |
| 中文名称 | 多种凝血因子缺乏蛋白2抗体 |
| 英文别名 | 1810021C21Rik; DKFZp686G21263; F5F8D; LMAN1IP; MCFD 2; Mcfd2; MCFD2_MOUSE; Multiple coagulation factor deficiency protein 2; Neural stem cell derived neuronal survival protein; Neural stem cell-derived neuronal survival protein; SDNSF. |
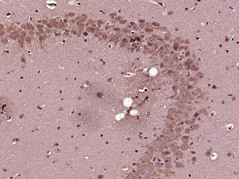
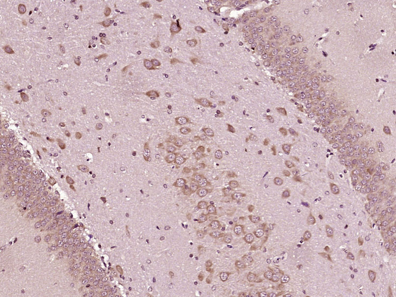
| 产品应用 | WB=1:500-2000, IHC-P=1:100-500, IHC-F=1:100-500, IF=1:100-500 Not yet tested in other applications. |
| 交叉反应 | Mouse, Rat |
| 抗体来源 | Rabbit |
| 免疫原 | KLH conjugated synthetic peptide derived from mouse MCFD2 |
| 亚型 | IgG |
| 性状 | Liquid |
| 纯化方法 | affinity purified by Protein A |
| 克隆类型 | Polyclonal |
| 理论分子量 | 16 kDa |
| 浓度 | 1mg/ml |
| 储存液 | 0.01M TBS (pH7.4) with 1% BSA, 0.02% Proclin300 and 50% Glycerol. |
| 研究领域 | Signal Transduction > Protein Trafficking > ER Proteins |
| 亚细胞定位 | Endoplasmic reticulum-Golgi intermediate compartment. Endoplasmic reticulum. Golgi apparatus. |
| 相似性 | Contains 2 EF-hand domains. |
| 功能 | The MCFD2-LMAN1 complex forms a specific cargo receptor for the ER-to-Golgi transport of selected proteins. Plays a role in the secretion of coagulation factors. |
| 保存条件 | Shipped at 4℃. Store at -20℃ for one year. Avoid repeated freeze/thaw cycles. |
| 注意事项 | This product as supplied is intended for research use only, not for use in human, therapeutic or diagnostic applications. |
| 背景资料 | This gene encodes a soluble luminal protein with two calmodulin-like EF-hand motifs at its C-terminus. This protein forms a complex with LAMN1 (lectin mannose binding protein 1; also known as ERGIC-53) that facilitates the transport of coagulation factors V (FV) and VIII (FVIII) from the endoplasmic reticulum to the Golgi apparatus via an endoplasmic reticulum Golgi intermediate compartment (ERGIC). Mutations in this gene cause combined deficiency of FV and FVIII (F5F8D); a rare autosomal recessive bleeding disorder characterized by mild to moderate bleeding and coordinate reduction in plasma FV and FVIII levels. This protein has also been shown to maintain stem cell potential in adult central nervous system and is a marker for testicular germ cell tumors. The 3' UTR of this gene contains a transposon-like human repeat element named 'THE 1'. A processed RNA pseudogene of this gene is on chromosome 6p22.1. Alternative splicing results in multiple transcript variants encoding distinct isoforms. [provided by RefSeq, Jun 2010] |
| 应用 | 推荐稀释比例 |
| {WB} | {1:500-2000} |
| {IHC-P} | {1:100-500} |
| {IHC-F} | {1:100-500} |
| {IF} | {1:100-500} |



Lane 1: Heart (Mouse) Lysate at 40 ug
Lane 2: Heart (Rat) Lysate at 40 ug
Primary: Anti-MCFD2 (bs-24080R) at 1/1000 dilution
Secondary: IRDye800CW Goat Anti-Rabbit IgG at 1/20000 dilution
Predicted band size: 16 kD
Observed band size: 14 kD
风险提示:丁香通仅作为第三方平台,为商家信息发布提供平台空间。用户咨询产品时请注意保护个人信息及财产安全,合理判断,谨慎选购商品,商家和用户对交易行为负责。对于医疗器械类产品,请先查证核实企业经营资质和医疗器械产品注册证情况。
文献和实验= NAL), appears to form upon oxidative cyclization of the nonfluorescent 2:1 lysine-HNE Michael adduct-Schiff base cross-link (Scheme 1). Polyclonal antibody (PAb) to the NAL-HNE fluorophore was raised in rabbit and found to be highly specific
GE Healthcare Benzamidine Sepharose™ 6B is p-aminobenzamidine covalently attached to Sepharose 6B by the epoxy coupling method. p-Aminobenzamidine (PAB), is a synthetic inhibitor of trypsin-like serine protease. Trypsin and trypsin
Nucleic Acid Programmable Protein Arrays: Versatile Tools for Array‐Based Functional Protein Studies
.g., Sigma) 50 mg/ml bis‐sulfosuccinimdylsuberate (BS3 ;Pierce, cat. no. PI 21580) in dimethylsulfoxide (DMSO) 5 mg/ml
技术资料暂无技术资料 索取技术资料






