万千商家帮你免费找货
0 人在求购买到急需产品
- 详细信息
- 技术资料
- 库存:
大量
- 靶点:
Thr202
- 克隆性:
多克隆
- 抗原来源:
Rabbit
- 抗体英文名:
Anti-phospho-SYT1(Thr202)
- 抗体名:
磷酸化突触结合蛋白1抗体
- 标记物:
HRP,AKP
- 宿主:
人,兔,羊,牛,狗等
- 适应物种:
Human, Mouse, Rat, Chicken, Dog, Pig, Cow, Horse, Rabbit
- 免疫原:
KLH conjugated Synthesised phosphopeptide derived from human SYT1 around the phosphorylation site of Thr202
- 亚型:
IgG
- 形态:
冻干或液体
- 应用范围:
WB,ELISA,IP,ICC等
- 浓度:
1mg/1ml
- 保存条件:
-20 °C
- 规格:
0.1ml/100μg
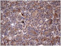
磷酸化突触结合蛋白1抗体产品简介:
英文名称 Anti-phospho-SYT1(Thr202)
中文名称 磷酸化突触结合蛋白1抗体
别 名 Syt1(phospho T202); Synaptotagmin II (Phospho-Thr202); SYT1_HUMAN; DKFZp781D2042; P65; SVP65; Synaptotagmin I; Synaptotagmin II; Synaptotagmin IV; Synaptotagmin V; SYT 1; SYT; SYT1; SYT2; SYT3; SYT4; SYT5; SytI.
浓 度 1mg/1ml
规 格 0.1ml/100μg
抗体来源 Rabbit
克隆类型 polyclonal
交叉反应 Human, Mouse, Rat, Chicken, Dog, Pig, Cow, Horse, Rabbit
产品类型 一抗 磷酸化抗体
研究领域 肿瘤 免疫学 神经生物学 信号转导 细胞粘附分子 细胞类型标志物 新陈代谢
蛋白分子量 predicted molecular weight:48kDa
性 状 Lyophilized or Liquid
免 疫 原 KLH conjugated Synthesised phosphopeptide derived from human SYT1 around the phosphorylation site of Thr202
亚 型 IgG
纯化方法 affinity purified by Protein A
储 存 液 0.01M PBS, pH 7.4 with 10 mg/ml BSA and 0.1% Sodium azide
产品应用 WB=1:100-500 ELISA=1:500-1000 IP=1:20-100 IHC-P=1:100-500 IHC-F=1:100-500 IF=1:100-500
公司优势:
★专业营销进口或国产品牌的抗体试剂,种类齐全,数量繁多,涵盖各种生命科研项目,具体有一抗二抗,单抗多抗,标记抗体以及其他各种类型的抗体;
★服务经验丰富,我们提供标记服务,各种标本、种属、具体指标齐全,资深的专业背景和高素质的技术团队,准能让您感受到我们的专业水准;
★关于磷酸化突触结合蛋白1抗体更多详情,请来电咨询!
磷酸化突触结合蛋白1抗体抗体分子标记技术:
(一)原理
当应用化学氧化法时,碘化钠(NaI)遇强氧化剂,碘离子被氧化为碘分子,所生成的自由碘分子可与某些基团进行卤化反应。蛋白质分子可进行卤化反应的基团主要为酪氨酸残基,某些组氨酸残基也可能进行碘化。在应用氯胺T( Chloramine T)法的实验中,所用的氧化剂(1,3,4,6- tetrachloro-3a,6adipheny l-glucoluril)强挥发性的有机溶剂中。该溶剂加入试管后,先让其挥发(即让氧化剂将试管包被),然后把Na125I和蛋白质液加入包被好的试管中,反应完成即将混合液移入他管终止反应。
(二)准备
1.试剂
经亲和层析纯化的多克隆抗体或单克隆抗体;0.5mol/L磷酸钠缓冲液,pH7.5;无载体的Na125I3.7GBq/ml(100mCi/ml)的NaOH液;100g/L三氯醋酸;70%乙醇;新鲜制备的含2mg/m1氯络胺T的0.5mol/L磷酸钠缓冲液(pH7.5);氯胺T反应终止缓冲液;
2.仪器
凝胶过滤柱;¥-记数器;玻璃纤维滤。
(三)操作要点
1.用氯胺T法进行碘化,也可在大约pH7.0的缓冲液中进行;
2.如果氧化反应损伤蛋白质,可将抗体与异硫氰酸荧光素(FITC)偶联)胺T量减少到0.02mg/m,并将偏重亚硫酸液的浓度降到0.024mg/ml;
