相关产品推荐更多 >
万千商家帮你免费找货
0 人在求购买到急需产品
- 详细信息
- 文献和实验
- 技术资料
- 供应商:
上海联迈生物工程有限公司
- 库存:
大量
- 目录编号:
LM-9628R
- 克隆性:
多克隆
- 抗原来源:
Rabbit
- 保质期:
1年
- 抗体英文名:
KLHL36
- 抗体名:
Kelch样蛋白36抗体
- 宿主:
Rabbit
- 适应物种:
Human, Mouse, Rat, Dog, Cow, Horse, Sheep,
- 免疫原:
KLH conjugated synthetic peptide derived from human KLHL36/C16orf44:51-150/616
- 亚型:
IgG
- 形态:
Lyophilized or Liquid
- 应用范围:
WB=1:500-2000 ELISA=1:500-1000 IHC-P=1:400-800 IHC-F=1:400-800 ICC=1:100-500 IF=1:100-500 (石蜡切片需做抗原修复)
- 浓度:
1mg/ml
- 保存条件:
Store at -20 °C
- 规格:
100ul 200ul
| 英文名称 | KLHL36 |
| 中文名称 | Kelch样蛋白36抗体 |
| 别 名 | Kelch like 36; Kelch like protein 36; kelch-like 36 (Drosophila); Kelch-like protein 36; KLH36_HUMAN; KLHL 36; KLHL-36. |
| 规格价格 | 100ul/1380元 购买 200ul/2200元 购买 大包装/询价 |
| 说 明 书 | 100ul 200ul |
| 研究领域 | 细胞生物 免疫学 泛素 |
| 抗体来源 | Rabbit |
| 克隆类型 | Polyclonal |
| 交叉反应 | Human, Mouse, Rat, Dog, Cow, Horse, Sheep, |
| 产品应用 | WB=1:500-2000 ELISA=1:500-1000 IHC-P=1:400-800 IHC-F=1:400-800 ICC=1:100-500 IF=1:100-500 (石蜡切片需做抗原修复) not yet tested in other applications. optimal dilutions/concentrations should be determined by the end user. |
| 分 子 量 | 70kDa |
| 细胞定位 | 细胞核 细胞浆 |
| 性 状 | Lyophilized or Liquid |
| 浓 度 | 1mg/ml |
| 免 疫 原 | KLH conjugated synthetic peptide derived from human KLHL36/C16orf44:51-150/616 |
| 亚 型 | IgG |
| 纯化方法 | affinity purified by Protein A |
| 储 存 液 | 0.01M TBS(pH7.4) with 1% BSA, 0.03% Proclin300 and 50% Glycerol. |
| 保存条件 | Store at -20 °C for one year. Avoid repeated freeze/thaw cycles. The lyophilized antibody is stable at room temperature for at least one month and for greater than a year when kept at -20°C. When reconstituted in sterile pH 7.4 0.01M PBS or diluent of antibody the antibody is stable for at least two weeks at 2-4 °C. |
| PubMed | PubMed |
| 产品介绍 | background: C16orf44 is a 616 amino acid protein that contains six Kelch repeats, one BTB/POZ domain and one BTB/Kelch associated (BACK) domain. C16orf44 is believed to play a role in protein ubiquitination and may function as a substrate-specific adapter of an E3 ubiquitin-protein ligase complex. E3 ligases accept a ubiquitin residue from an E2 ubiquitin-conjugating enzyme and immediately transfer that residue to a protein that is targeted for degradation. Specifically, C16orf44 interacts with CUL-3, a member of the cullin family of mediators that participate