万千商家帮你免费找货
0 人在求购买到急需产品
- 详细信息
- 文献和实验
- 技术资料
- 供应商:
上海莼试
- 库存:
15
- 靶点:
Phospho-BTK
- 克隆性:
多克隆
- 保质期:
详见说明书
- 抗体英文名:
Anti-Phospho-BTK
- 抗体名:
磷酸化蛋白酪氨酸激酶ATK抗体
- 标记物:
HRP等
- 宿主:
鼠,牛,马,兔,羊等
- 适应物种:
Human, Mouse, Rat等
- 亚型:
IgG
- 形态:
液体或固体
- 应用范围:
WB IHC-P IHC-F IF
- 浓度:
10mg/ml
- 保存条件:
密封保存
- 规格:
100ul
英文名称:Anti-Phospho-BTK
库存地:上海库
货期:现货
价格:以咨询为准!
用途:仅供高校实验室以及科研单位使用
公司优势:
1.拥有一批专业高效的团队,专门解决客户在实验过程中遇到的各种难题;
2.多年的应用经验积累;
3. 磷酸化蛋白酪氨酸激酶ATK抗体规格牌号齐全,满足不同客户的使用需求;
4.库存充足,供货周期短,能解决客户的急需问题;
5.我们秉承诚信至上、务实做事的信条,是客户值得信赖的合作伙伴。
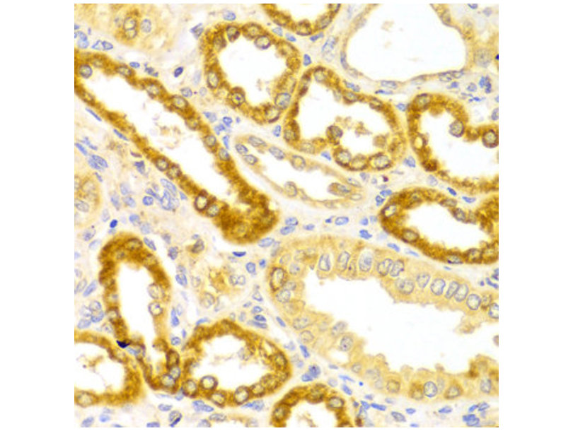
免疫组化结果分析:
1、首先要确定免疫组化技术是否合格,合格的染色结果应该是背景颜色浅淡或无着色,而阳性标志物清晰和定位明确。
切片中的正常组织可以作为最简便的对照来判断染色结果的可靠与否,例如用Vimentin抗体,间质成纤维细胞利血管壁平滑肌细胞胞浆应呈阳性。肯定为阳性的对照组织却呈阴性,待测组织的染色结果也就不可靠;这现象常是由于抗体失效或过度稀释、组织中抗原严重丢失等。
2、不仅要判断所检组织中有或无阳性标记物,还要注意阳性信号的分布部位和形态特征。
一般说来,阳性信号应与被测抗原所在的部位一致,大部分细胞抗原位于胞质内,其中亦有区别,有的阳性颗粒弥散于整个细胞的胞质,有的则呈斑块状局限于胞浆某处。还有些抗原同时分布于胞质和胞膜(如胃肠腺癌细胞的EMA),或核与胞质(如S-100、HMB-45)。同一种抗原在不同类型的细胞可定位不同,因而分布的特点也有一定的鉴别意义。
磷酸化蛋白酪氨酸激酶ATK抗体相关的其他优势产品:
白介素20受体α链抗体
白介素20受体β链抗体
吲哚乙酸抗体/植物生长素抗体
整合素α6抗体
吲哚乙酸/植物生长素单克隆抗体
泛素蛋白连接酶L3抗体
去泛素酶10抗体
泛素结合酶7相互作用蛋白5抗体
G蛋白偶联受体14抗体
尿皮质素抗体
干扰素调节因子3 Anti-IRF3 WB IHC-P IHC-F IF 100ul
磷酸化干扰素调节因子3 Anti-Phospho-IRF3 WB IHC-P IHC-F IF 100ul
干扰素调节因子7抗体 Anti-IRF7 WB IHC-P IHC-F IF 100ul
磷酸化干扰素调节因子7抗体 Anti-Phospho-IRF7 WB IHC-P IHC-F IF 100ul
磷酸化胰岛素受体底物-1抗体 Anti-phospho-IRS1 WB IHC-P IHC-F IF 100ul
SkimMilkSucroseCaseinDigestAgarMedium
50290 干酪素 BR 500g 即酪蛋白,培养基原材料 incubation media 50290 干酪素 BR 500g 即酪蛋白,培养基原材料
海氏肠球菌 L-精氨酸 支/瓶
SB培养基250用于基因工程菌大肠杆菌培养,营养非常丰富
土霉素麦芽提取物琼脂培养基 250g
磷酸化蛋白酪氨酸激酶ATK抗体革兰氏染色液5ml*8用于细菌的革兰氏染色试验
包姜氏琼脂培养基 250g 用于百日咳菌分离培养
TSN 琼脂 TSN Agar 250 用于产气荚膜梭菌的平板计数(Merck方法)
改良亮绿琼脂培养基250g/瓶用于沙门氏菌选择性分离incubationmedia改良亮绿琼脂培养基250g/瓶用于沙门氏菌选择性分离
GentamycinAgar
风险提示:丁香通仅作为第三方平台,为商家信息发布提供平台空间。用户咨询产品时请注意保护个人信息及财产安全,合理判断,谨慎选购商品,商家和用户对交易行为负责。对于医疗器械类产品,请先查证核实企业经营资质和医疗器械产品注册证情况。
文献和实验prince1101 非磷酸化抗体是识别总得蛋白的,比如AKT。 P-AKT和AKT其实只差一些磷酸基,分子量稍大点,以前听别人讲P-AKT和AKT之间有shift,有时候WB是可以做出来的。 用的是梯度胶?分子量在68KD左右。应该怎么样来配胶呢?梯度胶的浓度? 谢谢! prince1101 希望高手能赐教! ourlab 某些 AKT抗体,如cell
网络 第二节 蛋白酪氨酸激酶 蛋白酷氨酸激酶(protein tyrosine kinase,PTK)是一类催化ATP上γ-磷酸转移到蛋白酪氨酸残基上的激酶,能催化多种底物蛋白质酪氨酸残基磷酸化,在细胞生长、增殖、分化中具有重要作用。迄今发现的蛋白酪氨酸激酶中多数是属于致癌RNA病毒的癌基因产物,也可由脊椎动物的原癌基因产。根据PTK是否存在于细胞
激酶是一类磷酸转移酶,作用是把 ATP 的磷酸基转移到它底物的 某个蛋白的特定的氨基酸残基上面去,从而就改变了这个下游蛋白的构象。酪氨酸激酶 (PTK) 和丝氨酸 / 苏氨酸激酶 (STK)3、转录因子(transcription factors)对基因转录有调节作用的蛋白,那么细胞对信号转导有诸多 反应,最终都是涉及到蛋白和 DNA 相互识别和相互作用,引起一些基因表达 的改变,所以也有人把信号通路当中的转录因子统称为第 3 信使:第一信使是配体,与受体结合;第二信使是配体和受体结合之后激活的胞内
技术资料暂无技术资料 索取技术资料