3. Iodogen-包被的试管可在干燥器中,于室温下保存多年;
4.1251标记的抗体,在制备后六周内均可使用(1251的半衰期为59.6天);
5.要注意保证所用的Na1251是新鲜的,陈旧制剂的比活性低;
6.酪氨酸的碘化偶尔会对抗原的抗体结合位点有干扰,因此降低其结合能力,但这种情况很少见。
公司提供:
221085 兔抗NAJC3多克隆抗体
英文名:Anti-NAJC3 rabbit polyclonal antiboy
冷冻(-20℃) 避光
24206 兔抗ATF7多克隆抗体
英文名:Anti-ATF7 rabbit polyclonal antiboy
冷冻(-20℃) 避光
262458 兔抗PPARG多克隆抗体
英文名:Anti-PPARG rabbit polyclonal antiboy
冷冻(-20℃) 避光
52839 兔抗CHST13多克隆抗体
英文名:Anti-CHST13 rabbit polyclonal antiboy
冷冻(-20℃) 避光
160245 兔抗LAMP3多克隆抗体
英文名:Anti-LAMP3 rabbit polyclonal antiboy
冷冻(-20℃) 避光
163714 兔抗IS3多克隆抗体
英文名:Anti-IS3 rabbit polyclonal antiboy
冷冻(-20℃) 避光
21458 兔抗ACA0多克隆抗体
英文名:Anti-ACA0 rabbit polyclonal antiboy
冷冻(-20℃) 避光
225710 兔抗GLYATL2多克隆抗体
英文名:Anti-GLYATL2 rabbit polyclonal antiboy
冷冻(-20℃) 避光
磷酸化突触结合蛋白1抗体人淋巴内皮细胞完全培养基RKO(人结肠腺细胞)
施氏汉逊酵母 Hansenula schnegg杆菌属 Lactobacillus sp.
球孢白僵菌 Beauveria bassiana根瘤菌
Flag标签蛋白裂解液TSCCa(人舌鳞细胞)
酿酒酵母 Saccharomyces cerevisiae溶藻弧菌 Vibrio alginolyticus
大豆慢生根瘤菌裂褶菌
人腺导管细胞枯草芽胞杆菌 Bacillus subtilis
U251人胶质瘤细胞HCCC-9810(人肝内胆管细胞)
球拟圆酵母 Torulopsis globosa酸球菌 Lactococcus lactis
英文名称 Anti-phospho-SYT1(Thr202)
中文名称 磷酸化突触结合蛋白1抗体
别 名 Syt1(phospho T202); Synaptotagmin II (Phospho-Thr202); SYT1_HUMAN; DKFZp781D2042; P65; SVP65; Synaptotagmin I; Synaptotagmin II; Synaptotagmin IV; Synaptotagmin V; SYT 1; SYT; SYT1; SYT2; SYT3; SYT4; SYT5; SytI.
浓 度 1mg/1ml
规 格 0.1ml/100μg
抗体来源 Rabbit
克隆类型 polyclonal
交叉反应 Human, Mouse, Rat, Chicken, Dog, Pig, Cow, Horse, Rabbit
产品类型 一抗 磷酸化抗体
研究领域 肿瘤 免疫学 神经生物学 信号转导 细胞粘附分子 细胞类型标志物 新陈代谢
蛋白分子量 predicted molecular weight:48kDa
性 状 Lyophilized or Liquid
免 疫 原 KLH conjugated Synthesised phosphopeptide derived from human SYT1 around the phosphorylation site of Thr202
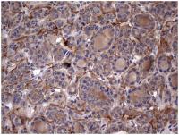
亚 型 IgG
纯化方法 affinity purified by Protein A
储 存 液 0.01M PBS, pH 7.4 with 10 mg/ml BSA and 0.1% Sodium azide
产品应用 WB=1:100-500 ELISA=1:500-1000 IP=1:20-100 IHC-P=1:100-500 IHC-F=1:100-500 IF=1:100-500
公司优势:
★专业营销进口或国产品牌的抗体试剂,种类齐全,数量繁多,涵盖各种生命科研项目,具体有一抗二抗,单抗多抗,标记抗体以及其他各种类型的抗体;
★服务经验丰富,我们提供标记服务,各种标本、种属、具体指标齐全,资深的专业背景和高素质的技术团队,准能让您感受到我们的专业水准;
★关于磷酸化突触结合蛋白1抗体更多详情,请来电咨询!