in the selective targeting of proteins for ubiquitin-mediated proteolysis. Due to alternative splicing events, two isoforms of C16orf44 are expressed. Function: Probable substrate-specific adapter of an E3 ubiquitin-protein ligase complex which mediates the ubiquitination and subsequent proteasomal degradation of target proteins. Subunit: Interacts with CUL3. Similarity: Contains 1 BACK (BTB/Kelch associated) domain. Contains 1 BTB (POZ) domain. Contains 6 Kelch repeats. SWISS: Q8N4N3 Gene ID: 79786 Database links: Entrez Gene: 79786 Human Entrez Gene: 234796 Mouse Entrez Gene: 498957 Rat SwissProt: Q8N4N3 Human SwissProt: Q8R124 Mouse SwissProt: Q66HD2 Rat Unigene: 578546 Human Unigene: 86446 Mouse Unigene: 139361 Rat Important Note: This product as supplied is intended for research use only, not for use in human, therapeutic or diagnostic applications. |
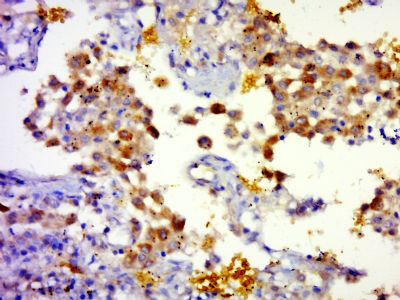
| 产品图片 | ![]() Paraformaldehyde-fixed, paraffin embedded (human lung cancer ); Antigen retrieval by boiling in sodium citrate buffer (pH6.0) for 15min; Block endogenous peroxidase by 3% hydrogen peroxide for 20 minutes; Blocking buffer (normal goat serum) at 37°C for 30min; Antibody incubation with (KLHL) Polyclonal Antibody, Unconjugated (bs-9628R) at 1:400 overnight at 4°C, followed by a conjugated secondary (sp-0023) for 20 minutes and DAB staining. |
风险提示:丁香通仅作为第三方平台,为商家信息发布提供平台空间。用户咨询产品时请注意保护个人信息及财产安全,合理判断,谨慎选购商品,商家和用户对交易行为负责。对于医疗器械类产品,请先查证核实企业经营资质和医疗器械产品注册证情况。
文献和实验「体温低」竟能更长寿!Nature Aging 研究揭示低温延寿的关键机制
线虫(Caenorhabditis elegans)中,低温(15℃)能促进激活因子 PSME-3 介导的蛋白酶活性,而且 PSME-3 的表达能延长寿命。研究还表明,将体外培养的人类细胞暴露在适度偏低的体温(36℃)下,能激活人类版本的 PSME-3,并有望减少疾病相关的蛋白质改变。 图片来源:Nature Aging 主要研究内容 寒冷诱导的 PA28γ/PSME3 触发蛋白酶体活性 蛋白酶体(一类蛋白质复合物)可以通过降解不需要的、损坏的和错误折叠的易于聚集的蛋白质,包括与疾病相关的突变蛋白,来预防衰老和病理
内参就是内部参照,一般是指管家基因编码表达的蛋白,它们在各个组织和细胞中的表达相对恒定,在检测蛋白的表达水平变化时常用它来做参照参。内参则可以校正蛋白质定量、上样过程中存在的误差,保证实验结果的准确性。 此外,内参可以作为空白对照,还可以检测蛋白转膜情况是否完全、整个 WB 显色发光体系是否正常。内参抗体种类很多,比如 β-Actin、β-Tubulin、GAPDH 等,下面简单介绍下如何选择内参。 一、目的蛋白分子量 选择内参抗体时,应该考虑目的蛋白分子量的大小。通常应该保证目的蛋白
Science 背靠背!施一公、黄志伟团队同日揭开 B 细胞受体复合物的神秘面纱
机体的免疫系统可以检测和识别多种不同类型的病原体,例如病毒、细菌和寄生虫。一旦检测到外来细胞或蛋白质,免疫系统就会产生抗体来对抗入侵者。 其中,人类适应性免疫细胞(T 细胞和 B 细胞)在病原感染、癌症发生以及自体免疫疾病中发挥着关键作用。它们分别通过 T 细胞受体(TCR)和 B 细胞受体(BCR)识别抗原信号,把信号跨膜传递至胞内,激活 T、B 细胞的免疫反应。 目前使用的几乎所有疫苗都依赖于通过与识别抗原并刺激抗体产生的 B 细胞受体结合来激活 B 细胞。详细了解 BCRs
技术资料暂无技术资料 索取技术资料











