相关产品推荐更多 >
万千商家帮你免费找货
0 人在求购买到急需产品
- 详细信息
- 询价记录
- 文献和实验
- 技术资料
- 供应商:
上海研卉生物科技有限公司
- 抗体英文名:
Anti-CK16(Cytokeratin 16)
- 是否单克隆:
多克隆
- 适应物种:
人,大鼠,小鼠
- 应用范围:
IHC/WB/ELISA
- 保存条件:
低温
- 库存:
大量
- 抗原来源:
Rabbit
- 保质期:
一年
- 宿主:
Goat,Rabbit,Mouse
- 规格:
50ul
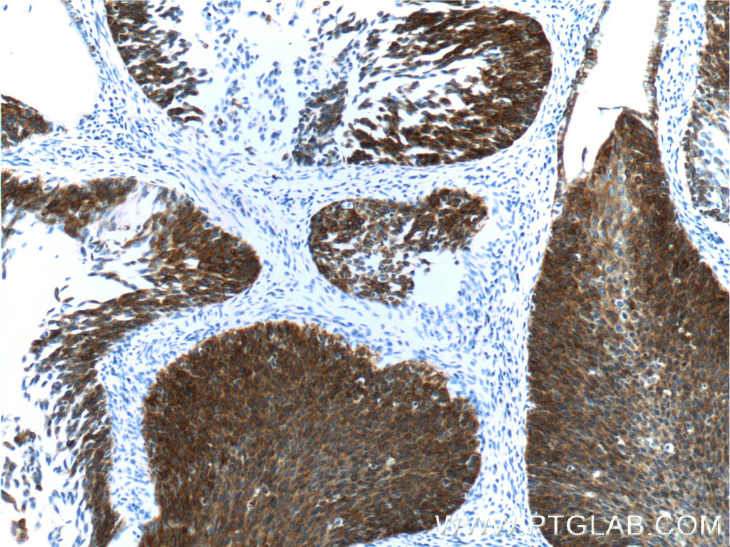
Catalog No.: 17265-1-AP
ested Applications: ELISA, WB, IHC
Specificity Reaction: Human,Mouse,Rat; Other species are not tested.Please decide the specificity by homology
Positive WB detected in HeLa cells, A375 cells, MCF7 cells
Positive IHC detected in human cervical cancer tissue, human cervix tissue, human skin tissue
Recommended dilution WB : 1:500-1:5000
IHC : 1:20-1:200
Synonyms CK 16, CK16, Cytokeratin 16, K16, K1CP, keratin 16, KRT16, KRT16A, NEPPK
风险提示:丁香通仅作为第三方平台,为商家信息发布提供平台空间。用户咨询产品时请注意保护个人信息及财产安全,合理判断,谨慎选购商品,商家和用户对交易行为负责。对于医疗器械类产品,请先查证核实企业经营资质和医疗器械产品注册证情况。
- 作者
- 内容
- 询问日期
文献和实验上海西唐生物科技有限公司 021-55229872, 65333639 www.westang.com 人 ADMA16(ADMA16)ELISA 试剂盒 ( 用于血清、血浆、细胞培养上清液和尿液生物体液内 ) 原理 本实验采用双抗体夹心 ABC-ELISA 法。用抗人 ADMA16 单抗包被于酶标板上,标准品和样品中的 ADMA16 与单抗结合,加入生物素化的抗人 ADMA16 ,形成免疫复合物连接
CD16a/CD16b 分子 CD16a 常用单克隆抗体或代号: HUNK2,Leu11,MEM- 154(Fcn RⅢA/Fcg RⅢB) 主要表达细胞: NK,G,Mo,Mac [NK] 分子质量(kDa)和结构: gp50- 80(穿膜形式)(IgSF) 功 能: 吞噬,ADCC,NK活化,信号转导 CD16b 常用单克隆抗体或代号: ID3(Fcg RⅢB) 主要表达细胞: PMN
人γ干扰素诱导蛋白16/p16(IFI16/p16)酶联免疫分析(ELISA)
人 γ干扰素诱导蛋白16/p16 (IFI16/p16) 酶联免疫分析(ELISA ) 试剂盒使用说明书 本试剂仅供研究使用 目的:本试剂盒用于测定人血清,血浆及相关液体样本中γ干扰素诱导蛋白16/p16 (IFI16/p16) 的 含量。 实验原理: 本试剂盒应用双抗体夹心法测定标本中人γ干扰素诱导蛋白 16/p16 ( IFI16/p16) 水平。用纯化的人γ干扰素诱导蛋白 16/p16 ( IFI16/p16) 抗体包被微孔
技术资料暂无技术资料 索取技术资料