磷酸化突触结合蛋白1抗体抗体分子标记技术:
(一)原理
当应用化学氧化法时,碘化钠(NaI)遇强氧化剂,碘离子被氧化为碘分子,所生成的自由碘分子可与某些基团进行卤化反应。蛋白质分子可进行卤化反应的基团主要为酪氨酸残基,某些组氨酸残基也可能进行碘化。在应用氯胺T( Chloramine T)法的实验中,所用的氧化剂(1,3,4,6- tetrachloro-3a,6adipheny l-glucoluril)强挥发性的有机溶剂中。该溶剂加入试管后,先让其挥发(即让氧化剂将试管包被),然后把Na125I和蛋白质液加入包被好的试管中,反应完成即将混合液移入他管终止反应。
(二)准备
1.试剂
经亲和层析纯化的多克隆抗体或单克隆抗体;0.5mol/L磷酸钠缓冲液,pH7.5;无载体的Na125I3.7GBq/ml(100mCi/ml)的NaOH液;100g/L三氯醋酸;70%乙醇;新鲜制备的含2mg/m1氯络胺T的0.5mol/L磷酸钠缓冲液(pH7.5);氯胺T反应终止缓冲液;
2.仪器
凝胶过滤柱;¥-记数器;玻璃纤维滤。
(三)操作要点
1.用氯胺T法进行碘化,也可在大约pH7.0的缓冲液中进行;
2.如果氧化反应损伤蛋白质,可将抗体与异硫氰酸荧光素(FITC)偶联)胺T量减少到0.02mg/m,并将偏重亚硫酸液的浓度降到0.024mg/ml;
3. Iodogen-包被的试管可在干燥器中,于室温下保存多年;
4.1251标记的抗体,在制备后六周内均可使用(1251的半衰期为59.6天);
5.要注意保证所用的Na1251是新鲜的,陈旧制剂的比活性低;
6.酪氨酸的碘化偶尔会对抗原的抗体结合位点有干扰,因此降低其结合能力,但这种情况很少见。
公司提供:
221085 兔抗NAJC3多克隆抗体
英文名:Anti-NAJC3 rabbit polyclonal antiboy
冷冻(-20℃) 避光
24206 兔抗ATF7多克隆抗体
英文名:Anti-ATF7 rabbit polyclonal antiboy
冷冻(-20℃) 避光
262458 兔抗PPARG多克隆抗体
英文名:Anti-PPARG rabbit polyclonal antiboy
冷冻(-20℃) 避光
52839 兔抗CHST13多克隆抗体
英文名:Anti-CHST13 rabbit polyclonal antiboy
冷冻(-20℃) 避光
160245 兔抗LAMP3多克隆抗体
英文名:Anti-LAMP3 rabbit polyclonal antiboy
冷冻(-20℃) 避光
163714 兔抗IS3多克隆抗体
英文名:Anti-IS3 rabbit polyclonal antiboy
冷冻(-20℃) 避光
21458 兔抗ACA0多克隆抗体
英文名:Anti-ACA0 rabbit polyclonal antiboy
冷冻(-20℃) 避光
225710 兔抗GLYATL2多克隆抗体
英文名:Anti-GLYATL2 rabbit polyclonal antiboy
冷冻(-20℃) 避光
磷酸化突触结合蛋白1抗体人淋巴内皮细胞完全培养基RKO(人结肠腺细胞)
施氏汉逊酵母 Hansenula schnegg杆菌属 Lactobacillus sp.
球孢白僵菌 Beauveria bassiana根瘤菌
Flag标签蛋白裂解液TSCCa(人舌鳞细胞)
酿酒酵母 Saccharomyces cerevisiae溶藻弧菌 Vibrio alginolyticus
大豆慢生根瘤菌裂褶菌
人腺导管细胞枯草芽胞杆菌 Bacillus subtilis
U251人胶质瘤细胞HCCC-9810(人肝内胆管细胞)
球拟圆酵母 Torulopsis globosa酸球菌 Lactococcus lactis
风险提示:丁香通仅作为第三方平台,为商家信息发布提供平台空间。用户咨询产品时请注意保护个人信息及财产安全,合理判断,谨慎选购商品,商家和用户对交易行为负责。对于医疗器械类产品,请先查证核实企业经营资质和医疗器械产品注册证情况。
技术资料暂无技术资料 索取技术资料
磷酸化突触结合蛋白1抗体
询价









